Mucinous cystadenocarcinoma of the lung
| Mucinous cystadenocarcinoma of the lung | |
|---|---|
| Other names: Mucinous multilocular cyst carcinoma, Pseudomyxomatous pulmonary adenocarcinoma, Mucinous cystic tumor of low malignant potential[1] | |
![]() | |
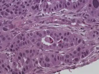
| The anatomopathologic results. Pulmonary Mucinous Cystadenocarcinoma. | |
| Specialty | Oncology |
Mucinous cystadenocarcinoma of the lung (MCACL) is a very rare malignant mucus-producing neoplasm arising from the uncontrolled growth of transformed epithelial cells originating in lung tissue.
Classification
According to the most recent revision (2004) of the World Health Organization (WHO) histological classification system for lung tumors ("WHO2004"), currently the most widely recognized typing scheme for pulmonary neoplasia, MCACL is considered a distinctive variant of adenocarcinoma.[2]
Informally, some experts have included these tumors as a distinct variant among a spectrum of mucus-producing adenocarcinomas, including — in order of increasing relative extent of cellular mucus production and extracellular mucus accumulation — solid adenocarcinoma, mucoepidermoid carcinoma, mucinous bronchioloalveolar carcinoma, signet ring cell adenocarcinoma, mucinous cystadenocarcinoma, and mucinous "colloid" adenocarcinoma.[3]
Histogenesis
MCACL has been noted in most cases to show areas of gradual transition wherein cells become more atypical and feature more pronounced characteristics of malignancy as one proceeds from the capsule, or outermost layers of the tumor, toward the center of the mass.[4] Some experts suggest that this tumor often develops after a slow progression from a relatively benign to a frankly malignant phenotype over a period of years to decades.[1]
The putative cell of origin of this tumor is unknown. Electron microscopic studies in 3 cases[5][6] described intracytoplasmic mucin, convoluted oval nuclei, prominent nucleoli, homogeneous euchromatin with peripheral chromatin condensation, microvilli, junctional complexes, and primitive lumen formation. Their failure to identify lamellar bodies and large dense granules seemed to rule out origination from either Club cells or Type II pneumocytes.[1]
In a review of 66 cystic pulmonary mucinous lesions, Gao and colleagues reported that p53 expression and a Ki-67 index exceeding 20% is characteristic of MCACL.[1]
Diagnosis
This particular variant of lung cancer is usually asymptomatic and is found after chest x-rays are taken for other reasons.[7] Hemoptysis is seen occasionally[7] and, in some cases, distal obstruction of bronchi by blood clots or mucus plugs produces cough and/or infection.[1] Lesions often enlarge and progress slowly, over many years.[8]
The 1999 World Health Organization classification system defined MCACL as a cystic adenocarcinoma with copious mucin production that, histologically, resembles (the more common) mucus-producing cystadenocarcinomas originating in the ovary, breast and pancreas.[9] The 2004 revision of the WHO classification noted that the tumors tend to be well circumscribed by a partial fibrous tissue capsule with central cystic change and copious mucin pooling.[2] The thin, fibrous wall circumscribing the tumor is highly characteristic of this lesion.[4] It can sometimes occur within a pulmonary bronchocele, and this tumor entity should be kept in mind after identification of a bronchocele with suspicious or non-prototypical imaging characteristics.[10][11]
Microscopically, the neoplastic epithelial cells tend to grow along the alveolar walls, in a fashion similar to the mucinous variant of bronchioloalveolar carcinoma, a more common form of adenocarcinoma.[2]
Hemoptysis is seen occasionally.[7]
Positron Emission Tomography (PET) scanning can be of assistance in diagnosing MCACL,[10] as these lesions show intense uptake, typically in the wall of the tumor.[7]
CA 19-9 has been reported to be elevated in MCACL.[7]
Differential diagnosis of MCACL includes secondary metastatic cystadenocarcinomatous lesions, particularly from the pancreas or ovary, mucoepidermoid carcinoma, and pulmonary mucinous bronchioloalveolar carcinoma.[4][1][12] The mouse monoclonal antibody 1D3, developed to detect a high molecular weight mucin found in a number of cystic malignancies of various organs, may be of use in differentiating primary mucinous cystadenocarcinoma of the lung from metastatic lung tumors due to mucinous cystic lesions of the uterus and pancreas, as well as those primary in the colon and stomach.[13]
Treatment
For treatment purposes, MCACL has been traditionally considered a non-small cell lung carcinoma (NSCLC). Complete radical surgical resection is the treatment of choice.[14]
There is virtually no data regarding new molecular targets or targeted therapy in the literature to date. Iwasaki and co-workers failed to find mutations of the epidermal growth factor receptor (EGFR) or the cellular Kirsten rat sarcoma virus oncogene K-ras in one reported case.
