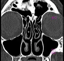
Concha bullosa

Concha bullosa on both sides (marked with asterisks), coronal orientated image from CT

A concha bullosa is a pneumatized (air-filled) cavity within a nasal concha, also known as a turbinate.[1]

Bullosa refers to the air-filled cavity within the turbinate.[1] It is a normal anatomic variant seen in up to half the population. Occasionally, a large concha bullosa may cause it to bulge sufficiently to obstruct the opening of an adjacent sinus, possibly leading to recurrent sinusitis[1] and various head pains related to areas innervated by the trigeminal nerve.[2] In such a case the turbinate can be reduced in size by endoscopic nasal surgery (turbinectomy). The presence of a concha bullosa is often associated with deviation of the nasal septum toward the opposite side of the nasal cavity.[3]

One review of the septal surgery shows that significant relief of pain occurs in 65%-85% of surgeries. Screening of patients can cover presence of headache and facial pain and disability.[2]

Some experts call pain associated with enlarged concha bullosa "rhinogenic contact point headache."[4] In a review article of fifteen other journal articles of surgeries, significant improvements occurred after surgical treatment with a reduction from 88 (73%) to 6 (5%) patients for GRADE 3–4 MIDAS scores,[5] and a corresponding increase in milder symptoms from GRADE 1–2 in 32 (27%) patients at 91 (76%) (p < 0.001).

Images

References

  1. 1 2 3 Hatipoğlu, HG; Cetin, MA; Yüksel, E (Sep 2005). "Concha bullosa types: their relationship with sinusitis, ostiomeatal and frontal recess disease" (PDF). Diagnostic and Interventional Radiology. 11 (3): 145–9. PMID 16206055. Archived (PDF) from the original on 2018-11-16. Retrieved 2021-11-03.
  2. 1 2 Cantone, E (Jul 2015). "Concha bullosa related headache disability". European Review for Medical and Pharmacologic Sciences. 19: 2327–2330. Archived from the original on 2021-11-28. Retrieved 2021-11-03 via PMID: 26214765.
  3. Stallman, JS; Lobo, JN; Som, PM (Oct 2004). "The incidence of concha bullosa and its relationship to nasal septal deviation and paranasal sinus disease". American Journal of Neuroradiology. 25 (9): 1613–8. PMID 15502150.
  4. ePainAssist, Team (November 6, 2015). "Contact Point Headache|Causes|Symptoms|Signs|Treatment|Diagnosis". Archived from the original on October 3, 2021. Retrieved November 3, 2021.
  5. "MIDAS (Migraine Disability Assessment) | QxMD". Calculate by QxMD. Archived from the original on 2021-04-17. Retrieved 2021-11-03.
This article is issued from Wmcloud. The text is licensed under Creative Commons - Attribution - Sharealike. Additional terms may apply for the media files.