Fibroblastic and myofibroblastic tumors
| Fibroblastic and myofibroblastic tumors | |
|---|---|
![]() | |
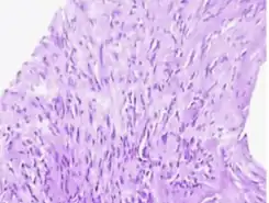
| Pathology revealed a proliferation of plump and spindle fibroblasts, consistent with nodular fasciitis | |
| Specialty | Pathology, Dermatology, General surgery, Oncology, Surgical oncology |
| Types | Benign, locally invasive, rarely metastasizing, malignant |
Fibroblastic and myofibroblastic tumors (FMTs) develop from the mesenchymal stem cells which differentiate into fibroblasts (the most common cell type in connective tissue) and/or the myocytes/myoblasts that differentiate into muscle cells. FMTs are a heterogeneous group of soft tissue neoplasms (i.e. abnormal and excessive tissue growths). The World Health Organization (2020) defined tumors as being FMTs based on their morphology and, more importantly, newly discovered abnormalities in the expression levels of key gene products made by these tumors' neoplastic cells.[1] Histopathologically, FMTs consist of neoplastic connective tissue cells which have differented into cells that have microscopic appearances resembling fibroblasts and/or myofibroblasts. The fibroblastic cells are characterized as spindle-shaped cells with inconspicuous nucleoli that express vimentin, an intracellular protein typically found in mesenchymal cells, and CD34, a cell surface membrane glycoprotein. Myofibroblastic cells are plumper with more abundant cytoplasm and more prominent nucleoli; they express smooth muscle marker proteins such as smooth muscle actins, desmin, and caldesmon.[2] The World Health organization further classified FMTs into four tumor forms based on their varying levels of aggressiveness: benign, intermediate (locally aggressive), intermediate (rarely metastasizing), and malignant.[1]
Forms
Benign FMTs
- Nodular fasciitis[3]
- Proliferative fasciitis and proliferative myositis, originally considered separate entities, are now considered to differ only in the tissues involved.[4]
- Myositis ossificans and fibro-osseous pseudotumor of digits, previously considered separate but similar tumors, are reclassified as being virtually identical neoplastic bone-forming tumors.[3]
- Ischaemic fasciitis, previously termed atypical decubital fibroplasia or decubital ischemic fasciitis, was thought to be a non-neoplastic lesion and to occur only in the deep subcutaneous tissue at pressure points or bone prominences but more recently has been found to be a benign neoplasm that can occur in a wider range of tissue sites.[5][6]
- Elastofibroma, also termed elastofibroma dorsi, were originally considered separate tumors with bone-forming capacity but are now considered as belonging to the same neoplastic spectrum [3]
- Fibrous hamartoma of infancy[7]
- Fibromatosis colli, also termed sternomastoid tumor of infancy, sternocleidomastoid pseudotumors, and congenital torticollis[8]
- Juvenile hyaline fibromatosis, also termed fibromatosis hyalinica multiplex juvenilis and the Murray–Puretic–Drescher syndrome, an autosomal recessive inherited genetic disease.[9]
- Infantile digital fibromatosis, also termed inclusion body fibromatosis[10] or Reye tumor[11]
- Fibroma of tendon sheath[12]
- Desmoplastic fibroblastoma, also termed collagenous fibroma.[13]
- Mammary-type myofibroblastoma[14]
- Myofibrobastoma, also termed myofibroblastoma of soft tissues, is a mammary-type myofibroblastoma that occurs in non-mammary tissues[15] and may be as much as 10-fold more common than the mammary type.[14]
- Calcifying aponeurotic fibroma, also termed aponeurotic fibroma[16]
