Gliomatosis cerebri

Gliomatosis cerebri
Other names: Infiltrative diffuse astrocytosis
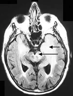
Axial fluid-attenuated inversion recovery MRI image demonstrating tumor-related infiltration involving both temporal lobes (Short arrow), and the substantia nigra (Long arrow).
SpecialtyNeuro-oncology, Neurosurgery

Gliomatosis cerebri is a rare primary diffuse brain tumor that has a poor prognosis.[1][2] It is defined by the World Health Organization as a diffusely infiltrating glial tumor impacting at least three cerebral lobes, mostly with bilateral involvement of the cerebral hemispheres and/or deep gray matter.[3][4] These malignancies consist of infiltrative threads that spread quickly and deeply into the surrounding brain tissue, or into multiple parts of the brain simultaneously, making them very difficult to remove with surgery or treat with radiation. It is distinguished histopathologically by the infiltration of malignant astrocytic components into the surrounding neuropil.[5] Gliomatosis cerebri behaves like a malignant tumor that is very similar to Glioblastoma.

While gliomatosis cerebri can occur at any age, it is generally found in the third and fourth decades of life.

Signs and symptoms

It may affect any part of the brain or even the spinal cord, optic nerve and compact white matter. Clinical manifestations are indefinite, and include headache, seizures, visual disturbances, corticospinal tract deficits, lethargy, and dementia. A case of gliomatosis cerebri presenting as rapidly progressive dementia and Parkinson's disease like symptoms has been described in an 82-year-old woman.[6]

Cause

The reason or cause of this neuro-oncological issue is unknown[7]

Diagnosis

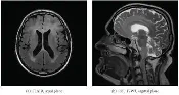
a,b) Images of Gliomatosis cerebri.

Before the advent of MRI, diagnosis was generally not established until autopsy. Even with MRI, however, diagnosis is difficult.[8] Typically, gliomatosis cerebri appears as a diffuse, poorly circumscribed, infiltrating non-enhancing lesion that is hyperintense on T2-weighted images and expands the cerebral white matter. It is difficult to distinguish from highly infiltrative anaplastic astrocytoma or GBM.

Treatment

The management of Gliomatosis cerebri is based on surgery, afterwards radiation, and chemotherapy may be included[7]

Registry

In 2014, Weill Cornell Brain and Spine Center launched an international registry for gliomatosis cerebri, where tissue samples can be stored for genomic study.[9]

Notes

  1. Couch JR, Weiss SA. Gliomatosis cerebri. Report of four cases and review of the literature. Neurology. 1974; 24:504–511. [PubMed: 4499966]
  2. Taillibert S, Chodkiewicz C, Laigle-Donadey F, Napolitano M, Cartalat-Carel S, Sanson M.Gliomatosis cerebri: a review of 296 cases from the ANOCEF database and the literature. JNeurooncol. 2006; 76:201–205. [PubMed: 16200347]
  3. Kleihues P, Louis DN, Scheithauer BW, Rorke LB, Reifenberger G, Burger PC, Cavenee WK. The WHO classification of tumors of the nervous system. J Neuropathol Exp Neuro. 2002; 61:226–229.
  4. Fuller GN, Scheithauer BW. The 2007 revised World Health Organization (WHO) classification of tumours of the central nervous system: newly codified entities. Brain Pathol. 2007; 17:304–307. [PubMed: 17598822]
  5. Artigas J, Cervos-Navarro J, Iglesias JR, Ebhardt G. Gliomatosis cerebri: clinical and histological findings. Clin Neuropathol. 1985; 4:135–138. [PubMed: 4053456]
  6. "Journal of Medical Case Reports".{{cite web}}: CS1 maint: url-status (link)
  7. 1 2 "Gliomatosis Cerebri Diagnosis and Treatment - NCI". www.cancer.gov. 17 September 2018. Archived from the original on 13 July 2022. Retrieved 1 October 2022.
  8. Bendszus M, Warmuth-Metz M, Klein R, Burger R, Schichor C, Tonn JC, Solymosi L (February 2000). "MR spectroscopy in gliomatosis cerebri". AJNR. American Journal of Neuroradiology. 21 (2): 375–380. PMID 10696026. Archived from the original on 2022-10-01. Retrieved 2022-07-28.
  9. "GC International Registry". Archived from the original on 2022-10-01. Retrieved 2022-07-28.
Classification
External resources
This article is issued from Wmcloud. The text is licensed under Creative Commons - Attribution - Sharealike. Additional terms may apply for the media files.