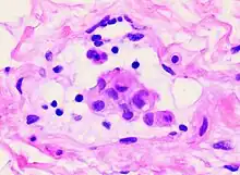
Lymphovascular invasion

Micrograph showing lymphovascular invasion (top of image) in a case of laryngeal cancer. H&E stain.

Lymphovascular invasion (LVI or lymphovascular space invasion) is the invasion of a cancer to the blood vessels and/or lymphatics.

Terminology

Lymph: A clear or white fluid that travels through vessels, moves within tissues and work to keep all the parts of the body clean. Vascular: The body's network of blood vessels. When cancer spreads to lymph and vascular system, it is thus termed as Lymphovascular Invasion.

Pathology

Lymphovascular invasion, especially in carcinomas, usually precedes spread to the lymph nodes that drain the tissue in which the tumour arose. Conversely, cancers with lymph node spread (known as a lymph node metastases), usually have lymphovascular invasion. Lymph node metastases usually precede secondary tumours, i.e. distant metastases.

The absence of LVI in the context of proven lymph node metastasis is usually thought to be due to sampling error.[1]

Prognostic significance

The predictive value and prevalence of lymphovascular invasion is strongly dependent on the type of cancer. In other words, LVI in one type of cancer may be much less important than LVI in another type of cancer.

Generally speaking, it is associated with lymph node metastases[2][3] which themselves are predictive of a poorer prognosis.[4] In the context of (histologically) proven lymph node metastases, LVI may have less prognostic significance or no prognostic significance.

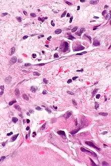
Breast cancer

Lymphatic invasion by invasive ductal carcinoma of the breast.

Whether LVI is a significant prognostic factor in breast cancer is widely debated, and there is no clear consensus.[5][6]

Urothelial carcinoma

In urothelial carcinoma, LVI is an independent predictor of a poorer prognosis that has more predictive power than tumour stage.[7]

Colorectal cancer

In sporadic colorectal carcinoma, LVI of a poorer prognosis.[8]

See also

References

  1. Han JS, Molberg KH, Sarode V (2011). "Predictors of invasion and axillary lymph node metastasis in patients with a core biopsy diagnosis of ductal carcinoma in situ: an analysis of 255 cases". The Breast Journal. 17 (3): 223–9. doi:10.1111/j.1524-4741.2011.01069.x. PMID 21545433. S2CID 9775260.
  2. Schoppmann SF, Bayer G, Aumayr K, Taucher S, Geleff S, Rudas M, et al. (August 2004). "Prognostic value of lymphangiogenesis and lymphovascular invasion in invasive breast cancer". Ann. Surg. 240 (2): 306–12. doi:10.1097/01.sla.0000133355.48672.22. PMC 1356408. PMID 15273556.
  3. Fang WL, Chang SC, Lin JK, Wang HS, Yang SH, Jiang JK, Chen WC, Lin TC (2005). "Metastatic potential in T1 and T2 colorectal cancer". Hepatogastroenterology. 52 (66): 1688–91. PMID 16334758.
  4. Moreira LF, Kenmotsu M, Gochi A, Tanaka N, Orita K (1999). "Lymphovascular and neural invasion in low-lying rectal carcinoma". Cancer Detect. Prev. 23 (2): 123–8. doi:10.1046/j.1525-1500.1999.09908.x. PMID 10101593.
  5. Ejlertsen B, Jensen MB, Rank F, Rasmussen BB, Christiansen P, Kroman N, et al. (May 2009). "Population-based study of peritumoral lymphovascular invasion and outcome among patients with operable breast cancer". J. Natl. Cancer Inst. 101 (10): 729–35. doi:10.1093/jnci/djp090. PMID 19436035.
  6. Song YJ, Shin SH, Cho JS, Park MH, Yoon JH, Jegal YJ (September 2011). "The role of lymphovascular invasion as a prognostic factor in patients with lymph node-positive operable invasive breast cancer". J Breast Cancer. 14 (3): 198–203. doi:10.4048/jbc.2011.14.3.198. PMC 3200515. PMID 22031801.
  7. Cheng, L.; Montironi, R.; Davidson, DD.; Lopez-Beltran, A. (Jun 2009). "Staging and reporting of urothelial carcinoma of the urinary bladder". Mod Pathol. 22 Suppl 2: S70–95. doi:10.1038/modpathol.2009.1. PMID 19494855.
  8. Lim, SB.; Yu, CS.; Jang, SJ.; Kim, TW.; Kim, JH.; Kim, JC. (Apr 2010). "Prognostic significance of lymphovascular invasion in sporadic colorectal cancer". Dis Colon Rectum. 53 (4): 377–84. doi:10.1007/DCR.0b013e3181cf8ae5. PMID 20305435. S2CID 23220174.
This article is issued from Wmcloud. The text is licensed under Creative Commons - Attribution - Sharealike. Additional terms may apply for the media files.