Aplastic anemia

Aplastic anemia
Other names: Aplastic anaemia, bone marrow failure[1]
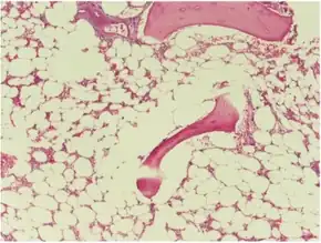
Micrograph of bone marrow taken from a person with aplastic anemia. The bone marrow is mostly fat cells with few blood forming cells.[2]
SpecialtyOncology, hematology
SymptomsWeakness, pale skin, shortness of breath, infections, bleeding[3]
DurationLong term[3]
CausesUnknown, following a viral infections, Fanconi anemia, exposure to chemicals, medications or radiation[3][4]
Diagnostic methodBased on blood tests and bone marrow biopsy[5]
Differential diagnosisMyelodysplastic syndrome, paroxysmal nocturnal hemoglobinuria, pure red cell aplasia[6][3]
TreatmentStem cell transplantation, eltrombopag, ciclosporin, anti-thymocyte globulin, corticosteroids, blood transfusions[4][7]
PrognosisVariable[3]
Frequency0.6 to 6 per million per year[3]

Aplastic anemia is a long term condition in which the bone marrow fails to produce blood cells in sufficient numbers.[3] Most people have low levels of all blood cell types: red blood cells, white blood cells, and platelets.[6] Symptoms can include weakness, pale skin, shortness of breath, infections, and bleeding.[3]

The cause is unclear in 65% of cases.[3] Other cases may occur following a viral infections, due to a genetic conditions such as Fanconi anemia, or exposure to chemicals, medications or radiation.[3][4] The diagnosis may be suspected based on low blood cells together with low reticulocytes and the absence of changes concerning for blood cancer.[3] The diagnosis is confirmed by a bone marrow biopsy finding mostly fat cells instead of blood forming cells.[5]

Treatment may be directed at the underlying cause.[3] The preferred treatment is often a hematopoietic stem cell transplantation.[4] Otherwise options may include eltrombopag and immunosuppressive medicationss such as ciclosporin, anti-thymocyte globulin, and corticosteroids.[4][7] Blood transfusions may be required but may make later stem cell transplantation more difficult.[4][7]

Aplastic anemia affected about 0.6 to 6 people per million per year.[3] Males and females are affected equally frequently.[3] The condition is slightly more common in childhood and people in their early 20s.[3] Outcomes are variable and depend on a persons age and response to treatment.[3] The condition was first described in 1885.[6] The disease was the cause of death of Marie Curie.[8]

Signs and symptoms

Anemia may lead to feeling tired, pale skin and a fast heart rate.[9]

Low platelets are associated with an increased risk of bleeding, bruising and petechiae. Low white blood cells increase the risk of infections.[9]

Causes

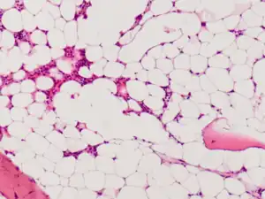
Aplastic anemia caused by temozolomide - Hypocellular bone marrrow with very few erythroid and myeloid cells.[10]

Aplastic anemia can be caused by exposure to certain chemicals, drugs, radiation, infection, immune disease; in about half the cases, a definitive cause is unknown. It is not a familial line hereditary condition, nor is it contagious. It can be acquired due to exposure to other conditions but if a person develops the condition, their offspring would not develop it by virtue of their genetic relationship.[11][12]

Aplastic anemia is also sometimes associated with exposure to toxins such as benzene, or with the use of certain drugs, including chloramphenicol, carbamazepine, felbamate, phenytoin, quinine, and phenylbutazone. Many drugs are associated with aplasia mainly according to case reports, but at a very low probability. As an example, chloramphenicol treatment associated with aplasia in less than one in 40,000 treatment courses, and carbamazepine aplasia is even rarer.[13]

