Dermatoses of pregnancy
| Dermatoses of pregnancy | |
|---|---|
| Other names: Skin conditions in pregnancy, skin diseases of pregnancy | |
![]() | |
| Onset of skin diseases of pregnancy[1] | |
| Specialty | Dermatology, obstetrics |
Dermatoses of pregnancy are the inflammatory skin diseases that begin during pregnancy or shortly after childbirth.[2]
Atopic eruption of pregnancy is a group of inflammatory skin conditions in pregnancy, which includes prurigo of pregnancy, pruritic folliculitis of pregnancy, and eczema in pregnancy.[3][4] It covers those with flare-ups of pre-existing skin conditions and those presenting with skin signs for the first time in pregnancy.[1]
Specific to pregnancy
| Condition | Image | Onset in pregnancy | Signs and symptoms | Treatment | Frequency | Outcome | |
|---|---|---|---|---|---|---|---|
| Atopic eruption of pregnancy | Eczema in pregnancy | ![]() | First half of pregnancy[5] | Moisturizers, steroid creams, and antihistamines.[1] | Common[5] | Does not affect baby.[1] Often recurs[3] | |
| Prurigo of pregnancy | ![]() | Worse in early pregnancy[6] | Itchy skin.[6] Skin appears normal in 15%-20%[6] | Steroid cream, antihistamines, benzoyl peroxide, UVB light[7][8][9] | 1 in 300 pregnancies[3] | Does not affect baby.[3] Resolves by three months after pregnancy; may reoccur.[9] | |
| Pruritic folliculitis of pregnancy | ![]() | Mid-to late pregnancy[8] | Small follicular pustules scattered widely over the trunk.[8] | Resolves by 3 weeks after delivery.[8] | |||
| Polymorphic eruption of pregnancy | ![]() | Late pregnancy to shortly after birth[8] | Itchy red rash starting in stretch marks of the abdomen.[6] | Moisturisers, steroid creams, antihistamines[1] | 1:120–1:300 pregnancies[1] | Does not affect baby.[6] Resolves after delivery and rarely recurs.[6] | |
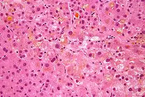
| Intrahepatic cholestasis of pregnancy | ![]() | Late[10] | Generalized itching resulting in scratch marks, erosions and scabs[10] | Ursodeoxycholic acid[10] | 0.3–5.6% of pregnancies[1] | May harm baby.[10] Resolves 2 weeks after delivery.[3] | |
| Pemphigoid gestationis | ![]() | Mid pregnancy to shortly after birth[8] | Blisters, itch, hives[8] | Corticosteroids[8] | 1 in 20,000 to 50,000 pregnancies.[8] | May harm baby.[11] Lasts 6 months and may reoccur.[8] | |
Other
Skin conditions that may complicate pregnancy; though occur in other situations.[4][12]
| Condition | Image | Onset in pregnancy | Signs and symptoms | Treatment | Frequency | Outcome |
|---|---|---|---|---|---|---|
| Pustular psoriasis of pregnancy[13] | ![]() | Late[10] | Fever, generalised redness, pustules[10] | May harm baby[10] | ||
| Acne in pregnancy | ![]() |
|||||
| Linea nigra | ![]() |
First 3 months[14] | 1 cm (0.4 in) wide, brownish to blackish line, from the pubis to the belly button[15] | None[15] | >90%[15] | Generally resolves within a year[16] |
See also
References
- 1 2 3 4 5 6 7 Stefaniak, Aleksandra A.; Pereira, Manuel P.; Zeidler, Claudia; Ständer, Sonja (March 2022). "Pruritus in Pregnancy". American Journal of Clinical Dermatology. 23 (2): 231–246. doi:10.1007/s40257-021-00668-7. ISSN 1179-1888. PMID 35191007. Archived from the original on 2022-08-19. Retrieved 2023-05-16.
- ↑ Himeles, Jaclyn Rosenthal; Pomeranz, Miriam Keltz (1 October 2022). "Recognizing, Diagnosing, and Managing Pregnancy Dermatoses". Obstetrics and Gynecology. 140 (4): 679–695. doi:10.1097/AOG.0000000000004938. ISSN 1873-233X. PMID 36075066. Archived from the original on 30 June 2023. Retrieved 15 May 2023.
