Lipid pneumonia

Lipoid pneumonia
Other names: Lipoid pneumonia, cholesterol pneumonia
Lipid pneumonia, exogenous Case 108

Lipoid pneumonia is a specific form of lung inflammation (pneumonia) that develops when lipids enter the bronchial tree. The disorder is sometimes called cholesterol pneumonia in cases where that lipid is a factor.[1]

Signs and symptoms

The pneumonia presents as a foreign body reaction causing cough, dyspnea, and often fever. Hemoptysis has also been reported.[2]

Causes

Sources of such lipids could be either exogenous or endogenous.[3]

Exogenous: from outside the body. For example, inhaled nose drops with an oil base, or accidental inhalation of cosmetic oil. Amiodarone is an anti-arrythmic known to cause this condition. Oil pulling has also been shown to be a cause.[4] Fire breather's pneumonia from the inhalation of hydrocarbon fuel is a specific variant. At risk populations include the elderly, developmentally delayed or persons with gastroesophageal reflux. Switching to water-soluble alternatives may be helpful in some situations.[2]

Endogenous: from the body itself, for example, when an airway is obstructed, it is often the case that distal to the obstruction, lipid-laden macrophages and giant cells fill the lumen of the disconnected airspace.[5]

Pathology

The gross appearance of a lipid pneumonia is that in which there is an ill-defined, pale yellow area on the lung. This yellow appearance explains the colloquial term "golden" pneumonia.

At the microscopic scale foamy macrophages and giant cells are seen in the airways, and the inflammatory response is visible in the parenchyma.

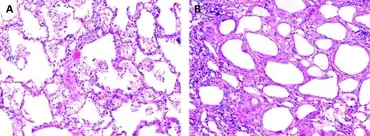
Diagnosis

a) Exogenous lipoid pneumonia with histiocytes (fine microvesicles) b) Exogenous lipoid pneumonia with larger vacuoles

The diagnosis of this condition can be done by demonstration of lipid-laden macrophages in:[6]

Treatment

Treatment is with corticosteroids and possibly intravenous immunoglobulins.

Prognosis

Endogenous lipoid pneumonia and non-specific interstitial pneumonitis has been seen prior to the development of pulmonary alveolar proteinosis in a child.[5]

History

Laughlen first described lipid pneumonia in 1925 with infants that inhaled oil droplets.[7] It is a condition that has been seen as an occupational risk for commercial diving operations but documented cases are rare.[7]

References

  1. Pelz L, Hobusch D, Erfurth F, Richter K (1972). "[Familial cholesterol pneumonia]". Helv Paediatr Acta. 27 (4): 371–9. PMID 4644274.
  2. 1 2 Moe Bell, Marvin (2015). "Lipoid pneumonia: An unusual and preventable illness in elderly patients". Canadian Family Physician. 61 (9): 775–777. PMC 4569110. PMID 26371101.
  3. "Pulmonary Pathology". Archived from the original on 22 November 2008. Retrieved 21 November 2008.
  4. Kim JY, Jung JW, Choi JC, Shin JW, Park IW, Choi BW (February 2014). "Recurrent lipoid pneumonia associated with oil pulling". The International Journal of Tuberculosis and Lung Disease. 18 (2): 251–2. doi:10.5588/ijtld.13.0852. PMID 24429325.
  5. 1 2 Antoon JW, Hernandez ML, Roehrs PA, Noah TL, Leigh MW, Byerley JS (2014). "Endogenous lipoid pneumonia preceding diagnosis of pulmonary alveolar proteinosis". The Clinical Respiratory Journal. doi:10.1111/crj.12197. PMID 25103284.
  6. Hadda, Vijay; Khilnani, Gopi C. (December 2010). "Lipoid pneumonia: an overview". Expert Review of Respiratory Medicine. 4 (6): 799–807. doi:10.1586/ers.10.74. ISSN 1747-6356. Archived from the original on 7 December 2021. Retrieved 19 January 2022.
  7. 1 2 Kizer KW, Golden JA (November 1987). "Lipoid pneumonitis in a commercial abalone diver". Undersea Biomedical Research. 14 (6): 545–52. PMID 3686744. Archived from the original on 25 May 2013. Retrieved 2 April 2013.

Further reading

  • Spickard, Anderson; Hirschmann, JV (28 March 1994). "Exogenous Lipoid Pneumonia". Archives of Internal Medicine. 154 (6): 686–92. doi:10.1001/archinte.1994.00420060122013. PMID 8129503.
  • Betancourt, SL; Martinez-Jimenez, S; Rossi, SE; Truong, MT; Carrillo, J; Erasmus, JJ (January 2010). "Lipoid pneumonia: spectrum of clinical and radiologic manifestations". AJR. American Journal of Roentgenology. 194 (1): 103–9. doi:10.2214/ajr.09.3040. PMID 20028911.
Classification
This article is issued from Wmcloud. The text is licensed under Creative Commons - Attribution - Sharealike. Additional terms may apply for the media files.