Capillary leak syndrome

Capillary leak syndrome
Other names: SCLS, Clarkson's Disease, Capillary hyperpermeability syndrome
SpecialtyHematology
Symptomshemoconcentration, hypotension, hypoalbuminemia, edema, compartment syndromes
Differential diagnosispolycythemia, polycythemia vera, hyperviscosity syndrome, sepsis
TreatmentIVIG, theophylline, terbutaline, montelukast

Capillary leak syndrome is characterized by the escape of blood plasma through capillary walls, from the blood circulatory system to surrounding tissues, muscle compartments, organs or body cavities. It is a phenomenon most commonly witnessed in sepsis, and less frequently in autoimmune diseases, differentiation syndrome, engraftment syndrome Archived 2021-04-11 at the Wayback Machine, hemophagocytic lymphohistiocytosis, the ovarian hyperstimulation syndrome, viral hemorrhagic fevers, and snakebite and ricin poisoning.[1] Pharmaceuticals, including the chemotherapy medications gemcitabine and tagraxofusp, as well as certain interleukins and monoclonal antibodies, can also cause capillary leaks.[1] These conditions and factors are sources of secondary capillary leak syndrome.

Systemic capillary leak syndrome (SCLS), also called Clarkson's disease, or primary capillary leak syndrome, is a rare, grave and episodic medical condition observed largely in otherwise healthy individuals mostly in middle age.[2] It is characterized by self-reversing episodes during which the endothelial cells which line the capillaries, usually of the extremities, separate for one to three days, causing a leakage of plasma mainly into the muscle compartments of the arms and legs. The abdomen, the central nervous system, and the organs (including the lungs) are typically spared, but the extravasation in the extremities is sufficiently massive to cause circulatory shock and compartment syndromes, with a dangerous hypotension (low blood pressure), hemoconcentration (thickening of the blood) and hypoalbuminemia (drop in albumin, a major protein) in the absence of other causes for such abnormalities.[2][3] SCLS is thus a limb- and life-threatening illness, because each episode has the potential to cause damage to limb muscles and nerves, as well as to vital organs due to limited perfusion.[2][3] It is often misdiagnosed as polycythemia, polycythemia vera, hyperviscosity syndrome, or sepsis.[2]

Symptoms and signs

Most SCLS patients report having flu-like symptoms (like a runny nose), or else gastro-intestinal disorders (diarrhea or vomiting), or a general weakness or pain in their limbs, but others get no particular or consistent warning signs ahead of their episodes. They subsequently develop thirst and lightheadedness and the following conditions measurable in a hospital emergency-room setting: [2][3][4]

  • hemoconcentration (elevated hematocrit or hemoglobin readings, with hematocrit levels >49% in men and >43% in women, not because of an absolute increase in them but because of the leak of plasma);
  • very low blood pressure (profound arterial hypotension, with systolic blood pressure levels <90 mm Hg);
  • albumin deficiency (hypoalbuminemia measuring <3.0 g/dL);
  • partial or generalized edema, and cold extremities;
  • a paraprotein in the blood (an MGUS in approximately 80% of cases).

Cause

Although the precise molecular cause of SCLS remains undetermined, scientific research in recent years, conducted mainly at a unit (NIAID) of the U.S. National Institutes of Health, has shed some light on its biological and chemical roots. The study of the peripheral microvasculature from patients’ biopsy specimens has not evidenced gross anomalies, disrupted angiogenesis, or inflammatory cells or other factors suggestive of a disorder prone to damage the blood vessels by inflammation.[3] The absence of structural abnormalities is thus consistent with the hypothesis of some kind of defective but curiously reversible cellular phenomenon in the capillaries.[5]