- EWSR1-SMAD3-positive fibroblastic tumor, also termed EWSR1-SMAD3-rearranged fibroblastic tumor, is classified as an emerging (i.e. recently characterized[17]) entity by the World Health Organization, 2020.[18] It is a benign, small tumor located in the skin of the distal areas of the legs and, less commonly, the arm; it has occurred mostly in females. EWSR1-SMAD3-positive fibroblastic tumor was named based on the finding that its tumor cells express a EWSR1-SMAD3 fusion gene. Since its initial description in 2018, a total of 15 cases have been reported as of 2021.[17][19]
- Angiomyofibroblastoma[20]
- Cellular angiofibroma, an angiofibroma that is a benign, usually small, slow-growing tumor arising in the groin, scrotal or vulva regions.[15]
- Angiofibroma of soft tissue, also termed angiofibroma NOS (NOS indicates Not Otherwise Specified), an angiofibroma that develops in the extremities, particularly around or in the large joints.[21]
- Nuchal fibroma[22]
- Superficial acral fibromyxoma, also termed acral fibromyxoma.[15]
- Gardner fibroma, a benign proliferation of thick, irregularly arranged collagen bundles with interspersed fibroblasts often association with the genetic disease of familial adenomatous polyposis[23] and its variant, the Gardner's syndrome.[24]
Intermediate (locally aggressive) FMTs
- Palmer/plantar-type fibromatosis, also known as plantar fibroma and Ledderhose disease.[25]
- Desmoid-type fibromatosis, also termed desmoid tumor and aggressive fibromatosis[26]
- Lipofibromatosis, a mixture of lipofibromatosis tumors with different gene abnormalities;[27] these tumors differ from lipofibromatosis-like neural tumors which have not been classified as fibroblastic and myofibroblastic tumors.
- Giant cell fibroblastoma[28]
- Dermatofibrosarcoma protuberans[29]
- Fibrous hamartoma of infancy[7]
Intermediate (rarely metastasizing) FMTs
- Dermatofibrosarcoma protuberans, fibrosarcomatous, also termed fibrosarcomatous dermatofibrosarcoma protuberans (or fibrosarcomatous DFSP), is a more aggressive tumor than dermatofibrosarcoma protuberans tumors).[29]
- Solitary fibrous tumour, also fibrous termed tumor of the pleura.[30]
- Inflammatory myofibroblastic tumour[31]
- Low-grade myofibroblastic sarcoma[32]
- Superficial CD34-positive fibroblastic tumour[33]
- Myxoinflammatory fibroblastic sarcoma,[34] also termed acral myxoinflammatory fibroblastic sarcoma because it was initially thought to be limited to acral (i.e. leg and arm) areas.[35]
- Infantile fibrosarcoma, also termed congenital infantile fibrosarcoma and fibrosarcoma, infantile type.[36]
Malignant FMTs
- Solitary fibrous tumor, malignant type, a malignant form of the solitary fibrous tumors[37]
- Fibrosarcoma NOS, i.e. fibrosarcoma, not otherwise specified, or, alternatively, adult fibrosarcoma to distinguish it from rarely metastasizing infantile fibrosarcoma.[36][38]
- Myxofibrosarcoma, once classified as a histiocyte-derived histiocytoma now reclassified as a fibroblastic/myofibroblastic tumor.[39]
- Low-grade fibromyxoid sarcoma[32]
- Sclerosing epithelioid fibrosarcoma[36][40]
See also
References
- 1 2 Sbaraglia M, Bellan E, Dei Tos AP (April 2021). "The 2020 WHO Classification of Soft Tissue Tumours: news and perspectives". Pathologica. 113 (2): 70–84. doi:10.32074/1591-951X-213. PMC 8167394. PMID 33179614.
- ↑ Slack JC, Bründler MA, Nohr E, McIntyre JB, Kurek KC (May 2021). "Molecular Alterations in Pediatric Fibroblastic/Myofibroblastic Tumors: An Appraisal of a Next Generation Sequencing Assay in a Retrospective Single Centre Study". Pediatric and Developmental Pathology. 24 (5): 405–421. doi:10.1177/10935266211015558. PMID 33970051. S2CID 234348021.
- 1 2 3 Nakayama S, Nishio J, Aoki M, Koga K, Nabeshima K, Yamamoto T (2021). "Ubiquitin-specific Peptidase 6 (USP6)-associated Fibroblastic/Myofibroblastic Tumors: Evolving Concepts". Cancer Genomics & Proteomics. 18 (2): 93–101. doi:10.21873/cgp.20244. PMC 7943209. PMID 33608306.
