Myxosarcoma
| Myxosarcoma | |
|---|---|
![]() | |
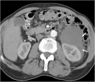
| A homogenous low-density myxosarcoma arrows in the left perirenal space | |
Myxosarcoma is a malignant soft tissue neoplasm that has immature undifferentiated cells[1]
References
- ↑ "Myxosarcoma (Concept Id: C0027155) - MedGen - NCBI". www.ncbi.nlm.nih.gov. Archived from the original on 17 October 2022. Retrieved 16 October 2022.
External links
| Classification |
|
|---|
This article is issued from Wmcloud. The text is licensed under Creative Commons - Attribution - Sharealike. Additional terms may apply for the media files.
