Mycobacterium lentiflavum
| Mycobacterium lentiflavum | |
|---|---|
![]() | |
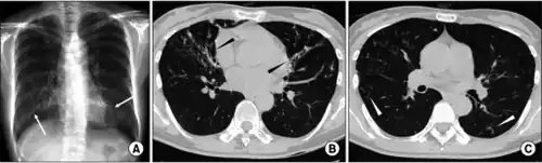
| Fibrothorax caused by infection with M lentiflavum. | |
| Scientific classification | |
| Domain: | Bacteria |
| Phylum: | Actinomycetota |
| Class: | Actinomycetia |
| Order: | Mycobacteriales |
| Family: | Mycobacteriaceae |
| Genus: | Mycobacterium |
| Species: | M. lentiflavum |
| Binomial name | |
| Mycobacterium lentiflavum Springer et al. 1996, ATCC 51985 | |
Mycobacterium lentiflavum
Etymology: Lentus from Latin for slow, flavus, Latin for yellow.
Description
Gram-positive, nonmotile and acid-fast coccobacilli.
Colony characteristics
- Smooth colonies, with bright yellow pigmentation 1-2mm in diameter.
Physiology
- Slow growth on Löwenstein-Jensen medium at temperatures between 22 °C and 37 °C within 3–4 weeks.
- Generally resistant to isoniazid, rifampin, ethambutol and streptomycin.
Differential characteristics
- Phylogenetic analysis, based on an evaluation of 16S rDNA sequences, places M. lentiflavum in an intermediate position between rapidly and slowly growing mycobacteria, closely related to Mycobacterium simiae and Mycobacterium genavense.
Type strain
- First isolated from a patient with spondylodiscitis (vertebral osteomyelitis). Further isolates from clinical specimens were obtained due to the use of contaminated bronchoscopes. Also recovered from gastric juice, sputum and urine samples.
Strain 2186/92 = ATCC 51985 = CCUG 42422 = CCUG 42559 = CIP 105465 = DSM 44418 = JCM 13390.
Infection

Bronchiectasis and nontuberculous mycobacterial lung disease caused by Mycobacterium lentiflavum
Seen in young children with cervical lymphadenitis and in immunocompromised patients[1]One case of vertebral osteomyelitis reported
References
- ↑ Molteni C, Gazzola L, Cesari M, Lombardi A, Salerno F, Tortoli E, et al. Mycobacterium lentiflavum infection in immunocompetent patient. Archived 2010-02-04 at the Wayback Machine Emerg Infect Dis. 2005 Jan.
- Springer et al. 1996. Isolation and characterization of a unique group of slowly growing mycobacteria: description of Mycobacterium lentiflavum sp. nov. J. Clin. Microbiol. 34, 1100–1107.
External links
- Type strain of Mycobacterium lentiflavum at BacDive - the Bacterial Diversity Metadatabase Archived 2016-10-12 at the Wayback Machine
This article is issued from Wmcloud. The text is licensed under Creative Commons - Attribution - Sharealike. Additional terms may apply for the media files.
.png.webp)