- ↑ Makise N, Mori T, Motoi T, Shibahara J, Ushiku T, Yoshida A (May 2021). "Recurrent FOS rearrangement in proliferative fasciitis/proliferative myositis". Modern Pathology. 34 (5): 942–950. doi:10.1038/s41379-020-00725-2. PMID 33318581. S2CID 228627775.
- ↑ Kuyumcu G, Zhang Y, Ilaslan H (December 2019). "Case 272: Decubital Ischemic Fasciitis". Radiology. 293 (3): 721–724. doi:10.1148/radiol.2019171255. PMID 31751192.
- ↑ Fukunaga M (September 2001). "Atypical decubital fibroplasia with unusual histology". APMIS. 109 (9): 631–5. doi:10.1034/j.1600-0463.2001.d01-185.x. PMID 11878717. S2CID 29499215.
- 1 2 Martos-Cabrera L, Sampedro-Ruiz R, Pérez-González YC, Mentzel T, Llamas-Velasco M (June 2021). "Fibrous Hamartoma of Infancy: A Series of 21 Cases and Review of the Literature". Actas Dermo-sifiliograficas. 112 (6): 520–527. doi:10.1016/j.adengl.2021.03.010. PMID 34088477.
- ↑ Durnford L, Patel MS, Khamar R, Khurram R (April 2021). "Bilateral sternocleidomastoid pseudotumors-a case report and literature review". Radiology Case Reports. 16 (4): 964–967. doi:10.1016/j.radcr.2021.02.001. PMC 7897923. PMID 33664922.
- ↑ Braizat O, Badran S, Hammouda A (October 2020). "Juvenile Hyaline Fibromatosis: Literature Review and a Case Treated With Surgical Excision and Corticosteroid". Cureus. 12 (10): e10823. doi:10.7759/cureus.10823. PMC 7645300. PMID 33173631.
- ↑ Agnihotri MA, Sathe PA (2021). "Inclusion body fibromatosis - A report of four cases and review of literature". Journal of Postgraduate Medicine. 67 (1): 24–26. doi:10.4103/jpgm.JPGM_774_20. PMC 8098864. PMID 33565473.
- ↑ Adegoke OO, Ajao AE, Ano-Edward GH (December 2020). "Congenital infantile digital fibromatosis: a case report and review of the literature". African Health Sciences. 20 (4): 1865–1869. doi:10.4314/ahs.v20i4.42. PMC 8351811. PMID 34394250.
- ↑ Pižem J, Matjašič A, Zupan A, Luzar B, Šekoranja D, Dimnik K (June 2021). "Fibroma of tendon sheath is defined by a USP6 gene fusion-morphologic and molecular reappraisal of the entity". Modern Pathology. 34 (10): 1876–1888. doi:10.1038/s41379-021-00836-4. PMID 34088995. S2CID 235327044.
- ↑ Nakayama S, Nishio J, Aoki M, Nabeshima K, Yamamoto T (2021). "An Update on Clinicopathological, Imaging and Genetic Features of Desmoplastic Fibroblastoma (Collagenous Fibroma)". In Vivo (Athens, Greece). 35 (1): 69–73. doi:10.21873/invivo.12233. ISSN 0258-851X. PMC 7880796. PMID 33402451.
- 1 2 Howitt BE, Fletcher CD (March 2016). "Mammary-type Myofibroblastoma: Clinicopathologic Characterization in a Series of 143 Cases". The American Journal of Surgical Pathology. 40 (3): 361–7. doi:10.1097/PAS.0000000000000540. PMID 26523539. S2CID 45911598.
- 1 2 3 Libbrecht S, Van Dorpe J, Creytens D (March 2021). "The Rapidly Expanding Group of RB1-Deleted Soft Tissue Tumors: An Updated Review". Diagnostics (Basel, Switzerland). 11 (3): 430. doi:10.3390/diagnostics11030430. PMC 8000249. PMID 33802620.
- ↑ John I, Fritchie KJ (January 2020). "What is new in pericytomatous, myoid, and myofibroblastic tumors?". Virchows Archiv. 476 (1): 57–64. doi:10.1007/s00428-019-02700-y. PMID 31705190. S2CID 207941071.
