BCG vaccine

BCG vaccine
Microscopic image of the Calmette-Guérin bacillus, Ziehl–Neelsen stain, magnification: 1,000nn
Vaccine description
Target diseaseTuberculosis
TypeLive bacteria
Clinical data
WHO AWaReUnlinkedWikibase error: ⧼unlinkedwikibase-error-statements-entity-not-set⧽
Pregnancy
category
  • US: C (Risk not ruled out)
    Routes of
    use
    Percutaneous
    Defined daily dose1.8 mg [1]
    External links
    AHFS/Drugs.comFDA Professional Drug Information
    Legal
    Legal status

    Bacillus Calmette–Guérin (BCG) vaccine is a vaccine primarily used against tuberculosis (TB).[2] In countries where tuberculosis or leprosy is common, one dose is recommended in healthy babies as close to the time of birth as possible.[2] In areas where tuberculosis is not common, only children at high risk are typically immunized, while suspected cases of tuberculosis are individually tested for and treated.[2] Adults who do not have tuberculosis and have not been previously immunized but are frequently exposed may be immunized as well.[2] BCG also has some effectiveness against Buruli ulcer infection and other nontuberculous mycobacteria infections.[2] Additionally it is sometimes used as part of the treatment of bladder cancer.[3][4]

    Rates of protection against tuberculosis infection vary widely and protection lasts up to twenty years.[2] Among children it prevents about 20% from getting infected and among those who do get infected it protects half from developing disease.[5] The vaccine is given by injection into the skin.[2] There is no evidence that additional doses are beneficial.[2]

    Serious side effects are rare. Often there is redness, swelling, and mild pain at the site of injection.[2] A small ulcer may also form with some scarring after healing.[2] Side effects are more common and potentially more severe in those with poor immune function.[2] It is not safe for use during pregnancy.[2] The vaccine was originally developed from Mycobacterium bovis, which is commonly found in cows.[2] While it has been weakened, it is still live.[2]

    The BCG vaccine was first used medically in 1921.[2] It is on the World Health Organization's List of Essential Medicines.[6] Between 2011 and 2014 the wholesale price was US$0.20 to US$1.10 a dose in the developing world.[7][8] In the United States it costs US$100 to US$200.[9] As of 2004 the vaccine is given to about 100 million children per year globally.[10]

    Medical uses

    Tuberculosis

    The main use of BCG is for vaccination against tuberculosis. BCG vaccine can be administered after birth intradermally.[11] BCG vaccination can cause a false positive Mantoux test, although a very high-grade reading is usually due to active disease.

    The most controversial aspect of BCG is the variable efficacy found in different clinical trials, which appears to depend on geography. Trials conducted in the UK have consistently shown a protective effect of 60 to 80%, but those conducted elsewhere have shown no protective effect, and efficacy appears to fall the closer one gets to the equator.[12][13]

    A 1994 systematic review found that BCG reduces the risk of getting TB by about 50%.[12] There are differences in effectiveness, depending on region, due to factors such as genetic differences in the populations, changes in environment, exposure to other bacterial infections, and conditions in the lab where the vaccine is grown, including genetic differences between the strains being cultured and the choice of growth medium.[14][15]

    A systematic review and meta analysis conducted in 2014 demonstrated that the BCG vaccine reduced infections by 19–27% and reduced progression to active TB by 71%.[16] The studies included in this review were limited to those that used interferon gamma release assay.

    The duration of protection of BCG is not clearly known. In those studies showing a protective effect, the data are inconsistent. The MRC study showed protection waned to 59% after 15 years and to zero after 20 years; however, a study looking at Native Americans immunized in the 1930s found evidence of protection even 60 years after immunization, with only a slight waning in efficacy.[17]

    BCG seems to have its greatest effect in preventing miliary TB or TB meningitis, so it is still extensively used even in countries where efficacy against pulmonary tuberculosis is negligible.[18]

    Efficacy

    A number of possible reasons for the variable efficacy of BCG in different countries have been proposed. None have been proven, some have been disproved, and none can explain the lack of efficacy in both low-TB burden countries (US) and high-TB burden countries (India). The reasons for variable efficacy have been discussed at length in a World Health Organization (WHO) document on BCG.[19]

    1. Genetic variation in BCG strains: Genetic variation in the BCG strains used may explain the variable efficacy reported in different trials.[20]
    2. Genetic variation in populations: Differences in genetic make-up of different populations may explain the difference in efficacy. The Birmingham BCG trial was published in 1988. The trial, based in Birmingham, United Kingdom, examined children born to families who originated from the Indian Subcontinent (where vaccine efficacy had previously been shown to be zero). The trial showed a 64% protective effect, which is very similar to the figure derived from other UK trials, thus arguing against the genetic variation hypothesis.[21]
    3. Interference by nontuberculous mycobacteria: Exposure to environmental mycobacteria (especially Mycobacterium avium, Mycobacterium marinum and Mycobacterium intracellulare) results in a nonspecific immune response against mycobacteria. Administering BCG to someone who already has a nonspecific immune response against mycobacteria does not augment the response already there. BCG will, therefore, appear not to be efficacious because that person already has a level of immunity and BCG is not adding to that immunity. This effect is called masking because the effect of BCG is masked by environmental mycobacteria. Clinical evidence for this effect was found in a series of studies performed in parallel in adolescent school children in the UK and Malawi.[22] In this study, the UK school children had a low baseline cellular immunity to mycobacteria which was increased by BCG; in contrast, the Malawi school children had a high baseline cellular immunity to mycobacteria and this was not significantly increased by BCG. Whether this natural immune response is protective is not known.[23] An alternative explanation is suggested by mouse studies; immunity against mycobacteria stops BCG from replicating and so stops it from producing an immune response. This is called the block hypothesis.[24]
    4. Interference by concurrent parasitic infection: In another hypothesis, simultaneous infection with parasites changes the immune response to BCG, making it less effective. As Th1 response is required for an effective immune response to tuberculous infection, concurrent infection with various parasites produces a simultaneous Th2 response, which blunts the effect of BCG.[25]

    Mycobacteria

    BCG has protective effects against some non-tuberculosis mycobacteria.