Exposure to ionizing radiation from radioactive materials or radiation-producing devices is also associated with the development of aplastic anemia. Marie Curie, famous for her pioneering work in the field of radioactivity, died of aplastic anemia after working unprotected with radioactive materials for a long period of time; the damaging effects of ionizing radiation were not then known.[14]

Aplastic anemia is present in up to 2% of patients with acute viral hepatitis.[15]

One known cause is an autoimmune disorder in which white blood cells attack the bone marrow.[6]

Short-lived aplastic anemia can also be a result of parvovirus infection.[16] In humans, the P antigen (also known as globoside), one of the many cellular receptors that contribute to a person's blood type, is the cellular receptor for parvovirus B19 virus that causes erythema infectiosum (fifth disease) in children. Because it infects red blood cells as a result of the affinity for the P antigen, parvovirus causes complete cessation of red blood cell production. In most cases, this goes unnoticed, as red blood cells live on average 120 days, and the drop in production does not significantly affect the total number of circulating red blood cells. In people with conditions where the cells die early (such as sickle cell disease), however, parvovirus infection can lead to severe anemia.

More frequently parvovirus B19 is associated with aplastic crisis which involves only the red blood cells (despite the name). Aplastic anemia involves all different cell lines.

Viruses that have been linked to the development of aplastic anemia include hepatitis, Epstein-Barr, cytomegalovirus, parvovirus B19, and HIV.

In some animals, aplastic anemia may have other causes. For example, in the ferret (Mustela putorius furo), it is caused by estrogen toxicity, because female ferrets are induced ovulators, so mating is required to bring the female out of heat. Intact females, if not mated, will remain in heat, and after some time the high levels of estrogen will cause the bone marrow to stop producing red blood cells.

Diagnosis

The condition needs to be differentiated from pure red cell aplasia. In aplastic anemia, the patient has pancytopenia (i.e., leukopenia and thrombocytopenia) resulting in decrease of all formed elements. In contrast, pure red cell aplasia is characterized by reduction in red cells only. The diagnosis can only be confirmed on bone marrow examination. Before this procedure is undertaken, a patient will generally have had other blood tests to find diagnostic clues, including a complete blood count, renal function and electrolytes, liver enzymes, thyroid function tests, vitamin B12 and folic acid levels.

The following tests aid in determining differential diagnosis for aplastic anemia:

  • Bone marrow aspirate and biopsy: to rule out other causes of pancytopenia (i.e. neoplastic infiltration or significant myelofibrosis).
  • History of iatrogenic exposure to cytotoxic chemotherapy: can cause transient bone marrow suppression
  • X-rays, computed tomography (CT) scans, or ultrasound imaging tests: enlarged lymph nodes (sign of lymphoma), kidneys and bones in arms and hands (abnormal in Fanconi anemia)
  • Chest X-ray: infections
  • Liver tests: liver diseases
  • Viral studies: viral infections
  • Vitamin B12 and folate levels: vitamin deficiency
  • Blood tests for paroxysmal nocturnal hemoglobinuria
  • Test for antibodies: immune competency

Treatment

Treating immune-mediated aplastic anemia involves suppression of the immune system, an effect achieved by daily medicine intake, or, in more severe cases, a bone marrow transplant, a potential cure.[17] The transplanted bone marrow replaces the failing bone marrow cells with new ones from a matching donor. The multipotent stem cells in the bone marrow reconstitute all three blood cell lines, giving the patient a new immune system, red blood cells, and platelets. However, besides the risk of graft failure, there is also a risk that the newly created white blood cells may attack the rest of the body ("graft-versus-host disease"). In young patients with an HLA matched sibling donor, bone marrow transplant can be considered as first-line treatment, patients lacking a matched sibling donor typically pursue immunosuppression as a first-line treatment, and matched unrelated donor transplants are considered a second-line therapy.