- 1 2 3 4 5 Roth, MM (1 February 2011). "Pregnancy dermatoses: diagnosis, management, and controversies". American journal of clinical dermatology. 12 (1): 25–41. doi:10.2165/11532010-000000000-00000. PMID 21110524.
- 1 2 "Skin problems in pregnancy | DermNet". dermnetnz.org. Archived from the original on 26 September 2023. Retrieved 26 December 2023.
- 1 2 Sachdeva, S (2008). "The dermatoses of pregnancy". Indian journal of dermatology. 53 (3): 103–5. doi:10.4103/0019-5154.43203. PMID 19882004.
- 1 2 3 4 5 6 Morris-Jones, Rachel (2019). "10. The skin and systemic disease". In Morris-Jones, Rachael (ed.). ABC of Dermatology (7th ed.). Hoboken: Wiley Blackwell. p. 84. ISBN 978-1-119-48899-6. Archived from the original on 2023-06-30. Retrieved 2023-05-16.
- ↑ Horn TD (2003). Dermatology. Elsevier Health Sciences. pp. 454–. ISBN 978-0-323-02578-2. Archived from the original on 24 March 2022. Retrieved 9 May 2010.
- 1 2 3 4 5 6 7 8 9 10 James, William D.; Elston, Dirk; Treat, James R.; Rosenbach, Misha A.; Neuhaus, Isaac (2020). "21. Chronic blistering dermatoses". Andrews' Diseases of the Skin: Clinical Dermatology (13th ed.). Edinburgh: Elsevier. pp. 464–466. ISBN 978-0-323-54753-6. Archived from the original on 2023-06-30. Retrieved 2023-05-15.
- 1 2 Ingber A, Lebwohl M (18 December 2008). Obstetric Dermatology: A Practical Guide. Springer. pp. 151–. ISBN 978-3-540-88398-2. Archived from the original on 24 March 2022. Retrieved 9 May 2010.
- 1 2 3 4 5 6 7 Kurien, George; Badri, Talel (2023). "Dermatoses of Pregnancy". StatPearls. StatPearls Publishing. Archived from the original on 2023-06-30. Retrieved 2023-05-16.
- ↑ "Pemphigoid (herpes) gestationis". www.BAD.org.uk. British Association of Dermatologists. November 2020. Archived from the original on 2 February 2020. Retrieved 21 March 2022.
- ↑ Buckley, David (2021). "25. Skin diseases in pregnancy". In Buckley, David; Pasquali, Paola (eds.). Textbook of Primary Care Dermatology. Switzerland: Springer. pp. 191–200. ISBN 978-3-030-29100-6. Archived from the original on 2023-12-19. Retrieved 2023-12-17.
- ↑ Trivedi, Megha K; Vaughn, Alexandra R; Murase, Jenny E (26 February 2018). "Pustular psoriasis of pregnancy: current perspectives". International Journal of Women's Health. 10: 109–115. doi:10.2147/IJWH.S125784. ISSN 1179-1411. PMID 29520163. Archived from the original on 26 July 2022. Retrieved 17 December 2023.
- ↑ Perry, Shannon E.; Hockenberry, Marilyn J.; Lowdermilk, Deitra Leonard; Wilson, David; Alden, Kathryn Rhodes; Cashion, Kitty (9 September 2017). Maternal Child Nursing Care - E-Book. Elsevier Health Sciences. p. 162. ISBN 978-0-323-47921-9. Archived from the original on 14 January 2024. Retrieved 11 January 2024.
- 1 2 3 "Linea nigra". dermnetnz.org. DermNet. Archived from the original on 14 January 2024. Retrieved 11 January 2024.
- ↑ Bobonich, Margaret; Nolen, Mary; Honaker, Jeremy; DiRuggiero, Douglas (14 May 2021). Dermatology for Advanced Practice Clinicians: A Practical Approach to Diagnosis and Management. Lippincott Williams & Wilkins. p. PT1412. ISBN 978-1-9751-4837-9. Archived from the original on 14 January 2024. Retrieved 11 January 2024.
External links
| Classification |
|---|
This article is issued from Wmcloud. The text is licensed under Creative Commons - Attribution - Sharealike. Additional terms may apply for the media files.






.jpg.webp)

.jpg.webp)