    • Leprosy: BCG has a protective effect against leprosy in the range of 20 to 80%.[2]
    • Buruli ulcer: BCG may protect against or delay the onset of Buruli ulcer.[2][26]

    Cancer

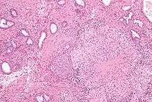
    Micrograph showing granulomatous inflammation of bladder neck tissue due to Bacillus Calmette-Guérin used to treat bladder cancer, H&E stain

    BCG has been one of the most successful immunotherapies.[27] BCG vaccine has been the "standard of care for patients with bladder cancer (NMIBC)" since 1977.[27][28] By 2014 there were more than eight different considered biosimilar agents or strains used for the treatment of non–muscle-invasive bladder cancer (NMIBC).[27] [28]

    • A number of cancer vaccines use BCG as an additive to provide an initial stimulation of the person's immune systems.
    • BCG is used in the treatment of superficial forms of bladder cancer. Since the late 1970s, evidence has become available that instillation of BCG into the bladder is an effective form of immunotherapy in this disease.[29] While the mechanism is unclear, it appears a local immune reaction is mounted against the tumor. Immunotherapy with BCG prevents recurrence in up to 67% of cases of superficial bladder cancer.
    • BCG has been evaluated in a number of studies as a therapy for colorectal cancer.[30] The US biotech company Vaccinogen is evaluating BCG as an adjuvant to autologous tumour cells used as a cancer vaccine in stage II colon cancer.

    Method of administration

    An apparatus (4–5 cm length, with 9 short needles) used for BCG vaccination in Japan, shown with ampules of BCG and saline

    Except in neonates, a tuberculin skin test should always be done before administering BCG. A reactive tuberculin skin test is a contraindication to BCG. Someone with a positive tuberculin reaction is not given BCG, because the risk of severe local inflammation and scarring is high, not because of the common misconception that tuberculin reactors "are already immune" and therefore do not need BCG. People found to have reactive tuberculin skin tests should be screened for active tuberculosis. BCG is also contraindicated in certain people who have IL-12 receptor pathway defects.

    BCG is given as a single intradermal injection at the insertion of the deltoid. If BCG is accidentally given subcutaneously, then a local abscess may form (a "BCG-oma") that can sometimes ulcerate, and may require treatment with antibiotics immediately, otherwise without treatment it could spread the infection causing severe damage to vital organs. An abscess is not always associated with incorrect administration, and it is one of the more common complications that can occur with the vaccination. Numerous medical studies on treatment of these abscesses with antibiotics have been done with varying results, but the consensus is once pus is aspirated and analysed, provided no unusual bacilli are present, the abscess will generally heal on its own in a matter of weeks.[31]

    The characteristic raised scar that BCG immunization leaves is often used as proof of prior immunization. This scar must be distinguished from that of smallpox vaccination, which it may resemble.

    Dosage

    The defined daily dose is 1.8 mg intravesical.[1]

    Side effects

    BCG immunization generally causes some pain and scarring at the site of injection. The main adverse effects are keloids—large, raised scars. The insertion to the deltoid muscle is most frequently used because the local complication rate is smallest when that site is used. Nonetheless, the buttock is an alternative site of administration because it provides better cosmetic outcomes.

    BCG vaccine should be given intradermally. If given subcutaneously, it may induce local infection and spread to the regional lymph nodes, causing either suppurative (production of pus) and non-suppurative lymphadenitis. Conservative management is usually adequate for non-suppurative lymphadenitis. If suppuration occurs, it may need needle aspiration. For non-resolving suppuration, surgical excision may be required. Evidence for the treatment of these complications is scarce.[32]

    Uncommonly, breast and gluteal abscesses can occur due to haematogenous (carried by the blood) and lymphangiomatous spread. Regional bone infection (BCG osteomyelitis or osteitis) and disseminated BCG infection are rare complications of BCG vaccination, but potentially life-threatening. Systemic anti-tuberculous therapy may be helpful in severe complications.[33]

    If BCG is accidentally given to an immuno-compromised patient (e.g., an infant with SCID), it can cause disseminated or life-threatening infection. The documented incidence of this happening is less than one per million immunizations given.[34] In 2007, The World Health Organization (WHO) stopped recommending BCG for infants with HIV, even if there is a high risk of exposure to TB,[35] because of the risk of disseminated BCG infection (which is approximately 400 per 100,000 in that higher risk context).[36][37]

    Usage

    The age of the person and the frequency with which BCG is given has always varied from country to country. The WHO currently recommends childhood BCG for all countries with a high incidence of tuberculosis and/or high leprosy burden.[2] This is a partial list of historic and current BCG practice around the globe. A complete atlas of past and present practice has been generated.[38]

    Americas

    • Brazil introduced universal BCG immunization in 1967–1968, and the practice continues until now. According to Brazilian law, BCG is given again to professionals of the health sector and to people close to patients with tuberculosis or leprosy.
    • Canadian Indigenous communities currently receive the BCG vaccine,[39] and in the province of Quebec the vaccine was offered to children until the mid-70s.[40]
    • Most countries in Central and South America have universal BCG immunizations.[41]
    • The United States has never used mass immunization of BCG due to the rarity of tuberculosis in the US, relying instead on the detection and treatment of latent tuberculosis.