Medical therapy of aplastic anemia often includes a course of antithymocyte globulin (ATG) and several months of treatment with cyclosporine to modulate the immune system. Chemotherapy with agents such as cyclophosphamide may also be effective but has more toxicity than ATG. Antibody therapy, such as ATG, targets T-cells, which are believed to attack the bone marrow. Corticosteroids are generally ineffective,[18] though they are used to ameliorate serum sickness caused by ATG. Normally, success is judged by bone marrow biopsy 6 months after initial treatment with ATG.[19]

One prospective study involving cyclophosphamide was terminated early due to a high incidence of mortality, due to severe infections as a result of prolonged neutropenia.[19]

In the past, before the above treatments became available, patients with low leukocyte counts were often confined to a sterile room or bubble (to reduce risk of infections), as in the case of Ted DeVita.[20]

Follow-up

Full blood counts are required on a regular basis to determine whether the patient is still in a state of remission.

Many patients with aplastic anemia also have clones of cells characteristic of the rare disease paroxysmal nocturnal hemoglobinuria (PNH, anemia with thrombopenia and/or thrombosis), sometimes referred to as AA/PNH. Occasionally PNH dominates over time, with the major manifestation intravascular hemolysis. The overlap of AA and PNH has been speculated to be an escape mechanism by the bone marrow against destruction by the immune system. Flow cytometry testing is performed regularly in people with previous aplastic anemia to monitor for the development of PNH.

Prognosis

Untreated, severe aplastic anemia has a high risk of death.[21] Modern treatment, by drugs or stem cell transplant, has a five-year survival rate that exceeds 45%, with younger age associated with higher survival.[22]

Survival rates for stem cell transplant vary depending on age and availability of a well-matched donor. Five-year survival rates for patients who receive transplants have been shown to be 42% for patients under age 20, 32% for those 20–40 years old, and closer to 10% for patients over age 40. Success rates are better for patients who have donors that are matched siblings and worse for patients who receive their marrow from unrelated donors.[23]

Older people (who are generally too frail to undergo bone marrow transplants), and people who are unable to find a good bone marrow match, undergoing immune suppression have five-year survival rates of up to 35%.

Relapses are common. Relapse following ATG/ciclosporin use can sometimes be treated with a repeated course of therapy. In addition, 10–15% of severe aplastic anemia cases evolve into myelodysplastic syndrome and leukemia. According to a study, for children who underwent immunosuppressive therapy, about 15.9% of children who responded to immunosuppressive therapy encountered relapse.[24]

Milder disease can resolve on its own.

Word origin

Aplastic is a combination of two ancient Greek elements: a- meaning "not", and -plasis "forming into a shape." [25] Anemia is a combination of the ancient Greek element an- meaning "not", and -emia from new Latin from Greek -(h)aimia "blood."[26]

Epidemiology

Aplastic anemia is a rare, non cancerous disorder where the blood marrow is unable to adequately produce blood cells required for survival.[27][28] It is estimated that the incidence of aplastic anemia is 0.7-4.1 cases per million people worldwide with the prevalence between men and women being approximately equal.[29] The incidence rate of aplastic anemia in Asia is 2-3 times higher than it is in the West, with the incidence of the disease in the United States is 300-900 cases per year.[28][29] The disease most commonly affects adults aged 15-25 and over the age of 60, but the disease can be observed in all age groups.[28] The majority of instances of this disease are acquired during life and not inherited.[27] These acquired cases are often linked to environmental exposures such as chemicals, drugs, and infectious agents that damage the blood marrow and compromise the ability of the marrow to generate new blood cells.[29] However, in many instances the underlying cause for the disease is not found. This is referred to as idiopathic aplastic anemia and accounts for 75% of cases.[28] This compromises the effectiveness of treatment since treatment of the disease is often aimed at the underlying cause.[30] Those with a higher risk for aplastic anemia include individuals that are exposed to high-dose radiation, exposed to toxic chemicals, take certain prescription drugs, have pre-existing autoimmune disorders or blood disease, or are pregnant.[31] The five-year survival rate is higher than 75% among recipients of blood marrow transplantation.[30] Other treatment strategies include medications and blood transfusions.[31] Patients that are untreated will often die within a year as a result of the disease due to related complications, which are most commonly bleeding and infection due to deficiency of platelets and white blood cells, respectively. [30] There is not a screening test that currently exists for early detection and diagnosis of aplastic anemia.[28]

