Nonbacterial thrombotic endocarditis

Nonbacterial thrombotic endocarditis
Other names: Marantic endocarditis[1]
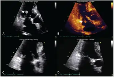
a,b) Transthoracic echocardiography - NBTE arrow c.d) after anticoagulation therapy lesion practically disappeared
SpecialtyCardiology
SymptomsTypically no symptoms[1]
ComplicationsStroke[1]
CausesPlatelet and fibrin emboli attached to heart valves[2]
Risk factorsCancer[1]
Diagnostic methodEchocardiography[1]
TreatmentNo effective treatment, anticoagulation[1]

Nonbacterial thrombotic endocarditis (NBTE) is a form of inflammation of the heart in which small sterile vegetations are deposited on the valves.[3] There are typically no symptoms, but has the possibility of presenting with symptoms of stroke.[1]

It is caused by small platelet and fibrin emboli attached to the heart valves.[2]

Diagnosis may be made by echocardiography; however not all emboli are obvious.[1] There is no effective treatment, but anticoagulation is often used.[1]

Around one in five people with a cancer have a non-infective emboli on a mitral or aortic valve.[1] The condition was first identified in 1888 by Zeigler.[3]

Signs and symptoms

There are typically no symptoms, but has the possibility of presenting with symptoms of stroke.[1]

Risk factors

The vegetations are often associated with previous rheumatic fever. Other risk factors include:

Histopathology

Grossly, vegetations form along lines of valve closure and are generally symmetric with a smooth or warty texture.[1] Histologically, lesions are composed of fibrin (eosinophilic) and platelets but, unlike bacterial etiologies, contain little evidence of PMNs, microorganisms or inflammation.

Diagnosis

Due to the non-invasive nature of NBTE, clinical examination may or may not reveal a new murmur. An embolic stroke may be the first feature to suggest diagnosis of NBTE.[1] An echocardiograph may be used to further assess for valvular lesions.[1]

Treatment

There is no effective treatment, but anticoagulation is often used.[1]

Epidemiology

Around one in five people with a cancer have a non-infective emboli on a mitral or aortic valve.[1]

History

It was formerly known as marantic endocarditis, which comes from the Greek marantikos, meaning "wasting away".[4] The condition was first identified in 1888 by Zeigler.[3]

References

  1. 1 2 3 4 5 6 7 8 9 10 11 12 13 14 15 16 McKenna, William J.; Elliott, Perry M. (2020). "54. Diseases of the myocardium and endocardium". In Goldman, Lee; Schafer, Andrew I. (eds.). Goldman-Cecil Medicine. Vol. 1 (26th ed.). Philadelphia: Elsevier. p. 312. ISBN 978-0-323-55087-1. Archived from the original on 2022-11-12. Retrieved 2022-11-05.
  2. 1 2 "Noninfective Endocarditis - Cardiovascular Disorders". Merck Manuals Professional Edition. Archived from the original on 22 April 2021. Retrieved 26 October 2021.
  3. 1 2 3 Langston, Matthew C.; Zack, Chad J.; Fender, Erin Amanda (26 September 2022). "Non-bacterial thrombotic endocarditis: manifestations and diagnosis in the age of echocardiography". Heart (British Cardiac Society). 108 (20): 1590–1591. doi:10.1136/heartjnl-2022-321223. ISSN 1468-201X. PMID 35609961. Archived from the original on 25 May 2022. Retrieved 5 November 2022.
  4. Neurological Sequelae of Infectious Endocarditis at eMedicine
Classification
External resources
This article is issued from Wmcloud. The text is licensed under Creative Commons - Attribution - Sharealike. Additional terms may apply for the media files.