    Europe

    BCG vaccine in Europe
    Country Mandatory now Mandatory in the past Years vaccine was mandatory
    Austria[38] No Yes 1952–1990
    Belgium[38][42] No No N/A
    Bosnia and Herzegovina[38] Yes Yes 1950–present
    Bulgaria[38][43] Yes Yes 1951–present
    Croatia[38] Yes Yes 1948–present
    Czech Republic[38][44] No Yes 1953–2010
    Denmark[38][45] No Yes 1946–1986
    Estonia[38] Yes Yes ?–present
    Finland[38][46] No Yes 1941–2006
    France[38][47][48][49] No Yes 1950–2007
    Germany[38][50] No Yes 1961–1998 (East Germany began 1951)
    Greece[38][51][52] No Yes ?–2016
    Hungary[38][53] Yes Yes 1953–present
    Ireland[54] No Yes 1950s–2015
    Italy[38] No No N/A
    Latvia[38] Yes Yes 1940s–present
    Lithuania[38] Yes Yes ?–present
    Moldova[38] Yes Yes ?–present
    North Macedonia[38] Yes Yes 1950–present
    Norway[38][55] No Yes 1947–1995, voluntary 1995-2009
    Poland[38] Yes Yes 1955–present
    Portugal[38][56] No Yes ?–2016
    Romania[38][57] Yes Yes 1928–present
    Russia[38] Yes Yes 1962–present
    Serbia[38] Yes Yes ?–present
    Slovakia[38][2] No Yes 1953–2012
    Slovenia[38] No Yes 1947–2005
    Spain[38][58] No Yes 1965–1981
    Sweden[38][59] No Yes 1940–1975
    Switzerland[38] No Yes 1960s–1987
    Turkey[38][60] Yes Yes 1952–present
    Ukraine[38][61] Yes Yes ?–present
    United Kingdom[38][62][63][64] No No N/A

    Asia

    • China: Introduced in 1930s. Increasingly widespread after 1949. Majority inoculated by 1979.[65]
    • South Korea, Singapore, Taiwan and Malaysia. In these countries, BCG was given at birth and again at age 12. In Malaysia and Singapore from 2001, this policy was changed to once only at birth. South Korea stopped re-vaccination in 2008.
    • Hong Kong: BCG is given to all newborns.[66]
    • Japan: In Japan, BCG was introduced in 1951, given typically at age 6. From 2005 it is administered between five and eight months after birth, and no later than a child's first birthday. BCG was administered no later than the fourth birthday until 2005, and no later than six months from birth from 2005 to 2012; the schedule was changed in 2012 due to reports of osteitis side effects from vaccinations at 3–4 months. Some municipalities recommend an earlier immunization schedule.[67]
    • Thailand: In Thailand, the BCG vaccine is given routinely at birth.[68]
    • India and Pakistan: India and Pakistan introduced BCG mass immunization in 1948, the first countries outside Europe to do so.[69] In 2015, millions of infants were denied BCG vaccine in Pakistan for the first time due to shortage globally.[70]
    • Mongolia: All newborns are vaccinated with BCG. Previously, the vaccine was also given at ages 8 and 15, although this is no longer common practice.
    • Philippines: BCG vaccine started in the Philippines in 1979 with the Expanded Program on Immunization.
    • Sri Lanka: In Sri Lanka, The National Policy of Sri Lanka is to give BCG vaccination to all newborn babies immediately after birth. BCG vaccination is carried out under the Expanded Programme of Immunisation (EPI).[71]

    Middle East

    • Israel: BCG was given to all newborns between 1955 and 1982.[72]
    • Iran: Iran's vaccination policy implemented in 1984. Vaccination with the Bacillus Calmette–Guerin (BCG) is among the most important tuberculosis control strategies in Iran [2]. According to Iranian neonatal vaccination policy, BCG has been given as a single dose at children aged <6 years, shortly after birth or at first contact with the health services.[73]

    Africa

    • South Africa: In South Africa, the BCG Vaccine is given routinely at birth, to all newborns, except those with clinically symptomatic AIDS. The vaccination site in the right shoulder.[74]
    • Morocco: In Morocco, the BCG was introduced in 1949. The current policy is BCG Vaccination at birth, to all newborns[75]

    South Pacific

    • Australia: BCG vaccination was used between 1950s and mid 1980. BCG is not part of routine vaccination since mid 1980.[76]
    • New Zealand: BCG Immunisation was first introduced for 13 yr olds in 1948. Vaccination was phased out 1963–1990.[38]

    Manufacture

    BCG is prepared from a strain of the attenuated (virulence-reduced) live bovine tuberculosis bacillus, Mycobacterium bovis, that has lost its ability to cause disease in humans. Because the living bacilli evolve to make the best use of available nutrients, they become less well-adapted to human blood and can no longer induce disease when introduced into a human host. Still, they are similar enough to their wild ancestors to provide some degree of immunity against human tuberculosis. The BCG vaccine can be anywhere from 0 to 80% effective in preventing tuberculosis for a duration of 15 years; however, its protective effect appears to vary according to geography and the lab in which the vaccine strain was grown.[14]

    A number of different companies make BCG, sometimes using different genetic strains of the bacterium. This may result in different product characteristics. OncoTICE, used for bladder instillation for bladder cancer, was developed by Organon Laboratories (since acquired by Schering-Plough, and in turn acquired by Merck & Co.). Pacis BCG, made from the Montréal (Institut Armand-Frappier) strain,[77] was first marketed by Urocor in about 2002. Urocor was since acquired by Dianon Systems. Evans Vaccines (a subsidiary of PowderJect Pharmaceuticals). Statens Serum Institut in Denmark markets BCG vaccine prepared using Danish strain 1331.[78] Japan BCG Laboratory markets its vaccine, based on the Tokyo 172 substrain of Pasteur BCG, in 50 countries worldwide.

    According to a UNICEF report published in December 2015 on BCG vaccine supply security, global demand increased in 2015 from 123 to 152.2 million doses. To improve security and to [diversify] sources of affordable and flexible supply," UNICEF awarded seven new manufacturers contracts to produce BCG. Along with supply availability from existing manufacturers, and a "new WHO prequalified vaccine" the total supply will be "sufficient to meet both suppressed 2015 demand carried over to 2016, as well as total forecast demand through 2016–2018."[79]

    Supply shortage

    In the fall of 2011, the Sanofi Pasteur plant flooded causing problems with mold.[80] The facility, located in Toronto, Ontario, Canada, produced BCG vaccine products, made with substrain Connaught, such as a tuberculosis vaccine ImmuCYST, a BCG Immunotherapeutic – a bladder cancer drug.[81] By April 2012 the FDA had found dozens of documented problems with sterility at the plant including mold, nesting birds and rusted electrical conduits.[80] The resulting closure of the plant for over two years caused shortages of bladder cancer and tuberculosis vaccines.[82] On 29 October 2014 Health Canada gave the permission for Sanofi to resume production of BCG.[83] An 2018 analysis of the global supply concluded that the supplies are adequate to meet forecast BCG vaccine demand, but that risks of shortages remain, mainly due to dependence of 75 percent of WHO pre-qualified supply on just two suppliers.[84]

    Preparation

    A weakened strain of bovine tuberculosis bacillus, Mycobacterium bovis is specially subcultured in a culture medium, usually Middlebrook 7H9.