Notable cases

  • Marie Curie[32]
  • Donny Schmit[33]
  • Ted DeVita[34]
  • Demetrio Stratos[35]
  • John Dill (British Field Marshal)[36]

References

  1. "Aplastic Anemia". www.nhlbi.nih.gov. Archived from the original on 24 November 2020. Retrieved 21 November 2020.
  2. Stibbe, KJ; Wildschut, HI; Lugtenburg, PJ (15 February 2011). "Management of aplastic anemia in a woman during pregnancy: a case report". Journal of medical case reports. 5: 66. doi:10.1186/1752-1947-5-66. PMID 21324109.
  3. 1 2 3 4 5 6 7 8 9 10 11 12 13 14 15 16 Moore, CA; Krishnan, K (January 2020). "Aplastic Anemia". PMID 30480951. {{cite journal}}: Cite journal requires |journal= (help)
  4. 1 2 3 4 5 6 "Aplastic Anemia - Hematology and Oncology". Merck Manuals Professional Edition. Archived from the original on 9 November 2020. Retrieved 21 November 2020.
  5. 1 2 Rodak, Bernadette F.; Fritsma, George A.; Doig, Kathryn (2007). Hematology: Clinical Principles and Applications. Elsevier Health Sciences. p. 262. ISBN 978-1-4160-3006-5. Archived from the original on 2021-08-27. Retrieved 2021-02-18.
  6. 1 2 3 4 Young, Neal S. (2018-10-25). "Aplastic Anemia". The New England Journal of Medicine. 379 (17): 1643–1656. doi:10.1056/NEJMra1413485. ISSN 1533-4406. PMC 6467577. PMID 30354958.
  7. 1 2 3 "Aplastic anemia | Genetic and Rare Diseases Information Center (GARD) – an NCATS Program". rarediseases.info.nih.gov. Archived from the original on 27 November 2020. Retrieved 21 November 2020.
  8. Mamourian, Alexander C. (2013). CT Imaging: Practical Physics, Artifacts, and Pitfalls. OUP USA. p. 38. ISBN 978-0-19-978260-4. Archived from the original on 2021-08-27. Retrieved 2021-02-18.
  9. 1 2 Peinemann, F; Bartel, C; Grouven, U (23 July 2013). "First-line allogeneic hematopoietic stem cell transplantation of HLA-matched sibling donors compared with first-line ciclosporin and/or antithymocyte or antilymphocyte globulin for acquired severe aplastic anemia". The Cochrane Database of Systematic Reviews. 7 (7): CD006407. doi:10.1002/14651858.CD006407.pub2. PMC 6718216. PMID 23881658.
  10. Park, Albert K.; Waheed, Anem; Forst, Deborah A.; Al-Samkari, Hanny (14 October 2021). "Characterization and Prognosis of Temozolomide-Induced Aplastic Anemia in Patients with Central Nervous System Malignancies". Neuro-Oncology: noab240. doi:10.1093/neuonc/noab240. ISSN 1523-5866. Archived from the original on 10 February 2022. Retrieved 9 February 2022.
  11. Kasper, Dennis L; Braunwald, Eugene; Fauci, Anthony; et al. (2005). Harrison's Principles of Internal Medicine, 16th ed. New York: McGraw-Hill. ISBN 978-0-07-140235-4.
  12. Merck Manual, Professional Edition Archived 2015-03-13 at the Wayback Machine Archived 2015-03-13 at the Wayback Machine, Aplastic Anemia (Hypoplastic Anemia)
  13. Adias; Erhabor (2013-02-11). Haematology Made Easy. AuthorHouse. pp. 229–. ISBN 978-1-4772-4651-1. Archived from the original on 2019-12-17. Retrieved 2018-10-29.