Studies suggest that the presence of various inflammatory factors during episodes of SCLS may explain the temporarily abnormal permeability of the endothelial cells lining the inner surface of the capillaries. These include transient spikes in monocyte- and macrophage-associated inflammatory mediators[3] and temporary increases in the proteins vascular endothelial growth factors (VEGF) and angiopoietin-2.[5] The impairment of endothelial cells in laboratory conditions provoked by serum taken from patients who were having episodes of SCLS is also suggestive of biochemical factors at work.[5][6]

There is no evidence that SCLS is hereditary, and the role of specific gene defects in patients with SCLS, which might program their endothelial cells for an overreaction to external stimuli, has not been established.[3] The significance, if any, of the paraprotein (MGUS) present in most patients with SCLS is unknown, other than it has been a precursor to multiple myeloma in a minority (7% in the largest reported cohort) of SCLS patients.[3][7]

Diagnosis

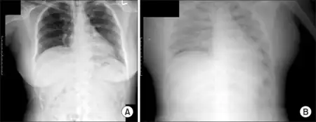
a) Normal chest x-ray b) capillary leak syndrome chest x-ray

SCLS is often difficult to recognize and diagnose on initial presentation, and thus misdiagnoses are frequent. The characteristic triad of profound arterial hypotension, hemoconcentration (elevated hematocrit, leukocytosis, and thrombocytosis), and hypoalbuminemia in the absence of secondary causes of shock and infection, requires diagnosis in a monitored, hospital setting during or after an acute episode. The fact that the condition is exceedingly rare – an estimated one per million inhabitants – and that several other diseases exhibit features akin to SCLS, including secondary capillary-leak syndrome or hypoproteinemia, militate against early identification.[2][7] Preserved consciousness, despite severe shock and hypotension, is an additional and most intriguing clinical manifestation often reported during episodes at hospital admission.[4]

Treatment

The natural history of SCLS episodes indicates they resolve spontaneously within 2-to-4 days, and that they consist of two distinct phases:[2][3][4]

The capillary leak phase

The initial stage is the capillary leak phase, lasting from 1 to 3 days, during which up to 70% of total plasma volume may invade cavities especially in the extremities.[2][3] The most common clinical features are flu-like symptoms such as fatigue; runny nose; lightheadedness up to and including syncope (fainting); limb, abdominal or generalized pain; facial or other edema; dyspnea; and hypotension that results in circulatory shock and potentially in cardiopulmonary collapse and other organ distress or damage.[2][3][4] Acute kidney injury or failure is a common risk due to acute tubular necrosis consequent to hypovolemia and rhabdomyolysis.[2][3][4] The loss of fluid out of the capillaries has similar effects on the circulation as dehydration, slowing both the flow of oxygen delivered to tissues and organs as well as the output of urine. Urgent medical attention in this phase consists of fluid resuscitation efforts, mainly the intravenous administration of saline solution plus hetastarch or albumin and colloids (to increase the remaining blood flow to vital organs like the kidneys), as well as glucocorticoids (steroids like methylprednisolone, to reduce or stop the capillary leak).[2] However effective on blood pressure, the impact of fluid therapy is always transient and leads to increased extravascular fluid accumulation, engendering multiple complications especially compartment syndrome and thus limb-destructive rhabdomyolysis. Consequently, patients experiencing episodes of SCLS should be closely monitored in a hospital intensive-care setting, including for orthopedic complications requiring surgical decompression, and their fluid therapy should be minimized as much as possible.[2][3][4]

The recruitment phase

The second stage features the reabsorption of the initially extravasated fluid and albumin from the tissues, and it usually lasts 1 to 2 days. Intravascular fluid overload leads to polyuria and can cause flash pulmonary edema and cardiac arrest, with possibly fatal consequences.[2][3] Death from SCLS typically occurs during this recruitment phase because of pulmonary edema arising from excessive intravenous fluid administration during the earlier leak phase.[2][3] The severity of the problem depends on to the quantity of fluid supplied in the initial phase, the damage that may have been sustained by the kidneys, and the promptness with which diuretics are administered to help the patient discharge the accumulated fluids quickly.[2] A recent study of 59 acute episodes occurring in 37 hospitalized SCLS patients concluded that high-volume fluid therapy was independently associated with poorer clinical outcomes, and that the main complications of SCLS episodes were recovery-phase pulmonary edema (24%), cardiac arrhythmia (24%), compartment syndrome (20%), and acquired infections (19%).[4]