    Dried

    Some BCG vaccines are freeze dried and become fine powder. Sometimes the powder is sealed with vacuum in a glass ampoule. Such a glass ampoule has to be opened slowly to prevent the airflow from blowing out the powder. Then the powder has to be diluted with saline water before injecting.

    History

    French poster promoting the BCG vaccine

    The history of BCG is tied to that of smallpox. Jean Antoine Villemin first recognized bovine tuberculosis in 1854 and transmitted it, and Robert Koch first distinguished Mycobacterium bovis from Mycobacterium tuberculosis. Following the success of vaccination in preventing smallpox, established during the 18th century, scientists thought to find a corollary in tuberculosis by drawing a parallel between bovine tuberculosis and cowpox: it was hypothesized that infection with bovine tuberculosis might protect against infection with human tuberculosis. In the late 19th century, clinical trials using M. bovis were conducted in Italy with disastrous results, because M. bovis was found to be just as virulent as M. tuberculosis.

    Albert Calmette, a French physician and bacteriologist, and his assistant and later colleague, Camille Guérin, a veterinarian, were working at the Institut Pasteur de Lille (Lille, France) in 1908. Their work included subculturing virulent strains of the tuberculosis bacillus and testing different culture media. They noted a glycerin-bile-potato mixture grew bacilli that seemed less virulent, and changed the course of their research to see if repeated subculturing would produce a strain that was attenuated enough to be considered for use as a vaccine. The BCG strain was isolated after subculturing 239 times during 13 years from virulent strain on glycerine potato medium. The research continued throughout World War I until 1919, when the now avirulent bacilli were unable to cause tuberculosis disease in research animals. Calmette and Guerin transferred to the Paris Pasteur Institute in 1919. The BCG vaccine was first used in humans in 1921.[85]

    Public acceptance was slow, and one disaster, in particular, did much to harm public acceptance of the vaccine. In the summer of 1930 in Lübeck, 240 infants were vaccinated in the first 10 days of life; almost all developed tuberculosis and 72 infants died. It was subsequently discovered that the BCG administered there had been contaminated with a virulent strain that was being stored in the same incubator, which led to legal action against the manufacturers of the vaccine.[86]

    Dr. R.G. Ferguson, working at the Fort Qu'Appelle Sanatorium in Saskatchewan, was among the pioneers in developing the practice of vaccination against tuberculosis. In 1928, BCG was adopted by the Health Committee of the League of Nations (predecessor to the World Health Organization [WHO]). Because of opposition, however, it only became widely used after World War II. From 1945 to 1948, relief organizations (International Tuberculosis Campaign or Joint Enterprises) vaccinated over 8 million babies in eastern Europe and prevented the predicted typical increase of TB after a major war.

    BCG is very efficacious against tuberculous meningitis in the pediatric age group, but its efficacy against pulmonary tuberculosis appears to be variable. As of 2006, only a few countries do not use BCG for routine vaccination. Two countries that have never used it routinely are the United States and the Netherlands (in both countries, it is felt that having a reliable Mantoux test and therefore being able to accurately detect active disease is more beneficial to society than vaccinating against a condition that is now relatively rare there).[87][88]

    Other names include "Vaccin Bilié de Calmette et Guérin vaccine" and "Bacille de Calmette et Guérin vaccine".

    Research

    Tentative evidence exists for a beneficial non-specific effect of BCG vaccination on overall mortality in low income countries, or for its reducing other health problems including sepsis and respiratory infections when given early,[89] with greater benefit the earlier it is used.[90]

    In rhesus macaques, BCG shows improved rates of protection when given intravenously.[91][92] Some risks must be evaluated before it can be translated to human.[93]

    Type 1 diabetes

    As of 2017, BCG vaccine was in the early stages of being studied in type 1 diabetes.[94][95]

    COVID-19

    Use of the BCG vaccine may provide protection against COVID-19.[96]

    As of March 2020, while it is not known if the tuberculosis vaccine protects against COVID-19, it has been suggested for study.[97][98] Spanish, French, German and Dutch research entities are preparing trials using genetically-modified BCG vaccines.[99] BCG vaccine is in phase 3 trials in health care workers in Australia and Netherlands.[100] BCG vaccine is in phase IV in the US.[101]

    The WHO does not recommend its use for prevention as of 13 April 2020.[102]

