May–Grünwald stain

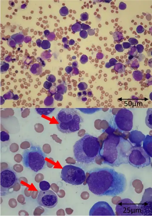
May Grünwald–Giemsa staining of bone marrow cells taken from a patient with hereditary folate malabsorption, from a case report by Yukari Sakurai et al., 2022[1]
May–Grünwald stain is used for the staining of slides obtained by fine-needle aspiration in a histopathology lab for the diagnosis of tumorous cells.[2][3]
Sometimes, it is combined with Giemsa staining, yielding Pappenheim staining (May-Grünwald-Giemsa staining).[4]
References
- ↑ Sakurai, Y., Toriumi, N., Sarashina, T. et al. An infantile case of hereditary folate malabsorption with sudden development of pulmonary hemorrhage: a case report. J Med Case Reports 16, 268 (2022). https://doi.org/10.1186/s13256-022-03448-x
- ↑ Harald Kluge (2007). Atlas of CSF Cytology. Thieme. p. 4. ISBN 978-3-13-143161-5.
- ↑ Giorgio Gherardi (14 August 2010). Fine-Needle Biopsy of Superficial and Deep Masses: Interventional Approach and Interpretation Methodology by Pattern Recognition. Springer Science & Business Media. p. 10. ISBN 978-88-470-1433-6.
- ↑ "May-Gruenwald solution". Biognost. Retrieved 2024-01-16.
This article is issued from Wmcloud. The text is licensed under Creative Commons - Attribution - Sharealike. Additional terms may apply for the media files.