Gastric chief cell

Chief cell
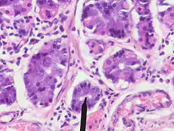
Human chief cells near tip of RED pointer
Details
Part ofStomach
SystemDigestive system
Identifiers
Latinexocrinocytus principalis
MeSHD019872
THH3.04.02.1.00031
FMA62902
Anatomical terminology

A gastric chief cell, peptic cell, or gastric zymogenic cell is a type of gastric gland cell that releases pepsinogen and gastric lipase. It is the cell responsible for secretion of chymosin in ruminant animals and humans.[1] The cell stains basophilic upon H&E staining due to the large proportion of rough endoplasmic reticulum in its cytoplasm. Gastric chief cells are generally located deep in the mucosal layer of the stomach lining, in the fundus and body of the stomach.[2][3]

Chief cells release the zymogen (enzyme precursor) pepsinogen when stimulated by a variety of factors including cholinergic activity from the vagus nerve and acidic condition in the stomach. Gastrin and secretin may also act as secretagogues.[4]

It works in conjunction with the parietal cell, which releases gastric acid, converting the pepsinogen into pepsin.

Nomenclature

The terms chief cell and zymogenic cell are often used without the word "gastric" to name this type of cell. However, those terms can also be used to describe other cell types (for example, parathyroid chief cells). Chief cells are also known as peptic cells.

See also

References

  1. Kitamura N, Tanimoto A, Hondo E, Andrén A, Cottrell DF, Sasaki M, Yamada J (2001). "Immunohistochemical study of the ontogeny of prochymosin--and pepsinogen-producing cells in the abomasum of sheep". Anatomia, Histologia, Embryologia. 30 (4): 231–235. doi:10.1046/j.1439-0264.2001.00326.x. PMID 11534329. S2CID 7552821.
  2. Kelsey E. McHugh, M.D., Thomas P. Plesec, M.D. "Stomach - General - Histology". PathologyOutlines. {{cite web}}: Check |url= value (help)CS1 maint: multiple names: authors list (link) Topic Completed: 28 May 2020. Minor changes: 28 December 2020
  3. pathologyoutlines.com/topic/stomachnormalhistology.html
  4. Johnson, Leonard R. (2001). Gastrointestinal Physiology. ISBN 0323012396.
This article is issued from Wmcloud. The text is licensed under Creative Commons - Attribution - Sharealike. Additional terms may apply for the media files.