    References

    1. 1 2 "WHOCC - ATC/DDD Index". www.whocc.no. Archived from the original on 14 July 2020. Retrieved 22 September 2020.
    2. 1 2 3 4 5 6 7 8 9 10 11 12 13 14 15 16 17 18 19 World Health Organization (February 2018). "BCG vaccines: WHO position paper – February 2018". Weekly Epidemiological Record. 93 (8): 73–96. hdl:10665/260307. PMID 29474026.
    3. Green, James; Fuge, Oliver; Allchorne, Paula; Vasdev, Nikhil (May 2015). "Immunotherapy for bladder cancer". Research and Reports in Urology. 7: 65–79. doi:10.2147/RRU.S63447. PMC 4427258. PMID 26000263.
    4. Houghton, Baerin B.; Chalasani, Venu; Hayne, Dickon; Grimison, Peter; Brown, Christopher S. B.; Patel, Manish I.; Davis, Ian D.; Stockler, Martin R. (May 2013). "Intravesical chemotherapy plus bacille Calmette-Guérin in non-muscle invasive bladder cancer: a systematic review with meta-analysis". BJU International. 111 (6): 977–83. doi:10.1111/j.1464-410X.2012.11390.x. PMID 23253618.
    5. Roy, A; Eisenhut, M; Harris, RJ; Rodrigues, LC; Sridhar, S; Habermann, S; Snell, L; Mangtani, P; Adetifa, I; Lalvani, A; Abubakar, I (5 August 2014). "Effect of BCG vaccination against Mycobacterium tuberculosis infection in children: systematic review and meta-analysis". BMJ. 349: g4643. doi:10.1136/bmj.g4643. PMC 4122754. PMID 25097193.
    6. World Health Organization (2019). World Health Organization model list of essential medicines: 21st list 2019. Geneva: World Health Organization. hdl:10665/325771. WHO/MVP/EMP/IAU/2019.06. License: CC BY-NC-SA 3.0 IGO.
    7. "Vaccine, Bcg". International Drug Price Indicator Guide. Retrieved 6 December 2015.
    8. "Vaccine, Bcg". ERC. Archived from the original on 22 January 2018. Retrieved 13 June 2016.
    9. Hamilton, Richart (2015). Tarascon Pocket Pharmacopoeia. Jones & Bartlett Learning. p. 312. ISBN 978-1284057560.
    10. "BCG Vaccine: WHO position paper" (PDF). Weekly Epidemiological Record. 4 (79): 25–40. 23 January 2004. Archived (PDF) from the original on 21 September 2015.
    11. "BCG Vaccine | TB Signs". TB Symptoms. 18 January 2013. Archived from the original on 29 October 2013. Retrieved 2 February 2014.
    12. 1 2 Colditz, Graham A.; Brewer, TF; Berkey, CS; Wilson, ME; Burdick, E; Fineberg, HV; Mosteller, F (1994). "Efficacy of BCG Vaccine in the Prevention of Tuberculosis". JAMA. 271 (9): 698–702. doi:10.1001/jama.1994.03510330076038. PMID 8309034.
    13. Fine PEM (1995). "Variation in protection by BCG: implications of and for heterologous immunity". Lancet. 346 (8986): 1339–45. doi:10.1016/S0140-6736(95)92348-9. PMID 7475776.
    14. 1 2 Venkataswamy, Manjunatha M.; Goldberg, Michael F.; Baena, Andres; Chan, John; Jacobs, William R., Jr.; Porcelli, Steven A. (1 February 2012). "In vitro culture medium influences the vaccine efficacy of Mycobacterium bovis BCG". Vaccine. 30 (6): 1038–49. doi:10.1016/j.vaccine.2011.12.044. PMC 3269512. PMID 22189700.
    15. FINE, P (1 November 1995). "Variation in protection by BCG: implications of and for heterologous immunity". The Lancet. 346 (8986): 1339–45. doi:10.1016/S0140-6736(95)92348-9. PMID 7475776.
    16. Roy A, Eisenhut M, Harris RJ, et al. (2014). "Effect of BCG vaccination against Mycobacterium tuberculosis infection in children: systematic review and meta-analysis". BMJ. 349: g4643. doi:10.1136/bmj.g4643. PMC 4122754. PMID 25097193.
    17. Aronson NE, Santosham M, Comstock GW (2004). "Long-term efficacy of BCG vaccine in American Indians and Alaska Natives: A 60-year follow-up study". JAMA. 291 (17): 2086–91. doi:10.1001/jama.291.17.2086. PMID 15126436.
    18. Rodrigues LC, Diwan VK, Wheeler JG (1993). "Protective Effect of BCG against Tuberculous Meningitis and Miliary Tuberculosis: A Meta-Analysis". Int J Epidemiol. 22 (6): 1154–58. doi:10.1093/ije/22.6.1154. PMID 8144299.
    19. Fine PE, Carneiro IA, Milstein JB, Clements CJ (1999). "Chapter 8: Reasons for variable efficacy" (PDF). Issues relating to the use of BCG in immunization programmes. Geneva, Switzerland: World Health Organization. Archived (PDF) from the original on 20 February 2011.
    20. Brosch R, Gordon SV, Garnier T, Eiglmeier K (2007). "Genome plasticity of BCG and impact on vaccine efficacy". Proceedings of the National Academy of Sciences of the United States of America. 104 (13): 5596–601. Bibcode:2007PNAS..104.5596B. doi:10.1073/pnas.0700869104. PMC 1838518. PMID 17372194.
    21. Packe GE, Innes JA (1988). "Protective effect of BCG vaccination in infant Asians: a case-control study". Archives of Disease in Childhood. 63 (3): 277–81. doi:10.1136/adc.63.3.277. PMC 1778792. PMID 3258499.
    22. Black GF, Weir RE, Floyd S (2002). "BCG-induced increase in interferon-gamma response to mycobacterial antigens and efficacy of BCG vaccination in Malai and the UK: two randomized controlled studies". Lancet. 359 (9315): 1393–401. doi:10.1016/S0140-6736(02)08353-8. PMID 11978337.
    23. Palmer CE, Long MW (1966). "Effects of infection with atypical mycobacteria on BCG vaccination and tuberculosis". Am Rev Respir Dis. 94 (4): 553–68. doi:10.1164/arrd.1966.94.4.553 (inactive 26 April 2020). PMID 5924215.{{cite journal}}: CS1 maint: DOI inactive as of April 2020 (link)
    24. Brandt L, Feino Cunha J, Weinreich Olsen A (2002). "Failure of Mycobacterium bovis BCG vaccine: some species of environmental mycobacteria block multiplication of BCG and induction of protective immunity to tuberculosis". Infection and Immunity. 70 (2): 672–78. doi:10.1128/IAI.70.2.672-678.2002. PMC 127715. PMID 11796598.
