Glassy cell carcinoma of the cervix
| Glassy cell carcinoma of the cervix | |
|---|---|
| Other names: Glassy cell carcinoma | |
![]() | |
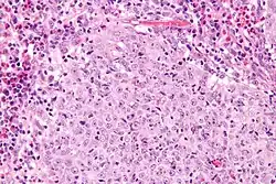
| Micrograph of a glassy cell carcinoma of the cervix. H&E stain. | |
Glassy cell carcinoma of the cervix, also glassy cell carcinoma, is a rare aggressive malignant tumour of the uterine cervix.[1] The tumour gets its name from its microscopic appearance; its cytoplasm has a glass-like appearance.
Signs and symptoms
The signs and symptoms are similar to other cervical cancers and may include post-coital bleeding and/or pain during intercourse (dyspareunia). Early lesions may be completely asymptomatic.
Cause
Diagnosis
The diagnosis is based on tissue examination, e.g. biopsy.
Under the microscope, glassy cell carcinoma tumours are composed of cells with a glass-like cytoplasm, typically associated with an inflammatory infiltrate abundant in eosinophils and very mitotically active. PAS staining highlights the plasma membrane.[2]
Treatment
The treatment is dependent on the stage. Advanced tumours are treated with surgery (radical hysterectomy and bilateral salpingo-opherectomy), radiation therapy and chemotherapy.[2]
See also
Additional images
Low mag.
High mag.
References
- ↑ Nasu, K.; Takai, N.; Narahara, H. (Jun 2009). "Multimodal treatment for glassy cell carcinoma of the uterine cervix". Journal of Obstetrics and Gynaecology Research. 35 (3): 584–7. doi:10.1111/j.1447-0756.2008.00968.x. PMID 19527406. S2CID 23501330.
- 1 2 Deshpande, AH.; Kotwal, MN.; Bobhate, SK. (2004). "Glassy cell carcinoma of the uterine cervix a rare histology. Report of three cases with a review of the literature". Indian J Cancer. 41 (2): 92–5. PMID 15318016. Archived from the original on 2018-09-21. Retrieved 2021-10-09.
Further reading
- Greer, Benjamin E.; Koh, Wui-Jin; Abu-Rustum, Nadeem; Bookman, Michael A.; Bristow, Robert E.; Campos, Susana M.; Cho, Kathleen R.; Copeland, Larry; Crispens, Marta Ann; Eifel, Patricia J.; Huh, Warner K.; Jaggernauth, Wainwright; Kapp, Daniel S.; Kavanagh, John J.; Lurain, John R.; Morgan, Mark; Morgan, Robert J.; Powell, C. Bethan; Remmenga, Steven W.; Reynolds, R. Kevin; Secord, Angeles Alvarez; Small, William; Teng, Nelson (1 May 2009). "Uterine Neoplasms". Journal of the National Comprehensive Cancer Network. 7 (5): 498–531. doi:10.6004/jnccn.2009.0035. ISSN 1540-1405. PMID 19460278. Archived from the original on 2 December 2018. Retrieved 19 July 2017.
External links
| Classification | |
|---|---|
| External resources |
|