The prevention of episodes of SCLS has involved two approaches. The first has long been identified with the Mayo Clinic, and it recommended treatment with beta agonists such as terbutaline, phosphodiesterase-inhibitor theophylline, and leukotriene-receptor antagonists montelukast sodium.[7][8]

The rationale for use of these drugs was their ability to increase intracellular cyclic AMP (adenosine monophosphate) levels, which might counteract inflammatory signaling pathways that induce endothelial permeability.[3] It was the standard of care until the early 2000s, but was sidelined afterwards because patients frequently experienced renewed episodes of SCLS, and because these drugs were poorly tolerated due to their unpleasant side effects.[3][9][10]

The second, more recent approach pioneered in France during the last decade (early 2000s) involves monthly intravenous infusions of immunoglobulins (IVIG), with an initial dose of 2 gr/kg/month of body weight, which has proven very successful as per abundant case-report evidence from around the world.[3][9][10][11]

IVIG has long been used for the treatment of autoimmune and MGUS-associated syndromes, because of its potential immunomodulatory and anticytokine properties. The precise mechanism of action of IVIG in patients with SCLS is unknown, but it is likely that it neutralizes their proinflammatory cytokines that provoke endothelial dysfunction.[5][9][10][11] A recent review of clinical experience with 69 mostly European SCLS patients found that preventive treatment with IVIG was the strongest factor associated with their survival, such that an IVIG therapy should be the first-line preventive agent for SCLS patients.[10] According to a recent NIH survey of patient experience, IVIG prophylaxis is associated with a dramatic reduction in the occurrence of SCLS episodes in most patients, with minimal side effects, such that it may be considered as frontline therapy for those with a clear-cut diagnosis of SCLS and a history of recurrent episodes.[9]

Prognosis

In mostly European experience with 69 patients during 1996–2016, the 5- and 10-year survival rates for SCLS patients were 78% and 69%, respectively, but the survivors received significantly more frequent preventive treatment with IVIG than did non-survivors. Five- and 10-year survival rates in patients treated with IVIG were 91% and 77%, respectively, compared to 47% and 37% in patients not treated with IVIG.[10] Moreover, better identification and management of this condition appears to be resulting in lower mortality and improving survival and quality-of-life results as of late.[3]

History

The syndrome was first described by a team of New York City physicians led by Dr. Bayard D. Clarkson Archived 2017-09-02 at the Wayback Machine in 1960,[12] after whom it was later informally named. Beyond numerous case reports published since then, three comprehensive reviews of clinical and research experience were published in 2017.[3][4][10]