    25. Rook GAW; Dheda K; Zumla A. (2005). "Do successful tuberculosis vaccines need to be immunoregulatory rather than merely Th1-boosting?" (PDF). Vaccine. 23 (17–18): 2115–20. doi:10.1016/j.vaccine.2005.01.069. PMID 15755581. Archived (PDF) from the original on 22 September 2017.
    26. Tanghe, A.; J. Content; J. P. Van Vooren; F. Portaels; K. Huygen (2001). "Protective efficacy of a DNA vaccine encoding antigen 85A from Mycobacterium bovis BCG against Buruli ulcer". Infection and Immunity. 69 (9): 5403–11. doi:10.1128/IAI.69.9.5403-5411.2001. PMC 98650. PMID 11500410.
    27. 1 2 3 Rentsch, Cyrill A.; Birkhäuser, Frédéric D.; Biot, Claire; Gsponer, Joël R.; Bisiaux, Aurélie; Wetterauer, Christian; Lagranderie, Micheline; Marchal, Gilles; Orgeur, Mickael; Bouchier, Christiane; Bachmann, Alexander; Ingersoll, Molly A.; Brosch, Roland; Albert, Matthew L.; Thalmann, George N. (1 October 2014). "Bacillus Calmette-Guérin Strain Differences Have an Impact on Clinical Outcome in Bladder Cancer Immunotherapy". European Urology. 66 (4): 677–88. doi:10.1016/j.eururo.2014.02.061. PMID 24674149.
    28. 1 2 Brandau, S.; Suttmann, H. (2007). "Thirty years of BCG immunotherapy for non-muscle invasive bladder cancer: a success story with room for improvement". Biomed Pharmacother. 61 (6): 299–305. doi:10.1016/j.biopha.2007.05.004. PMID 17604943.
    29. Lamm DL, Blumenstein BA, Crawford ED (1991). "A randomized trial of intravesical doxorubicin and immunotherapy with bacille Calmette-Guerin for transitional-cell carcinoma of the bladder". N Engl J Med. 325 (2): 1205–09. doi:10.1056/NEJM199110243251703. PMID 1922207.
    30. Mosolits S, Nilsson B, Mellstedt H (2005). "Towards therapeutic vaccines for colorectal carcinoma: a review of clinical trials". Expert Rev Vaccines. 4 (3): 329–50. doi:10.1586/14760584.4.3.329. PMID 16026248.
    31. Nick Makwana and Andrew Riordan (2004), "Is medical therapy effective in the treatment of BCG abscesses?", Birmingham Heartlands Hospital "BestBets: Is medical therapy effective in the treatment of BCG abscesses?". Archived from the original on 16 February 2007. Retrieved 1 April 2007.
    32. Cuello-García, Carlos A.; Pérez-Gaxiola, Giordano; Jiménez Gutiérrez, Carlos (1 January 2013). "Treating BCG-induced disease in children". The Cochrane Database of Systematic Reviews. 1 (1): CD008300. doi:10.1002/14651858.CD008300.pub2. ISSN 1469-493X. PMC 6532703. PMID 23440826.
    33. Govindarajan KK, Chai FY (2011). "BCG adenitis – need for increased awareness". Malaysian Journal of Medical Sciences. 18 (2): 67–70. PMC 3216207. PMID 22135589. Malaysian Journal of Medical Sciences Malaysian Journal of Medical Sciences at the Wayback Machine (archived 26 March 2012)
    34. Centers for Disease Control and Prevention (1996). "The role of BCG vaccine in the prevention and control of tuberculosis in the United States: a joint statement of the Advisory Council for the Elimination of Tuberculosis and the Advisory Committee on Immunization Practices" (PDF). MMWR Recomm Rep. 45 (RR-4): 1–18. PMID 8602127. Archived (PDF) from the original on 6 January 2020. Retrieved 6 January 2020.
    35. World Health Organization (2007). "Revised BCG vaccination guidelines for infants at risk for HIV infection". Weekly Epidemiological Record. 82 (21): 193–96. hdl:10665/240940. PMID 17526121.
    36. Trunz BB, Fine P, Dye C (2006). "Effect of BCG vaccination on childhood tuberculous meningitis and miliary tuberculosis worldwide: a meta-analysis and assessment of cost-effectiveness". Lancet. 367 (9517): 1173–80. doi:10.1016/S0140-6736(06)68507-3. PMID 16616560.
    37. Mak TK, Hesseling AC, Hussey GD, Cotton MF (2008). "Making BCG vaccination programs safer in the HIV era". Lancet. 372 (9641): 786–87. doi:10.1016/S0140-6736(08)61318-5. PMID 18774406.
    38. 1 2 3 4 5 6 7 8 9 10 11 12 13 14 15 16 17 18 19 20 21 22 23 24 25 26 27 28 29 30 31 32 33 34 "Database of Global BCG Vaccination Policies and Practices". The BCG World Atlas. Archived from the original on 12 June 2009. Retrieved 21 October 2020.
    39. "Bacille Calmette–Guerin (BCG) Information for Health Professionals". toronto.ca. January 2020. Archived from the original on 6 May 2020. Retrieved 8 April 2020.
    40. Rousseau MC, Conus F, Kâ K, El-Zein M, Parent MÉ, Menzies D (August 2017). "Bacillus Calmette–Guérin (BCG) vaccination patterns in the province of Québec, Canada, 1956-1974". Vaccine. 35 (36): 4777–4784. doi:10.1016/j.vaccine.2017.06.064. PMID 28705514.
    41. "Ficha metodológica". Archived from the original on 2 April 2015. Retrieved 12 March 2015.
    42. "Prevention". sciensano.be. Archived from the original on 6 May 2020. Retrieved 8 April 2020.
    43. "Задължителни и препоръчителни имунизации" [Mandatory and recommended immunizations]. mh.government.bg. Archived from the original on 11 April 2020. Retrieved 11 April 2020.
    44. "Kopie – cem05_14.p65" (PDF). Archived (PDF) from the original on 6 May 2020. Retrieved 11 April 2020.
    45. Rieckmann A, Villumsen M, Sørup S, Haugaard LK, Ravn H, Roth A, et al. (April 2017). "Vaccinations against smallpox and tuberculosis are associated with better long-term survival: a Danish case-cohort study 1971-2010". International Journal of Epidemiology. 46 (2): 695–705. doi:10.1093/ije/dyw120. PMC 5837789. PMID 27380797. S2CID 3792173.