Prognosis
MCACL has a much more favorable prognosis than most other forms of adenocarcinoma and most other NSCLC's.[10][14] Cases have been documented of continued growth of these lesions over a period of 10 years without symptoms or metastasis.[8] The overall mortality rate appears to be somewhere in the vicinity of 18% to 27%, depending on the criteria that are used to define this entity.[1]
Incidence
Accurate incidence statistics on MCACL are unavailable. It is a very rare tumor,[12] with only a few dozen cases reported in the literature to date.[1]
In the few cases described in the literature to date, the male-to-female ratio is approximately unity, and right lung lesions occurred twice as commonly as left lung lesions. Approximately 2/3 of cases have been associated with tobacco smoking.[1] Cases have been reported in patients as young as 29.[8]
References
- 1 2 3 4 5 6 7 8 9 Gao ZH, Urbanski SJ (July 2005). "The spectrum of pulmonary mucinous cystic neoplasia : a clinicopathologic and immunohistochemical study of ten cases and review of literature". American Journal of Clinical Pathology. 124 (1): 62–70. doi:10.1309/52XXR6E6U0J2JX0F. PMID 15923171.
- 1 2 3 Travis, William D; Brambilla, Elisabeth; Muller-Hermelink, H Konrad; et al., eds. (2004). Pathology and Genetics of Tumours of the Lung, Pleura, Thymus and Heart (PDF). World Health Organization Classification of Tumours. Lyon: IARC Press. ISBN 978-92-832-2418-1. Archived from the original (PDF) on 23 August 2009. Retrieved 27 March 2010.
- ↑ Tsuta K, Ishii G, Nitadori J, Murata Y, Kodama T, Nagai K, Ochiai A (May 2006). "Comparison of the immunophenotypes of signet-ring cell carcinoma, solid adenocarcinoma with mucin production, and mucinous bronchioloalveolar carcinoma of the lung characterized by the presence of cytoplasmic mucin". The Journal of Pathology. 209 (1): 78–87. doi:10.1002/path.1947. PMID 16463270. S2CID 22202641.
- 1 2 3 Tangthangtham A, Chonmaitri I, Tungsagunwattana S, Charupatanapongse U (October 1998). "Mucinous cystadenocarcinoma of the lung". Journal of the Medical Association of Thailand = Chotmaihet Thangphaet. 81 (10): 794–798. PMID 9803072.
- ↑ Kragel PJ, Devaney KO, Meth BM, Linnoila I, Frierson HF, Travis WD (October 1990). "Mucinous cystadenoma of the lung. A report of two cases with immunohistochemical and ultrastructural analysis". Archives of Pathology & Laboratory Medicine. 114 (10): 1053–1056. PMID 1699507.
- ↑ Dixon AY, Moran JF, Wesselius LJ, McGregor DH (July 1993). "Pulmonary mucinous cystic tumor. Case report with review of the literature". The American Journal of Surgical Pathology. 17 (7): 722–728. doi:10.1097/00000478-199307000-00010. PMID 8317612.
- 1 2 3 4 5 Iwasaki T, Kawahara K, Nagano T, Nakagawa K (March 2007). "Pulmonary mucinous cystadenocarcinoma: an extremely rare tumor presenting as a cystic lesion of the lung". General Thoracic and Cardiovascular Surgery. 55 (3): 143–146. doi:10.1007/s11748-006-0089-z. PMID 17447515. S2CID 33648202.
- 1 2 3 Sezer O, Hoffmeier A, Bettendorf O, Franzius C, Semik M, Schmid C, Scheld HH (April 2006). "Mucinous cystadenocarcinoma--an extremely rare tumor in a young patient". The Thoracic and Cardiovascular Surgeon. 54 (3): 216–217. doi:10.1055/s-2005-872950. PMID 16639689.
- ↑ Travis, W.D.; Colby, T.V.; Corrin, B. (1999). Histological Typing of Lung and Pleural Tumors. International histological classification of tumours, no. 1 (3rd ed.). Berlin: Springer. ISBN 978-3-540-65219-9.
- 1 2 3 Raza SA, Alexakis C, Creagh M, Lawrence DR, Wood M (August 2009). "Primary pulmonary mucinous cystadenocarcinoma presenting as a complex bronchocele: a case report". Journal of Medical Case Reports. 3: 8581. doi:10.4076/1752-1947-3-8581. PMC 2737758. PMID 19830231.
- ↑ Butnor KJ, Sporn TA, Dodd LG (2001). "Fine needle aspiration cytology of mucinous cystadenocarcinoma of the lung: report of a case with radiographic and histologic correlation". Acta Cytologica. 45 (5): 779–783. doi:10.1159/000328305. PMID 11575661. S2CID 3339868.
- 1 2 Ishibashi H, Moriya T, Matsuda Y, Sado T, Hoshikawa Y, Chida M, et al. (November 2003). "Pulmonary mucinous cystadenocarcinoma: report of a case and review of the literature". The Annals of Thoracic Surgery. 76 (5): 1738–1740. doi:10.1016/S0003-4975(03)00657-X. PMID 14602331.
- ↑ Gangopadhyay A, Bhattacharya M, Chatterjee SK, Barlow JJ, Tsukada Y (April 1985). "Immunoperoxidase localization of a high-molecular-weight mucin recognized by monoclonal antibody 1D3". Cancer Research. 45 (4): 1744–1752. PMID 3884144. Archived from the original on 2013-02-23. Retrieved 2022-04-17.
- 1 2 Gaeta M, Blandino A, Scribano E, Ascenti G, Minutoli F, Pandolfo I (1999). "Mucinous cystadenocarcinoma of the lung: CT-pathologic correlation in three cases". Journal of Computer Assisted Tomography. 23 (4): 641–643. doi:10.1097/00004728-199907000-00028. PMID 10433300.
