Cystic nephroma

Cystic nephroma
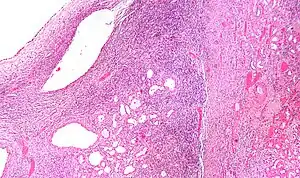
Micrograph of a cystic nephroma (left of image). Normal kidney is seen on the right. H&E stain.

A cystic nephroma, also known as multilocular cystic nephroma, mixed epithelial stromal tumour (MEST) and renal epithelial stromal tumour (REST),[1] is a type of rare benign kidney tumour.

Symptoms and signs

Cystic nephromas are often asymptomatic. They are typically discovered on medical imaging incidentally (i.e. an incidentaloma).

Cause

In terms of the etiology of Cystic nephromas we find that it is congenital predominantly in males, and acquired predominantly in females[2]

Diagnosis

Cystic nephromas are diagnosed by biopsy or excision. It is important to correctly diagnose them as, radiologically, they may mimic the appearance of a renal cell carcinoma that is cystic.[3]

Pathologic diagnosis

The characteristics of cystic nephromas are:

  • Cysts lined by a simple epithelium with a hobnail morphology, i.e. the nuclei of the cyst lining epithelium bulges into the lumen of the cysts,
  • Ovarian-like stroma that has a:

Cystic nephromas have an immunostaining pattern like ovarian stroma; they are positive for:

Differential diagnosis

Histopathologic types of kidney tumor, with relative incidences. Cystic nephroma is seen at bottom right in pie chart.

References

  1. Turbiner J, Amin MB, Humphrey PA, Srigley JR, De Leval L, Radhakrishnan A, Oliva E (April 2007). "Cystic nephroma and mixed epithelial and stromal tumor of kidney: a detailed clinicopathologic analysis of 34 cases and proposal for renal epithelial and stromal tumor (REST) as a unifying term". The American Journal of Surgical Pathology. 31 (4): 489–500. doi:10.1097/PAS.0b013e31802bdd56. PMID 17414095.
  2. Stamatiou, Konstantinos; Polizois, Konstantinos; Kollaitis, Gerasimos; Dahanis, Stefanos; Zafeiropoulos, Grigoris; Leventis, Christos; Lambou, Theocharis (23 October 2008). "Cystic nephroma: a case report and review of the literature". Cases Journal. 1 (1): 267. doi:10.1186/1757-1626-1-267. ISSN 1757-1626. Archived from the original on 2021-05-06. Retrieved 2022-10-17.
  3. Small JE, Jinnteh T, Hong X, Tuncali K, Seltzer SE, Ros PR (11 August 2003). "Cystic Nephroma". BrighamRAD Teaching Case Database. Archived from the original on 2004-10-24.
Classification
This article is issued from Wmcloud. The text is licensed under Creative Commons - Attribution - Sharealike. Additional terms may apply for the media files.