    46. "THL". BCG- eli tuberkuloosirokote. THL. Archived from the original on 23 April 2020. Retrieved 16 April 2020.
    47. Loi n° 50-7 du 5 janvier 1950
    48. décret n° 2007-1111 du 17 juillet 2007
    49. "relatif à l'obligation de vaccination par le BCG des professionnels listés aux articles L" (PDF). Archived (PDF) from the original on 30 July 2012. Retrieved 2 February 2014.
    50. BCG World Atlas. "A Database of Global BCG Vaccination Policies and Practices". Archived from the original on 12 June 2009. Retrieved 4 April 2020.
    51. Gabriele F, Katragkou A, Roilides E (October 2014). "BCG vaccination policy in Greece: time for another review?". The International Journal of Tuberculosis and Lung Disease. 18 (10): 1258. doi:10.5588/ijtld.14.0282. PMID 25216844.
    52. "Διακοπή της εφαρμογής καθολικού αντιφυματικού εμβολιασμού (εμβόλιο BCG) στα παιδιά της Α΄ Δημοτικού 2016". Archived from the original on 8 May 2021. Retrieved 26 December 2020.
    53. "A tuberkulózis és a tuberkulózis elleni védőoltás (BCG)" [Tuberculosis and tuberculosis vaccination]. ÁNTSZ. 17 July 2015. Archived from the original on 11 April 2020. Retrieved 5 April 2020.
    54. O'Sullivan K. "Coronavirus: More 'striking' evidence BCG vaccine might protect against Covid-19". The Irish Times. Archived from the original on 7 April 2020. Retrieved 6 April 2020.
    55. "Tuberkulosevaksinasjon – veileder for helsepersonell" [Tuberculosis vaccination - guide for healthcare professionals]. FHI.no (in norsk). Archived from the original on 7 March 2016.
    56. "Portugal data" (PDF). venice.cineca.org. Archived from the original (PDF) on 7 April 2020. Retrieved 11 April 2020.
    57. "Vaccinări cu obligativitate generală" [Vaccinations with general obligation]. Archived from the original on 19 August 2013. Retrieved 14 April 2020.
    58. "Vacunas disponibles | Vacunas / Asociación Española de Vacunología" [Vaccines available; Vaccines / Spanish Association of Vaccination]. Archived from the original on 6 May 2020. Retrieved 8 April 2020.
    59. "Tuberkulos (TB) – om vaccination – Folkhälsomyndigheten" [Tuberculosis (TB) - on vaccination - Public Health Agency]. folkhalsomyndigheten.se. Archived from the original on 13 April 2020. Retrieved 11 April 2020.
    60. Zwerling, A.; Behr, M. A.; Verma, A.; Brewer, T. F.; Menzies, D.; Pai, M. (2011). "The BCG World Atlas: A Database of Global BCG Vaccination Policies and Practices". PLOS Medicine. 8 (3): e1001012. doi:10.1371/journal.pmed.1001012. PMC 3062527. PMID 21445325.
    61. Ukraine Наказ №947 от 18.05.2018, Про внесення змін до Календаря профілактичних щеплень в Україні at the Wayback Machine (archived 23 July 2020) search.ligazakon.ua
    62. Styblo K, Meijer J (March 1976). "Impact of BCG vaccination programmes in children and young adults on the tuberculosis problem". Tubercle. 57 (1): 17–43. doi:10.1016/0041-3879(76)90015-5. PMID 1085050.
    63. "School 'TB jabs' to be scrapped". BBC News Online. 6 July 2005. Archived from the original on 6 March 2012. Retrieved 24 September 2014.
    64. "BCG tuberculosis (TB) vaccine overview". NHS.uk. Archived from the original on 1 April 2016. Retrieved 27 March 2016.
    65. Chen ZR, Wei XH, Zhu ZY (June 1982). "BCG in China". Chinese Medical Journal. 95 (6): 437–42. PMID 6813052.
    66. "Child health – Immunisation". Archived from the original on 10 November 2019. Retrieved 6 January 2020.
    67. "結核とBCGワクチンに関するQ&A|厚生労働省" [Q & A about tuberculosis and BCG vaccine, Ministry of Health, Labour and Welfare]. mhlw.go.jp (in 日本語). Archived from the original on 16 April 2017. Retrieved 10 July 2017.
    68. "Thai Pediatrics". Thai Pediatrics. Archived from the original on 19 November 2015.
    69. Mahler HT, Mohamed Ali P (1955). "Review of mass B.C.G. project in India". Ind J Tuberculosis. 2 (3): 108–16. Archived from the original on 13 February 2007.
    70. Chaudhry A (24 February 2015). "Millions of infants denied anti-TB vaccination". Dawn. Pakistan. Archived from the original on 6 May 2020. Retrieved 8 April 2020.
    71. "Role of BC Vaccination". The National Programme for tuberculosis Control & Chest Diseases. Archived from the original on 6 June 2013.
    72. SARS-CoV-2 Rates in BCG-Vaccinated and Unvaccinated Young Adults Archived 12 November 2020 at the Wayback Machine 13 May 2020 jamanetwork.com, accessed 21 October 2020
    73. Sadeghi-Shanbestari, Mahnaz; Ansarin, Khalil; Maljaei, Seyed Hudieh; Rafeey, Mandana; Pezeshki, Zakaria; kousha, Ahmmad; Baradaran, Reza; Casanova, Jean; Feinberg, Jacqueline; de Villartay, Jean (2009). "Immunologic aspects of patients with disseminated bacille Calmette–Guerin disease in north-west of Iran". Italian Journal of Pediatrics. 35 (1): 42. doi:10.1186/1824-7288-35-42. PMC 2806263. PMID 20030825.
    74. "BCG" (PDF). South African National Department of Health. 2006. Archived from the original (PDF) on 11 May 2013.
    75. "Évolution du calendrier vaccinal au Maroc". 29 May 2006. Archived from the original on 6 May 2020. Retrieved 8 April 2020.
    76. "BCG vaccine for TB". Royal Children's Hospital Melbourne. Archived from the original on 9 March 2020. Retrieved 31 March 2020.
    77. "Pharmaceutical Information – PACIS". RxMed. Archived from the original on 22 February 2014. Retrieved 2 February 2014.