- 1 2 Foot O, Hallin M, Jones RL, Sumathi VP, Thway K (April 2021). "EWSR1-SMAD3-Positive Fibroblastic Tumor". International Journal of Surgical Pathology. 29 (2): 179–181. doi:10.1177/1066896920938124. PMID 32615834. S2CID 220326585.
- ↑ Dermawan JK, Ko JS, Billings SD (June 2021). "Update on Cutaneous Soft Tissue Tumors". Surgical Pathology Clinics. 14 (2): 195–207. doi:10.1016/j.path.2021.03.002. PMID 34023100. S2CID 235169042.
- ↑ Habeeb O, Korty KE, Azzato EM, Astbury C, Farkas DH, Ko JS, Billings SD (February 2021). "EWSR1-SMAD3 rearranged fibroblastic tumor: Case series and review". Journal of Cutaneous Pathology. 48 (2): 255–262. doi:10.1111/cup.13870. PMID 32901982. S2CID 221572166.
- ↑ Chapel DB, Cipriani NA, Bennett JA (January 2021). "Mesenchymal lesions of the vulva". Seminars in Diagnostic Pathology. 38 (1): 85–98. doi:10.1053/j.semdp.2020.09.003. PMID 32958293. S2CID 221842800.
- ↑ Purkait S, Mitra S, Adhya AK, Sethy M, Mishra TS (July 2021). "Cytology of angiofibroma of soft tissue of the inguinal region". Cytopathology. doi:10.1111/cyt.13039. PMID 34273199. S2CID 236034719.
- ↑ Kostakis ID, Feretis T, Damaskos C, Garmpis N, Liapis G, Pateras I, Garmpi A, Georgakopoulou VE, Antoniou EA (2020). "Nuchal-type Fibroma: Single-Center Experience and Systematic Literature Review". In Vivo (Athens, Greece). 34 (5): 2217–2223. doi:10.21873/invivo.12032. PMC 7652458. PMID 32871744.
- ↑ Baranov E, Hornick JL (March 2020). "Soft Tissue Special Issue: Fibroblastic and Myofibroblastic Neoplasms of the Head and Neck". Head and Neck Pathology. 14 (1): 43–58. doi:10.1007/s12105-019-01104-3. PMC 7021862. PMID 31950474.
- ↑ Coffin CM, Hornick JL, Zhou H, Fletcher CD (March 2007). "Gardner fibroma: a clinicopathologic and immunohistochemical analysis of 45 patients with 57 fibromas". The American Journal of Surgical Pathology. 31 (3): 410–6. doi:10.1097/01.pas.0000213348.65014.0a. PMID 17325483. S2CID 25831659.
- ↑ Stewart BD, Nascimento AF (July 2021). "Palmar and plantar fibromatosis: a review". Journal of Pathology and Translational Medicine. 55 (4): 265–270. doi:10.4132/jptm.2021.06.14. PMC 8353138. PMID 34225446.
- ↑ Burney IA, Kakaria AK, Al-Jahdhami S (May 2021). "Complete Response to Sorafenib in Locally Recurrent Unresectable Aggressive Fibromatosis". Sultan Qaboos University Medical Journal. 21 (2): e327–e328. doi:10.18295/squmj.2021.21.02.027. PMC 8219336. PMID 34221486.
- ↑ Malik F, Santiago T, Newman S, McCarville B, Pappo AS, Clay MR (June 2020). "An addition to the evolving spectrum of lipofibromatosis and lipofibromatosis-like neural tumor: Molecular findings in an unusual phenotype aid in accurate classification". Pathology, Research and Practice. 216 (6): 152942. doi:10.1016/j.prp.2020.152942. PMID 32299759. S2CID 215803522.
- ↑ "Giant cell fibroblastoma". Archived from the original on 2022-01-19. Retrieved 2022-01-10..
- 1 2 Xiong JX, Cai T, Hu L, Chen XL, Huang K, Chen AJ, Wang P (July 2021). "Risk factors related to postoperative recurrence of dermatofibrosarcoma protuberans: A retrospective study and literature review". World Journal of Clinical Cases. 9 (20): 5442–5452. doi:10.12998/wjcc.v9.i20.5442. ISSN 2307-8960. PMC 8281415. PMID 34307598.
