Globe rupture
| Globe rupture | |
|---|---|
| Other names: Open globe, globe laceration, globe perforation[1] | |
![]() | |
| Globe rupture with visible aqueous leaking from the eye | |
| Specialty | Ophthalmology |
| Symptoms | Eye pain, vision loss[1] |
| Complications | Endophthalmitis, blindness, sympathetic ophthalmia[1] |
| Causes | Injury (sharp or blunt)[1] |
| Diagnostic method | Eye examination, CT scan[1] |
| Differential diagnosis | Subconjunctival hemorrhage, orbital fracture, corneal abrasion, corneal ulcer, traumatic iritis[1] |
| Treatment | Eye shield, pain management, antibiotics, surgery[1] |
| Frequency | 3 per 100,000 (USA)[1] |
Globe rupture is a full thickness injury to the outer part of the eye.[2] Symptoms may include eye pain and vision loss.[1] Associated injuries may include vitreous hemorrhage, hyphema, or retinal detachment.[1] Endophthalmitis, permanent blindness, or sympathetic ophthalmia may result.[1]
It most commonly occurs due to either a sharp or blunt injury to the eye.[1] This may occur as a result of metal fragments, scissors, assault, falls, or motor vehicle collisions.[1] Other causes include chemical burns.[3] Diagnosis is by eye examination and may be support by CT scan.[1]
Treatment involves protection with an eye shield, pain management, and antibiotics.[1] This is than followed by surgery.[1] Factors associated with better outcomes include good initial vision and small wound size.[4]
About 3 per 100,000 people are affected in the United States.[1] Males are more commonly affected than females.[1] In males it occurs most in those under 40 years.[1]
Signs and symptoms
Complications
In terms of the complications of Globe rupture, we find permanent blindness, endophthalmitis, cyclitic membrane formation, and tractional retinal detachment can occur.[5]
Causes
During a globe rupture, the outer membranes of the eye are completely or partially compromised, and the vitreous and/or aqueous humour drain through the site of the rupture, causing the eye to 'deflate'.
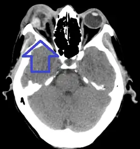
Diagnosis

On CT scan, signs of global rupture include: deepening of the anterior chamber, alteration of global contour with scleral folds, discontinuity of scleral folds, and a shrunken globe.[6]
Globe rupture
Globe rupture with protruding uveal tissue
Treatment
If not treated swiftly, severe damage can result. In many cases, globe ruptures are untreatable without enucleating the affected eye socket and replacing the eye with an ocular prosthesis. However, with modern diagnostic techniques, surgical approaches, and rehabilitation, in many cases eyes can be salvaged with retention of vision.
References
- 1 2 3 4 5 6 7 8 9 10 11 12 13 14 15 16 17 18 19 Blair, K; Alhadi, SA; Czyz, CN (January 2022). "Globe Rupture". PMID 31869101.
{{cite journal}}: Cite journal requires|journal=(help) - ↑ "Ruptured Globe - EyeWiki". eyewiki.aao.org. Archived from the original on 25 June 2021. Retrieved 30 July 2022.
- ↑ Ahmed, Mohamed. "Globe rupture | Radiology Reference Article | Radiopaedia.org". Radiopaedia. Archived from the original on 18 April 2022. Retrieved 30 July 2022.
- ↑ Gelston, Christopher D. (15 October 2013). "Common Eye Emergencies". American Family Physician. 88 (8): 515–519. PMID 24364572. Archived from the original on 6 August 2022. Retrieved 30 July 2022.
- ↑ Blair, Kyle; Alhadi, Sameir A.; Czyz, Craig N. (2022). "Globe Rupture". StatPearls. StatPearls Publishing. Archived from the original on 19 April 2022. Retrieved 18 July 2022.
- ↑ Chronopoulos, Argyrios; Ong, Jong Min; Thumann, Gabriele; Schutz, James S. (September 2018). "Occult globe rupture: diagnostic and treatment challenge". Survey of Ophthalmology. 63 (5): 694–699. doi:10.1016/j.survophthal.2018.04.001. Archived from the original on 2020-07-25. Retrieved 2020-07-25.
External links
- Simple overview Archived 2022-02-28 at the Wayback Machine
