Melanoma with features of a Spitz nevus

Spitzoid melanoma
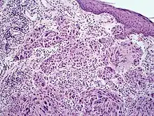
Melanoma with features of a Spitz nevus (also known as a "Spitzoid melanoma") is a cutaneous condition characterized histologically with tissue similar to a spitz nevus and with overall symmetry and a dermal nodule of epithelioid melanocytes that do not mature with progressively deeper dermal extension.[1]
It is rare, more common in males and in those older than 40 years of age.[2]
.jpg.webp)
Spitzoid melanoma in 10 year old
See also
References
- ↑ Rapini, Ronald P.; Bolognia, Jean L.; Jorizzo, Joseph L. (2007). Dermatology: 2-Volume Set. St. Louis: Mosby. p. 1752. ISBN 1-4160-2999-0.
- ↑ DE, Elder; D, Massi; RA, Scolyer; R, Willemze (2018). "2. Melanocytic tumours: malignant spitz melanoma". WHO Classification of Skin Tumours. Vol. 11 (4th ed.). Lyon (France): World Health Organization. pp. 108–110. ISBN 978-92-832-2440-2. Archived from the original on 2022-07-11. Retrieved 2022-08-12.
This article is issued from Wmcloud. The text is licensed under Creative Commons - Attribution - Sharealike. Additional terms may apply for the media files.