Idiopathic scrotal calcinosis

Idiopathic scrotal calcinosis
Other names: Idiopathic calcified nodules of the scrotum[1]
SpecialtyDermatology
SymptomsOne or more small bumps in the skin of the scrotum, may be chalky discharge[2]
Usual onsetYoung boys and young men[2]

Idiopathic scrotal calcinosis is a skin condition characterized by one or more small bumps in the skin of the scrotum, sometimes with chalky discharge.[2]

These bumps are calcifications of the skin resulting from the deposition of calcium and phosphorus.[3]:528 However, the levels of calcium and phosphate in the blood are normal.[4] Idiopathic scrotal calcinosis typically affects young males, with an onset between adolescence and early adulthood.[4] The scrotal calcinosis appears, without any symptoms, as yellowish nodules that range in size from 1 mm to several centimeters.[5]

Signs and symptoms

  • Single or multiple hard, marble-like nodules of varying size affecting scrotal skin.
  • Nodules vary in size from a few millimeters to a few centimeters.
  • Usually start to appear in childhood or early adult life
  • Over time, nodules increase in number and size
  • Nodules may break down and discharge chalky material
  • Rarely, lesions may be polypoid
  • Usually asymptomatic

Cause

The cause is not well defined.[5][6] Originally considered idiopathic condition. Now accepted that majority of cases develop from dystrophic calcification of cyst contents.

Diagnosis

Multiple calcified nodules are seen within the scrotum with normal appearance of the testes on CT
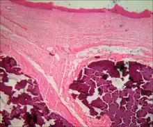
Microphotograph showing lobules of calcific deposits in dermis
  • Clinically Relevant Pathologic Features
  • Lesions slowly progress throughout life
    • They slowly increase in number and size
  • Nodules are mobile and do not attach to underlying structures

Pathologic Interpretation Pearls

  • Globular and granular purple deposits within dermis surrounded by giant cell granulomatous reaction
  • Sometimes remnants of cystic lesion can be identified
  • Very distinctive appearance with almost no histologic differential diagnosis.

Treatment

Treatment may involve surgery,[7] which is currently the only recommended intervention.[5] Surgery should include the removal of even small nodules, to prevent the recurrence of the scrotal calcinosis.[5]

Prognosis

  • Benign condition
  • Slow progression throughout life
  • Lesions remain discrete and do not become confluent

Epidemiology

  • Incidence: uncommon
  • Age: children and young adults

History

Scrotal calcinosis was first described in 1883 by Lewinski.[5]

See also

References

  1. Rapini, Ronald P.; Bolognia, Jean L.; Jorizzo, Joseph L. (2007). Dermatology: 2-Volume Set. St. Louis: Mosby. ISBN 978-1-4160-2999-1.
  2. 1 2 3 Johnstone, Ronald B. (2017). "14. Cutaneous deposits". Weedon's Skin Pathology Essentials (2nd ed.). Elsevier. p. 280. ISBN 978-0-7020-6830-0. Archived from the original on 2021-05-25. Retrieved 2022-09-27.
  3. James, William D.; Berger, Timothy G.; et al. (2006). Andrews' Diseases of the Skin: clinical Dermatology. Saunders Elsevier. ISBN 978-0-7216-2921-6.
  4. 1 2 Grenader, Tal; Shavit, Linda (Aug 18, 2011). "Scrotal Calcinosis". New England Journal of Medicine. 365 (7): 647. doi:10.1056/NEJMicm1013803. PMID 21848465.
  5. 1 2 3 4 5 Khallouk A, Yazami OE, Mellas S, Tazi MF, El Fassi J, Farih MH (2011). "Idiopathic scrotal calcinosis: a non-elucidated pathogenesis and its surgical treatment". Reviews in Urology. 13 (2): 95–7. PMC 3176555. PMID 21935341.
  6. Dubey S, Sharma R, Maheshwari V (2010). "Scrotal calcinosis: idiopathic or dystrophic?". Dermatol. Online J. 16 (2): 5. doi:10.5070/D34QV0S2PG. PMID 20178701. Archived from the original on 2013-05-02. Retrieved 2021-12-12.
  7. Karaca M, Taylan G, Akan M, Eker G, Gideroglu K, Gul AE (April 2010). "Idiopathic Scrotal Calcinosis: Surgical Treatment and Histopathologic Evaluation of Etiology". Urology. 76 (6): 1493–1495. doi:10.1016/j.urology.2010.02.001. PMID 20381842.
This article is issued from Wmcloud. The text is licensed under Creative Commons - Attribution - Sharealike. Additional terms may apply for the media files.