Mycobacterium nebraskense
| Mycobacterium nebraskense | |
|---|---|
| Scientific classification | |
| Domain: | Bacteria |
| Phylum: | Actinomycetota |
| Class: | Actinomycetia |
| Order: | Mycobacteriales |
| Family: | Mycobacteriaceae |
| Genus: | Mycobacterium |
| Species: | M. nebraskense |
| Binomial name | |
| Mycobacterium nebraskense Mohamed et al. 2004, ATCC BAA-837 | |
Mycobacterium nebraskense is a slow growing, yellow, pigmented mycobacterium[1] that was first isolated from human sputum at the University of Nebraska Medical Center, in Omaha, Nebraska, USA. Mycobacterium species are common causes of pulmonary infections in both humans and animals.

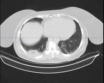
Mycobacterium nebraskense presenting as cavitary lung lesion
References
- ↑ Mohamed AM, Iwen PC, Tarantolo S, Hinrichs SH (November 2004). "Mycobacterium nebraskense sp. nov., a novel slowly growing scotochromogenic species". Int. J. Syst. Evol. Microbiol. 54 (Pt 6): 2057–60. doi:10.1099/ijs.0.63126-0. PMID 15545434.
{{cite journal}}: CS1 maint: url-status (link)
External links
- Type strain of Mycobacterium nebraskense at BacDive - the Bacterial Diversity Metadatabase Archived 2023-08-20 at the Wayback Machine
This article is issued from Wmcloud. The text is licensed under Creative Commons - Attribution - Sharealike. Additional terms may apply for the media files.