Lunate dislocation
| Lunate dislocation | |
|---|---|
| Other names: Isolated lunate dislocation[1] | |
![]() | |
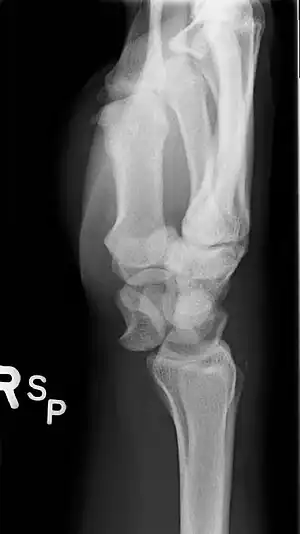
| A lateral X-ray of the wrist showing a lunate dislocation | |
| Specialty | Orthopedics |
| Symptoms | Wrist pain and swelling[2] |
| Complications | Median nerve injury[1] |
| Causes | Significant trauma, with bending back of the wrist[3] |
| Diagnostic method | X-rays[1] |
| Differential diagnosis | Perilunate dislocation[3] |
| Treatment | Joint reduction followed by splinting, surgery[1] |
| Frequency | Uncommon[2] |
A lunate disclocation is a type of wrist dislocation where the lunate is rotated and out of place.[3] Symptoms include wrist pain and swelling.[2] It is variable whether or not the wrist appears abnormal.[2] Complications may include injury to the median nerve.[1]
The underlying cause generally involves significant trauma, with bending back of the wrist.[3] Diagnosis is generally by X-rays; though, up to 25% of the time they are missed.[1]
Management generally requires surgery.[4] Though, joint reduction followed by splinting may be carried out before surgery occurs.[2] Surgery may occur 3 to 5 days later as long as the radial nerve is normal and the join reduced.[1] In those who are treated rapidly, outcomes are generally reasonable, though osteoarthritis is common.[2]
A lunate dislocation is uncommon.[2] When it occurs, typically younger people are affected.[1] Early descriptions dates from the 1940s by Russell.[5][6]
Diagnosis

References
- 1 2 3 4 5 6 7 8 "Lunate Dislocation". fpnotebook.com. Archived from the original on 3 December 2023. Retrieved 26 February 2024.
- 1 2 3 4 5 6 7 Bentley, TP; Hope, N; Journey, JD (January 2024). "Wrist Dislocation". PMID 29939534.
{{cite journal}}: Cite journal requires|journal=(help) - 1 2 3 4 Dixon, Andrew. "Lunate dislocation | Radiology Reference Article | Radiopaedia.org". Radiopaedia. Archived from the original on 21 September 2023. Retrieved 25 February 2024.
- ↑ "Lunate Dislocation". Core EM. Archived from the original on 25 February 2024. Retrieved 26 February 2024.
- ↑ Huang, C; You, D; Guo, W; Qu, W; Hu, Y; Li, R; Zhu, Z (July 2019). "First-stage scapholunate fusion for the treatment of a chronic lunate dislocation: A case report". Medicine. 98 (28): e16453. doi:10.1097/MD.0000000000016453. PMID 31305477.
- ↑ RUSSELL, TB (November 1949). "Inter-carpal dislocations and fracture-dislocations; a review of 59 cases". The Journal of bone and joint surgery. British volume. 31B (4): 524–31, illust. PMID 15397134.