    78. "BCG Vaccine Danish Strain 1331 – Statens Serum Institut". Ssi.dk. 19 September 2013. Archived from the original on 18 February 2014. Retrieved 2 February 2014.
    79. "Bacillus Calmette-Guérin Vaccine Supply & Demand Outlook" (PDF), UNICEF Supply Division, p. 5, December 2015, archived (PDF) from the original on 5 February 2016, retrieved 29 January 2016
    80. 1 2 "April 2012 Inspectional Observations (form 483)", U.S. Food and Drug Administration, Vaccines, Blood & Biologics, 12 April 2012, archived from the original on 6 February 2016, retrieved 29 January 2016
    81. "Sanofi Pasteur Product Monograph – Immucyst" (PDF). Sanofi Pasteur Canada. Retrieved 11 February 2016.
    82. Palmer, Eric (10 September 2014). "UPDATED: Merck again shipping BCG cancer treatment but Sanofi still is not". FiercePharma. Archived from the original on 12 July 2020. Retrieved 12 July 2020.
    83. Palmer, Eric (31 March 2015), "Sanofi Canada vax plant again producing ImmuCyst bladder cancer drug", FiercePharma, archived from the original on 5 February 2016, retrieved 29 January 2016
    84. Cernuschi T, Malvolti S, Nickels E, Friede M (January 2018). "Bacillus Calmette-Guérin (BCG) vaccine: A global assessment of demand and supply balance". Vaccine. 36 (4): 498–506. doi:10.1016/j.vaccine.2017.12.010. PMC 5777639. PMID 29254839.
    85. Fine PE, Carneiro IA, Milstein JB, Clements CJ (1999). Issues relating to the use of BCG in immunization programs. Geneva: World Health Organization (WHO).
    86. Rosenthal SR. (1957). BCG vaccination against tuberculosis. Boston: Little, Brown & Co.
    87. "Fact Sheets: BCG Vaccine". Centers for Disease Control and Prevention. 28 October 2011. Archived from the original on 20 July 2013. Retrieved 18 July 2013.
    88. Vaccination of young children against tuberculosis (PDF). The Hague:Health Council of the Netherlands. 2011. ISBN 978-90-5549-844-4. Archived (PDF) from the original on 19 February 2014. Retrieved 12 July 2013.
    89. Aaby, P; Roth, A; Ravn, H; Napirna, BM; Rodrigues, A; Lisse, IM; Stensballe, L; Diness, BR; Lausch, KR; Lund, N; Biering-Sørensen, S; Whittle, H; Benn, CS (15 July 2011). "Randomized trial of BCG vaccination at birth to low-birth-weight children: beneficial nonspecific effects in the neonatal period?". The Journal of Infectious Diseases. 204 (2): 245–52. doi:10.1093/infdis/jir240. PMID 21673035.
    90. Biering-Sørensen, S; Aaby, P; Napirna, BM; Roth, A; Ravn, H; Rodrigues, A; Whittle, H; Benn, CS (March 2012). "Small randomized trial among low-birth-weight children receiving bacillus Calmette-Guérin vaccination at first health center contact". The Pediatric Infectious Disease Journal. 31 (3): 306–08. doi:10.1097/inf.0b013e3182458289. PMID 22189537.
    91. Darrah PA, Zeppa JJ, Maiello P, et al. (January 2020). "Prevention of tuberculosis in macaques after intravenous BCG immunization". Nature. 577 (7788): 95–102. Bibcode:2020Natur.577...95D. doi:10.1038/s41586-019-1817-8. PMC 7015856. PMID 31894150.
    92. Behar SM, Sassetti C (January 2020). "Tuberculosis vaccine finds an improved route". Nature. 577 (7788): 31–32. Bibcode:2020Natur.577...31B. doi:10.1038/d41586-019-03597-y. PMID 31894152.
    93. "The trick that could inject new life into an old tuberculosis vaccine". Nature. 577 (7789): 145–145. January 2020. doi:10.1038/d41586-020-00003-w. ISSN 0028-0836. Archived from the original on 22 August 2020. Retrieved 8 August 2020.
    94. Kühtreiber WM, Tran L, Kim T, et al. (2018). "Long-term reduction in hyperglycemia in advanced type 1 diabetes: the value of induced aerobic glycolysis with BCG vaccinations". NPJ Vaccines. 3: 23. doi:10.1038/s41541-018-0062-8. PMC 6013479. PMID 29951281.
    95. Kowalewicz-Kulbat, M; Locht, C (July 2017). "BCG and protection against inflammatory and auto-immune diseases". Expert Review of Vaccines. 16 (7): 699–708. doi:10.1080/14760584.2017.1333906. PMID 28532186.
    96. Escobar, Luis E.; Molina-Cruz, Alvaro; Barillas-Mury, Carolina (9 July 2020). "BCG vaccine protection from severe coronavirus disease 2019 (COVID-19)". Proceedings of the National Academy of Sciences: 202008410. doi:10.1073/pnas.2008410117.
    97. "French doctor apologizes for 'Africa' coronavirus test idea". Deutsche Welle. 3 April 2020. Archived from the original on 10 April 2020. Retrieved 11 April 2020.
    98. Medical Hypotheses (nih.gov), Medical Hypotheses (6 April 2020). "Is Global BCG Vaccination Coverage Relevant to the Progression Of SARS-CoV-2 Pandemic?". PMC 7136957.
    99. de Vrieze, Jop (23 March 2020). "Can a century-old TB vaccine steel the immune system against the new coronavirus?". Science Magazine. Archived from the original on 12 May 2020. Retrieved 11 April 2020.
    100. "Clinical trials of BCG for Covid-19". NIH – Clinical Trials. US National Institute of Health. Archived from the original on 10 April 2020. Retrieved 31 March 2020.
    101. "Archive copy". Archived from the original on 8 June 2020. Retrieved 31 July 2020.{{cite web}}: CS1 maint: archived copy as title (link)
    102. "Situation Report 13 April 2020 – COVID-19" (PDF). World Health Organisation. 13 April 2020. Archived (PDF) from the original on 13 April 2020. Retrieved 14 April 2020.
    Identifiers:
    This article is issued from Wmcloud. The text is licensed under Creative Commons - Attribution - Sharealike. Additional terms may apply for the media files.