Empty sella syndrome
| Empty sella syndrome | |
|---|---|
| Other names: Pituitary - empty sella syndrome[1] | |
![]() | |
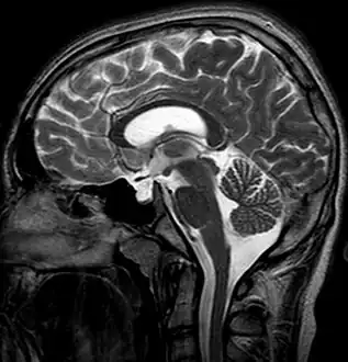
| MRI of Empty Sella | |
| Symptoms | Cryptorchidism |
| Causes | Arachnoid presses down on gland (another possibility is a Tumor, Radiation therapy)[1] |
| Diagnostic method | MRI, CT scan[1] |
| Medication | Manage abnormal hormone levels[1] |
Empty sella syndrome is the condition when the pituitary gland shrinks or becomes flattened, filling the sella turcica with cerebrospinal fluid instead of the normal pituitary.[2] It can be discovered as part of the diagnostic workup of pituitary disorders, or as an incidental finding when imaging the brain.[1]
Signs and symptoms

If there are symptoms, people with empty sella syndrome can have headaches and vision loss. Additional symptoms would be associated with hypopituitarism.[3][4] Additional symptoms are as follows:
- Abnormality of the middle ear ossicles
- Cryptorchidism
- Dolichocephaly
- Arnold-Chiari type I malformation
- Meningocele
- Patent ductus arteriosus
- Muscular hypotonia
- Platybasia
Cause
The cause of this condition is divided into primary and secondary, as follows:
- The cause of this condition in terms of secondary empty sella syndrome happens when a tumor or surgery damages the gland, this is an acquired manner of the condition.[1]
- ~70% of patients with idiopathic intracranial hypertension will have empty sella on MRI
- The cause of primary empty sella syndrome is a congenital defect (diaphragma sellae)[5]
Mechanism
The normal mechanism of the pituitary gland sees that it controls the hormonal system, which therefore has an effect on growth, sexual development, and adrenocortical function. The gland is divided into anterior and posterior.[6]
Its pathophysiology is such that individuals affected with the condition can have cerebrospinal fluid build-up, which in turn causes intracranial pressure leading to headaches for the individual.[7]
Diagnosis
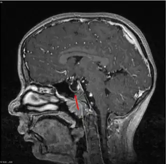
Empty sella- MRI Scan of the brain, sagittal T2-weighted
Empty sella in MRI
The diagnosis of empty sella syndrome, done via examination (and test), may be linked to early onset of puberty, growth hormone deficiency, or pituitary gland dysfunction (at an early age).[2] Additionally there is:
Classification
There are two types of empty sella syndrome: primary and secondary.
- Primary empty sella syndrome occurs when a small anatomical defect above the pituitary gland increases pressure in the sella turcica and causes the gland to flatten out along the interior walls of the sella turcica cavity.[3] Primary empty sella syndrome is associated with obesity and increase in intracranial pressure in women.[8] In most cases, especially in people with primary empty sella syndrome, there are no symptoms and it does not affect life expectancy or health. Some researchers have estimated that less than 1% of affected people ever develop symptoms of the condition.[3]
- Secondary empty sella syndrome is the result of the pituitary gland regressing within the cavity after an injury, surgery, or radiation therapy.[3] Individuals with secondary empty sella syndrome due to destruction of the pituitary gland have symptoms that reflect the loss of pituitary functions, such as intolerance to stress and infection.
Differential diagnosis
The major differential to consider in empty sella syndrome is intracranial hypertension, of both unknown and secondary causes, and an epidermoid cyst, which can mimic cerebrospinal fluid due to its low density on CT scans, although MRI can usually distinguish the latter diagnosis.[9]
Treatment
In terms of management, unless the syndrome results in other medical problems, treatment for endocrine dysfunction associated with pituitary malfunction is symptomatic and thus supportive; however, surgery may be needed in some cases.[2]
References
- 1 2 3 4 5 6 MedlinePlus Encyclopedia: Empty sella syndrome
- 1 2 3 "Empty Sella Syndrome Information Page". www.ninds.nih.gov. National Institute of Neurological Disorders and Stroke. Archived from the original on 2017-03-05. Retrieved 2017-03-05.
- 1 2 3 4 "Empty sella syndrome". Genetic and Rare Diseases Information Center. Archived from the original on 2021-11-19. Retrieved 2022-01-30.
- ↑ Goldman, Lee; Schafer, Andrew I. (2012). Goldman's Cecil Medicine (24 ed.). Elsevier Health Sciences. p. 1256. ISBN 978-1437716047. Archived from the original on 19 November 2021. Retrieved 8 March 2017.
- 1 2 3 Disorders, National Organization for Rare (2003). NORD Guide to Rare Disorders. Lippincott Williams & Wilkins. p. 530. ISBN 9780781730631. Archived from the original on 19 November 2021. Retrieved 11 March 2017.
- ↑ How does the pituitary gland work?. InformedHealth.org. Institute for Quality and Efficiency in Health Care. 19 April 2018. Archived from the original on 20 January 2022. Retrieved 30 January 2022.
- ↑ Horton, Arthur MacNeill (2012-01-01). The Encyclopedia of Neuropsychological Disorders. Springer Publishing Company. p. 282. ISBN 9780826198549. Archived from the original on 2022-07-02. Retrieved 2022-01-30.
- ↑ Fouad, Wael (1 June 2011). "Review of empty sella syndrome and its surgical management". Alexandria Journal of Medicine. 47 (2): 139–147. doi:10.1016/j.ajme.2011.06.005.
- ↑ González-Tortosa, J. (2009). "Silla turca vacía primaria: clínica, fisiopatología y tratamiento" [Primary empty sella: symptoms, physiopathology, diagnosis and treatment]. Neurocirugía (in español). 20 (2): 132–151. doi:10.1016/s1130-1473(09)70180-0. PMID 19448958. Archived from the original on 2021-07-27. Retrieved 2022-01-30.
Further reading
- Disorders, National Organization for Rare (2003). NORD Guide to Rare Disorders. Lippincott Williams & Wilkins. ISBN 9780781730631. Archived from the original on 2 July 2022. Retrieved 8 March 2017.
- Becker, Kenneth L. (2001-01-01). Principles and Practice of Endocrinology and Metabolism. Lippincott Williams & Wilkins. ISBN 9780781717502. Archived from the original on 2022-07-02. Retrieved 2022-01-30.
External links
| Classification | |
|---|---|
| External resources |
|