References

  1. 1 2 Siddall, Eric; Khatri, Minesh; Radhakrishnan, Jai (16 March 2017). "Capillary leak syndrome: etiologies, pathophysiology, and management". Kidney International. 92 (1): 37–46. doi:10.1016/j.kint.2016.11.029. PMID 28318633. Archived from the original on 12 January 2020. Retrieved 20 April 2022.
  2. 1 2 3 4 5 6 7 8 9 10 11 12 13 14 15 Druey, Kirk M.; Greipp, Philip R. (2010). "Narrative Review: Clarkson Disease-Systemic Capillary Leak Syndrome". Annals of Internal Medicine. 153 (2): 90–8. doi:10.7326/0003-4819-153-2-201007200-00005. PMC 3017349. PMID 20643990.
  3. 1 2 3 4 5 6 7 8 9 10 11 12 13 14 15 16 17 18 19 Druey, Kirk; Parikh, Samir M. (22 December 2016). "Idiopathic systemic capillary leak syndrome (Clarkson disease)". Journal of Allergy and Clinical Immunology. 140 (3): 663–670. doi:10.1016/j.jaci.2016.10.042. PMC 5481509. PMID 28012935.
  4. 1 2 3 4 5 6 7 8 Pineton Chambrun, Marc; et al. (2017). "The Clinical Picture of Severe Systemic Capillary-Leak Syndrome Episodes Requiring ICU Admission". Critical Care Medicine. 45 (7): 1216–23. doi:10.1097/CCM.0000000000002496. PMID 28622216. S2CID 198448.
  5. 1 2 3 4 Xie, Zhihui; Gosh, Chandra C.; et al. (2012). "Vascular endothelial hyperpermeability induces the clinical symptoms of Clarkson disease (the systemic capillary leak syndrome)". Blood. 119 (18): 1145–7. doi:10.1182/blood-2011-08-375816. PMC 3359743. PMID 22411873.
  6. Xie, Zhihui; Ghosh, Chandra C.; Parikh, Samir M.; Druey, Kirk M. (2014). "Mechanistic Classification of the Systemic Capillary Leak Syndrome: Clarkson Disease". American Journal of Respiratory and Critical Care Medicine. 189 (9): 1145–7. doi:10.1164/rccm.201310-1746LE. PMC 4098109. PMID 24787070.
  7. 1 2 3 Droder, Robert M.; Kyle, Robert A.; Greipp, Philip R. (1992). "Control of systemic capillary leak syndrome with aminophylline and terbutaline". The American Journal of Medicine. 92 (5): 523–6. doi:10.1016/0002-9343(92)90749-2. PMID 1580299.
  8. Kapoor, Prashant; Greipp, Patricia T.; Schaefer, Eric W.; Mandrekar, Sumithra J.; Kamal, Arif H.; Gonzalez-Paz, Natalia C.; Kumar, Shaji; Greipp, Philip R. (2010). "Idiopathic Systemic Capillary Leak Syndrome (Clarkson's Disease): The Mayo Clinic Experience". Mayo Clinic Proceedings. 85 (10): 905–12. doi:10.4065/mcp.2010.0159. PMC 2947962. PMID 20634497.
  9. 1 2 3 4 Xie, Zhihui; Chan, Eunice; et al. (2015). "High dose intravenous immunoglobulin therapy of the Systemic Capillary Leak Syndrome (Clarkson disease)". The American Journal of Medicine. 128 (1): 91–5. doi:10.1016/j.amjmed.2014.08.015. PMC 4282822. PMID 25193271.
  10. 1 2 3 4 5 6 Pineton de Chambrun, Marc; et al. (June 8, 2017). "Intravenous immunoglobulins improve survival in monoclonal gammopathy-associated systemic capillary-leak syndrome". The American Journal of Medicine. 130 (10): 1219.e19–1219.e27. doi:10.1016/j.amjmed.2017.05.023. PMID 28602874.
  11. 1 2 Lambert, Marc; Launay, David; Hachulla, Eric; Morell-Dubois, Sandrine; Soland, Vincent; Queyrel, Viviane; Fourrier, François; Hatron, Pierre-Yves (2008). "High-dose intravenous immunoglobulins dramatically reverse systemic capillary leak syndrome". Critical Care Medicine. 36 (7): 2184–7. doi:10.1097/CCM.0b013e31817d7c71. PMID 18552679. S2CID 41357732.
  12. Clarkson, Bayard; Thompson, David; Horwith, Melvin; Luckey, E.Hugh (1960). "Cyclical edema and shock due to increased capillary permeability". The American Journal of Medicine. 29 (2): 193–216. doi:10.1016/0002-9343(60)90018-8. PMID 13693909.
Classification
External resources

Additional links:

This article is issued from Wmcloud. The text is licensed under Creative Commons - Attribution - Sharealike. Additional terms may apply for the media files.