Chondrodysplasia punctata
| Chondrodysplasia punctata | |
|---|---|
![]() | |
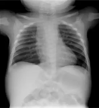
| Infant male with the brachytelephalangic type of chondrodysplasia punctata | |
Chondrodysplasia punctata is a clinically and genetically diverse group of rare diseases, first described by Erich Conradi (1882–1968), that share the features of stippled epiphyses and skeletal changes.[1]: 500 [2]: 549
Types
- Rhizomelic chondrodysplasia punctata 215100, 222765, 600121
- X-linked recessive chondrodysplasia punctata 302950
- Conradi–Hünermann syndrome (chondrodysplasia punctata 2, x-linked dominant) 302960
- Autosomal dominant chondrodysplasia punctata 118650
See also
References
External links
| Classification |
|---|
This article is issued from Wmcloud. The text is licensed under Creative Commons - Attribution - Sharealike. Additional terms may apply for the media files.
