Nodular regenerative hyperplasia

Nodular regenerative hyperplasia
Other names: Nodular regenerative hyperplasia of the liver
Human liver(normal)
ComplicationsPortal hypertension

Nodular regenerative hyperplasia is a form of liver hyperplasia associated with portal hypertension.

Nodular regenerative hyperplasia (NRH) is a rare liver condition characterized by a widespread benign transformation of the hepatic parenchyma into small regenerative nodules. NRH may lead to the development of non-cirrhotic portal hypertension. There are no published systematic population studies on NRH and our current knowledge is limited to case reports and case series. NRH may develop via autoimmune, hematological, infectious, neoplastic, vascular, or drug-related causes. It is associated with rheumatoid arthritis, Felty syndrome, myeloproliferative disorders, hereditary hemorrhagic telangiectasia (HHT, Osler–Weber–Rendu syndrome), liver, kidney and bone marrow transplantation, cytotoxic drugs like azathioprine, mercaptopurine, thioguanine, antiretroviral drugs for HIV like didanosine and vitamin A. There is also association between NRH and platinum-based drugs, such as chemotherapy with oxaliplatin.[1] The disease is usually asymptomatic, slowly or non-progressive unless complications of portal hypertension develop. Accurate diagnosis is made by histopathology, which demonstrates diffuse micronodular transformation without fibrous septa. Lack of perinuclear collagen tissue distinguishes NRH from typical regenerative nodules in the cirrhotic liver. While the initial treatment is to address the underlying disease, ultimately the therapy is directed to the management of portal hypertension. The prognosis of NRH depends on both the severity of the underlying illness and the prevention of secondary complications of portal hypertension. In this review we detail the epidemiology, pathogenesis, diagnosis, management, and prognosis of NRH.[2] Feathery degeneration is seen in PBC It can be a complication of azathioprine therapy.[3][4]

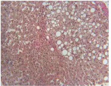
Nodular regenerative hyperplasia the liver (with localised fatty degeneration)

References

  1. Vilgrain, V; Paradis, V; Van Wettere, M; Valla, D; Ronot, M; Rautou, PE (August 2018). "Benign and malignant hepatocellular lesions in patients with vascular liver diseases". Abdominal Radiology (New York). 43 (8): 1968–1977. doi:10.1007/s00261-018-1502-7. PMID 29460040. S2CID 3431817.
  2. Hartleb, Marek; Gutkowski, Krzysztof; Milkiewicz, Piotr (2011-03-21). "Nodular regenerative hyperplasia: Evolving concepts on underdiagnosed cause of portal hypertension". World Journal of Gastroenterology. 17 (11): 1400–1409. doi:10.3748/wjg.v17.i11.1400. ISSN 1007-9327. PMC 3070012. PMID 21472097.
  3. Daniel F, Cadranel JF, Seksik P, et al. (May 2005). "Azathioprine induced nodular regenerative hyperplasia in IBD patients". Gastroenterol. Clin. Biol. 29 (5): 600–3. doi:10.1016/S0399-8320(05)82136-0. PMID 15980758.
  4. Vernier-Massouille G, Cosnes J, Lemann M, et al. (October 2007). "Nodular regenerative hyperplasia in patients with inflammatory bowel disease treated with azathioprine". Gut. 56 (10): 1404–9. doi:10.1136/gut.2006.114363. PMC 2000290. PMID 17504943.
Classification
External resources


This article is issued from Wmcloud. The text is licensed under Creative Commons - Attribution - Sharealike. Additional terms may apply for the media files.