Neonatal adrenoleukodystrophy
| Neonatal adrenoleukodystrophy | |
|---|---|
| Other names: NALD[1] | |
![]() | |
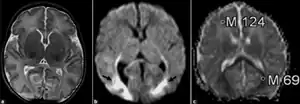
| Neonatal adrenoleukodystrophy a) The axial T2-weighted MR image is normal (b) the diffusion-weighted image (b = 1000 sec/mm2) reveals high-signal changes in the splenium of the corpus callosum, and occipital lobes (black arrows) c) the ADC map reveals that the ADC values of the involved regions is low (0.69 × 10–3 mm2/sec), compared to the frontal regions (1.24 × 10–3 mm2/s). | |
Neonatal adrenoleukodystrophy is an inborn error of peroxisome biogenesis. It is part of the Zellweger spectrum. It has been linked with multiple genes (at least five) associated with peroxisome biogenesis, and has an autosomal recessive pattern of inheritance.[2]
References
- ↑ RESERVED, INSERM US14-- ALL RIGHTS. "Orphanet: Neonatal adrenoleukodystrophy". www.orpha.net. Archived from the original on 27 October 2020. Retrieved 17 March 2019.
- ↑ "#202370 Adrenoleukodystrophy, Autosomal Neonatal Form". Johns Hopkins University. Archived from the original on 2013-04-15. Retrieved 2012-06-24.
External links
| Classification | |
|---|---|
| External resources |
|
This article is issued from Wmcloud. The text is licensed under Creative Commons - Attribution - Sharealike. Additional terms may apply for the media files.
