Lujo mammarenavirus

Lujo mammarenavirus
Lujo virus
Virus classification e
(unranked): Virus
Realm: Riboviria
Kingdom: Orthornavirae
Phylum: Negarnaviricota
Class: Ellioviricetes
Order: Bunyavirales
Family: Arenaviridae
Genus: Mammarenavirus
Species:
Lujo mammarenavirus
Synonyms[1]
  • Lujo virus
  • Lusaka/Johannesburg virus

Lujo mammarenavirus is a bisegmented RNA virus—a member of the family Arenaviridae—and the cause of Lujo hemorrhagic fever in humans. [2]

Its name was suggested by the Special Pathogens Unit of the National Institute for Communicable Diseases of the National Health Laboratory Service (NICD-NHLS) by using the first two letters of the names of the cities involved in the 2008 outbreak of the disease, Lusaka (Zambia) and Johannesburg (Republic of South Africa). It is the second pathogenic Arenavirus to be described from the African continent—the first being Lassa virus—and since 2012 has been classed as a "Select Agent" under U.S. law.[2][3]

Virology

Mammarenavirus structure and genome composition.[4]

One finds that Mammarenavirus contain two ambisense RNA segments, which contain four ORF that encode four proteins. these four proteins are the following:[5][6]

  • Nucleoprotein
  • Glycoprotein precursor
  • L protein
  • Z ( modulator of viral genome replication )

Sequencing of the viral genome has shown that this virus belongs to the Old World arenavirus group. Comparisons with other viral genome sequences showed that this virus is equidistant from other Old World and New World arenaviruses. It is distantly similar to the other pathogenic African arenavirus, Lassa fever virus.[7]

Transmission

Rodent (reservoir)

Viruses from the Arenaviridae family, to which Lujo virus belongs, almost always have a rodent reservoir, with one virus in the family having a bat reservoir. Contact with an infected rodent host, its urine or fecal matter, inhalation of dust with virus particles, or eating food containing remnants of the virus can result in human infection. Transmission can also occur via human-to-human contact, as evidenced by the 5 cases from 2008, but it is still not completely clear how the first case was contracted. Both bats and rodents should be considered possible contact points, just to be safe.[7]

Though it is not known for sure, it is speculated that the human-to-human transmission occurs from contact with bodily fluids. The incubation period is expected to be 7–13 days.[8]

Distribution

The distribution of this newly described arenavirus is uncertain. To date this virus has only been reported from a patient from Zambia and a subsequent nosocomial outbreak in South Africa.[9][10]

History

South Africa

Only 5 cases of this virus have ever been reported; all 5 were identified in September and October 2008, and 4 were fatal. Those infections that proved fatal caused death within 10–13 days of showing symptoms. All four patients in which infection proved fatal first showed signs of improvement and then went into respiratory distress, displayed neurological problems, and had circulatory issues that resulted in collapse.[2] The discovery of this novel virus was described following a highly fatal nosocomial (hospital) outbreak of VHF in Johannesburg.[11][12] The identification of this virus was the first new arenavirus discovered in over 40 years.[13]

The first case was a female travel agent who lived in the outskirts of Lusaka. She developed a fever which grew worse with time. She was evacuated to Johannesburg for medical treatment. Almost two weeks later, the paramedic that nursed the patient on the flight to South Africa also fell ill and was also brought to Johannesburg for medical treatment. At this time the connection between these two patients was recognized by the attending physician in the Johannesburg hospital. Together with the NICD-NHLS the clinical syndrome of VHF was recognized and specimens from the second patient were submitted for laboratory confirmation.[14] In addition, a cleaner and a nurse that had contact with the first patient also fell ill. A second nurse was infected through contact with the paramedic. The outbreak had a high case fatality rate with 4 of 5 identified cases resulting in death.[12]

The Special Pathogens Unit of the NICD-NHLS together with colleagues from the Special Pathogens Unit of the U.S. Centers for Disease Control and Prevention (CDC) identified the etiological agent of the outbreak as an Old World arenavirus using molecular and serological tests.[11] Sequencing and phylogenetic investigation of partial genome sequencing indicated that this virus was not Lassavirus and likely a previously unreported arenavirus. This was corroborated by full genome sequencing that was conducted by the NICD-NHLS, CDC and collaborators from Columbia University in New York.[7]

Lujo hemorrhagic fever

a-c)Clinical manifestations of Lujo haemorrhagic fever, including facial and neck swelling, subconjunctival haemorrhage , and maculopapular rash

Symptoms and signs

VHF symptoms appear similar to other viruses of the same family, such as Lassa fever. The known symptoms include:[8]

Risk factors

Among the risk factors (those placed at higher risk) for this infection are the following:[15]

Diagnosis

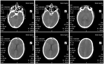
Lujo hemorrhagic fever- CT scan of the brain of infected individual showing cerebral edema

Blood tests of those infected revealed elevated liver values, white blood cell counts that were first low and then elevated over time, and low platelet counts.[8]In terms of the diagnosis of Lujo hemorrhagic fever the following is done:[15][16]

ELISA
Indirect immunofluorescent assay

Differential diagnosis

Via the process of PCR one can ascertain (detect) what type of viral hemorrhagic fever is being considered instead of Lujo virus[17]

Prevention

As for prevention of this infection, nurses should adhere to full protective nursing procedures, as should lab workers implement the correct biosafety procedures when handling this virus (BSL-4)[15]

Treatment

This virus has been associated with an outbreak of five cases of VHF in September and October 2008.[11] In four cases (80% of total known infections) the infection was fatal, the fifth case was treated with ribavirin early after onset of clinical disease (was detected through active contact tracing), an antiviral drug which is effective in treating Lassa fever, and survived; however, complete ribavirin's effectiveness against Lujo virus remains unknown but may be useful as adjunctive therapy.[12]

