Malignant pilomatricoma
| Malignant pilomatricoma | |
|---|---|
| Other names: Pilomatrical carcinoma,[1] and Pilomatrix carcinoma | |
![]() | |
| Specialty | Oncology |
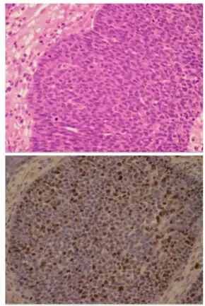
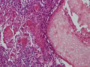
Malignant pilomatricoma is a cutaneous condition characterized by a locally aggressive tumor composed of hair-matrix cells.[2]: 671 [3]

Pilomatrix carcinoma
See also
References
- ↑ Rapini, Ronald P.; Bolognia, Jean L.; Jorizzo, Joseph L. (2007). Dermatology: 2-Volume Set. St. Louis: Mosby. ISBN 978-1-4160-2999-1.
- ↑ James, William D.; Berger, Timothy G.; et al. (2006). Andrews' Diseases of the Skin: Clinical Dermatology. Saunders Elsevier. ISBN 0-7216-2921-0.
- ↑ Aherne NJ, Fitzpatrick DA, Gibbons D, Armstrong JG (2008). "Pilomatrix carcinoma presenting as an extra axial mass: clinicopathological features". Diagn Pathol. 3: 47. doi:10.1186/1746-1596-3-47. PMC 2633279. PMID 19040752. Archived from the original on 2023-01-16. Retrieved 2023-01-03.
External links
| Classification |
|---|
This article is issued from Wmcloud. The text is licensed under Creative Commons - Attribution - Sharealike. Additional terms may apply for the media files.