- ↑ Zhang J, Liu J, Zhang Z, Tian B (2021). "Solitary Fibrous Tumors of the Chest: An Analysis of Fifty Patients". Frontiers in Oncology. 11: 697156. doi:10.3389/fonc.2021.697156. PMC 8280784. PMID 34277442.
- ↑ Casanova M, Brennan B, Alaggio R, Kelsey A, Orbach D, van Noesel MM, Corradini N, Minard-Colin V, Zanetti I, Bisogno G, Gallego S, Merks JH, De Salvo GL, Ferrari A (March 2020). "Inflammatory myofibroblastic tumor: The experience of the European pediatric Soft Tissue Sarcoma Study Group (EpSSG)". European Journal of Cancer. 127: 123–129. doi:10.1016/j.ejca.2019.12.021. PMID 32007712. S2CID 211012731.
- 1 2 Mohamed M, Fisher C, Thway K (June 2017). "Low-grade fibromyxoid sarcoma: Clinical, morphologic and genetic features". Annals of Diagnostic Pathology. 28: 60–67. doi:10.1016/j.anndiagpath.2017.04.001. PMID 28648941.
- ↑ Lin TL, Yang CS, Juan CK, Weng YC, Chen YJ (January 2020). "Superficial CD34-Positive Fibroblastic Tumor: A Case Report and Review of the Literature". The American Journal of Dermatopathology. 42 (1): 68–71. doi:10.1097/DAD.0000000000001355. PMID 30702454.
- ↑ Wangsiricharoen S, Ali SZ, Wakely PE (2021). "Cytopathology of myxoinflammatory fibroblastic sarcoma: a series of eight cases and review of the literature". Journal of the American Society of Cytopathology. 10 (3): 310–320. doi:10.1016/j.jasc.2020.12.004. PMID 33431307. S2CID 231585966.
- ↑ Tivoli YA, Thomas JA, Chen AF, Weiss ET (November 2013). "Acral myxoinflammatory fibroblastic sarcoma successfully treated using Mohs micrographic surgery". Dermatologic Surgery. 39 (11): 1709–11. doi:10.1111/dsu.12308. PMID 24118192. S2CID 39916092.
- 1 2 3 Martínez-Trufero J, Cruz Jurado J, Gómez-Mateo MC, Bernabeu D, Floría LJ, Lavernia J, Sebio A, García Del Muro X, Álvarez R, Correa R, Hernández-León CN, Marquina G, Hindi N, Redondo A, Martínez V, Asencio JM, Mata C, Valverde Morales CM, Martin-Broto J (July 2021). "Uncommon and peculiar soft tissue sarcomas: Multidisciplinary review and practical recommendations for diagnosis and treatment. Spanish group for Sarcoma research (GEIS - GROUP). Part I". Cancer Treatment Reviews. 99: 102259. doi:10.1016/j.ctrv.2021.102259. ISSN 0305-7372. PMID 34311246.
- ↑ Martin-Broto J, Mondaza-Hernandez JL, Moura DS, Hindi N (June 2021). "A Comprehensive Review on Solitary Fibrous Tumor: New Insights for New Horizons". Cancers. 13 (12): 2913. doi:10.3390/cancers13122913. PMC 8230482. PMID 34200924.
- ↑ Hansen T, Katenkamp K, Brodhun M, Katenkamp D (August 2006). "Low-grade fibrosarcoma--report on 39 not otherwise specified cases and comparison with defined low-grade fibrosarcoma types". Histopathology. 49 (2): 152–60. doi:10.1111/j.1365-2559.2006.02480.x. PMID 16879392. S2CID 39305599.
- ↑ Clarke LE (October 2012). "Fibrous and fibrohistiocytic neoplasms: an update". Dermatologic Clinics. 30 (4): 643–56, vi. doi:10.1016/j.det.2012.06.005. PMID 23021051.
- ↑ Murshed KA, Al-Bozom I, Ammar A (August 2021). "Sclerosing epithelioid fibrosarcoma: in-depth review of a genetically heterogeneous tumor". APMIS. 129 (8): 455–460. doi:10.1111/apm.13157. PMID 34048081.
.png.webp)