Research

Ribavirin

In-depth research into Lujo virus and its treatment have been difficult because of the lack of economic and cultural stability of the regions where the only known cases have occurred. Under Treatment with oral ribavirin treatment, the patient 5 continued to deteriorate but the treatment shifted to i.v on day 8 it seemed to have cured the only surviving patient with Lujo Virus, but because the 5 affected in 2008 have been the only cases identified, there has not been much opportunity for further research.[16][12]

References

  1. "Arenaviridae". International Committee on Taxonomy of Viruses (ICTV). Archived from the original on 8 January 2023. Retrieved 9 January 2023.
  2. 1 2 3 "Lujo Hemorrhagic Fever (LUHF) | CDC". www.cdc.gov. Archived from the original on 2016-11-11. Retrieved 2016-11-10.
  3. Additional Requirements for Facilities Transferring or Receiving Select Agents, Title 42 CFR Part 72 and Appendix A; 15 April 1997 (DHHS).
  4. Stott, Robert J.; Strecker, Thomas; Foster, Toshana L. (21 July 2020). "Distinct Molecular Mechanisms of Host Immune Response Modulation by Arenavirus NP and Z Proteins". Viruses. 12 (7): 784. doi:10.3390/v12070784. ISSN 1999-4915. Retrieved 1 June 2023.
  5. Hallam, Steven J.; Koma, Takaaki; Maruyama, Junki; Paessler, Slobodan (2018). "Review of Mammarenavirus Biology and Replication". Frontiers in Microbiology. 9: 1751. doi:10.3389/fmicb.2018.01751. ISSN 1664-302X. PMC 6085440. PMID 30123198.
  6. Moolla, Naazneen; Weyer, Jacqueline (1 January 2020). "Chapter 5 - The Arenaviridae". Emerging and Reemerging Viral Pathogens. Academic Press. pp. 69–100. ISBN 978-0-12-819400-3. Retrieved 28 May 2023.
  7. 1 2 3 Briese, T.; Paweska, J.; McMullan, L.; Hutchison, S.; Street, C.; Palacios, G.; Khristova, M.; Weyer, J.; Swanepoel, R.; et al. (2009). "Genetic characterization and detection of Lujo virus, a new hemorrhagic fever-associated arenavirus from Southern Africa". PLOS Pathogens. 5 (5): e1000455. doi:10.1371/journal.ppat.1000455. ISSN 1553-7374. PMC 2680969. PMID 19478873.
  8. 1 2 3 "Lujo Hemorrhagic Fever (LUHF) Signs and Symptoms". www.cdc.gov. CDC. Archived from the original on 2016-11-11. Retrieved 2016-11-10.
  9. Ishii, A; Thomas, Y; Moonga, L; Nakamura, I; Ohnuma, A; Hang'ombe, B; Takada, A; Mweene, A; Sawa, H (October 2011). "Novel arenavirus, Zambia". Emerging Infectious Diseases. 17 (10): 1921–4. doi:10.3201/eid1710.10452. PMC 3310648. PMID 22000372.
  10. Berger, Stephen (17 March 2022). Lassa and Lujo fevers: Global Status: 2022 edition. GIDEON Informatics Inc. p. 38. ISBN 978-1-4988-3726-2. Archived from the original on 1 July 2023. Retrieved 27 May 2023.
  11. 1 2 3 Paweska, J.; et al. (2009). "Nosocomial outbreak of novel arenavirus infection: Southern Africa". Emerg Infect Dis. 15 (10): 1598–1602. doi:10.3201/eid1510.090211. PMC 2866397. PMID 19861052.
  12. 1 2 3 4 Sewlall, Nivesh H; Paweska, Janusz T (7 December 2017). "Lujo virus: current concepts". Virus Adaptation and Treatment. 2017 (9): 41–47. doi:10.2147/VAAT.S113593. S2CID 73648784.
  13. "Discovery of new arenavirus associated with hemorrhagic fever – first identified in nearly four decades". News-Medical.net. 2009-06-02. Archived from the original on 2016-11-11. Retrieved 2016-11-10.
  14. "Deadly Bleeding Virus, Previously Unknown, Identified in Study". Bloomberg. 13 September 2009. Archived from the original on 1 July 2023. Retrieved 9 January 2023.
  15. 1 2 3 "Risk of Exposure | Lujo Hemorrhagic Fever (LUHF) | CDC". www.cdc.gov. 26 February 2019. Archived from the original on 9 January 2023. Retrieved 24 May 2023.
  16. 1 2 Sewlall, Nivesh H.; Richards, Guy; Duse, Adriano; Swanepoel, Robert; Paweska, Janusz; Blumberg, Lucille; Dinh, Thu Ha; Bausch, Daniel (2014-01-01). "Clinical features and patient management of Lujo hemorrhagic fever". PLOS Neglected Tropical Diseases. 8 (11): e3233. doi:10.1371/journal.pntd.0003233. ISSN 1935-2735. PMC 4230886. PMID 25393244.
  17. Simulundu, E; Mweene, AS; Changula, K; Monze, M; Chizema, E; Mwaba, P; Takada, A; Ippolito, G; Kasolo, F; Zumla, A; Bates, M (November 2016). "Lujo viral hemorrhagic fever: considering diagnostic capacity and preparedness in the wake of recent Ebola and Zika virus outbreaks". Reviews in Medical Virology. 26 (6): 446–454. doi:10.1002/rmv.1903. PMC 7169100. PMID 27593704.
This article is issued from Wmcloud. The text is licensed under Creative Commons - Attribution - Sharealike. Additional terms may apply for the media files.