B-cell leukemia
| B-cell leukemia | |
|---|---|
![]() | |
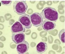
| Typical B‐cell prolymphocytic leukaemia | |
| Specialty | Hematology, oncology |
A B-cell leukemia is any of several types of lymphoid leukemia which affect B cells.[1]
Types include (with ICD-O code):
- 9823/3 - B-cell chronic lymphocytic leukemia/small lymphocytic lymphoma
- 9826/3 - Acute lymphoblastic leukemia, mature B-cell type
- 9833/3 - B-cell prolymphocytic leukemia
- 9835/3-9836/3 - Precursor B lymphoblastic leukemia
- 9940/3 - Hairy cell leukemia
See also
References
- ↑ "B-Cell Leukemia (Concept Id: C2004493) - MedGen - NCBI". www.ncbi.nlm.nih.gov. Archived from the original on 21 November 2021. Retrieved 21 November 2021.
External links
| Classification |
|---|
This article is issued from Wmcloud. The text is licensed under Creative Commons - Attribution - Sharealike. Additional terms may apply for the media files.
_(1).png.webp)