  14. "Marie Curie - The Radium Institute (1919-1934): Part 3". American Institute of Physics. Archived from the original on 2017-05-02. Retrieved 2018-10-29.
  15. Clark, Michael; Kumar, Parveen, eds. (July 2011). Kumar & Clark's clinical medicine (7th ed.). Edinburgh: Saunders Elsevier. ISBN 978-0-7020-2992-9.
  16. Aplastic Anemia: New Insights for the Healthcare Professional. ScholarlyEditions. 22 July 2013. p. 39. ISBN 9781481663182.
  17. Locasciulli A, Oneto R, Bacigalupo A, et al. (2007). "Outcome of patients with acquired aplastic anemia given first line bone marrow transplantation or immunosuppressive treatment in the last decade: a report from the European Group for Blood and Marrow Transplantation (EBMT)". Haematologica. 92 (1): 11–8. doi:10.3324/haematol.10075. PMID 17229630.
  18. Gale, Robert Peter (1981-10-01). "Aplastic Anemia: Biology and Treatment". Annals of Internal Medicine. 95 (4): 477–94. doi:10.7326/0003-4819-95-4-477. ISSN 0003-4819. PMID 6116472.
  19. 1 2 Tisdale JF, Maciejewski JP, Nunez O, et al. (2002). "Late complications following treatment for severe aplastic anemia (SAA) with high-dose cyclophosphamide (Cy): follow-up of a randomized trial". Blood. 100 (13): 4668–4670. doi:10.1182/blood-2002-02-0494. PMID 12393567.
  20. "NIH Clinical Center: Clinical Center News, NIH Clinical Center". Archived from the original on 2017-02-17. Retrieved 2007-12-04.
  21. Gamper CJ (Nov 2016). "High-Dose Cyclophosphamide is Effective Therapy for Pediatric Severe Aplastic Anemia". 38 (8). Journal of Pediatric Hematology Oncology. doi:10.1097/MPH.0000000000000647. PMID 27467367. Archived from the original on 27 August 2021. Retrieved 15 Sep 2020. {{cite journal}}: Cite journal requires |journal= (help)
  22. DeZern, Amy E; Brodsky, Robert A (10 January 2014). "Clinical management of aplastic anemia". Expert Review of Hematology. 4 (2): 221–230. doi:10.1586/ehm.11.11. PMC 3138728. PMID 21495931.
  23. Scheinberg, Phillip; Young, Neal S. (April 19, 2012). "How I treat acquired aplastic anemia". Blood. 120 (6): 1185–96. doi:10.1182/blood-2011-12-274019. PMC 3418715. PMID 22517900. Free Text
  24. Kamio, T.; Ito, E.; Ohara, A.; Kosaka, Y.; Tsuchida, M.; Yagasaki, H.; Mugishima, H.; Yabe, H.; Morimoto, A.; Ohga, S.; Muramatsu, H.; Hama, A.; Kaneko, T.; Nagasawa, M.; Kikuta, A.; Osugi, Y.; Bessho, F.; Nakahata, T.; Tsukimoto, I.; Kojima, S. (21 March 2011). "Relapse of aplastic anemia in children after immunosuppressive therapy: a report from the Japan Childhood Aplastic Anemia Study Group". Haematologica. 96 (6): 814–819. doi:10.3324/haematol.2010.035600. PMC 3105642. PMID 21422115. In the present study, the cumulative incidence of relapse at 10 years was relatively low compared to that in other studies mainly involving adult patients. A multicenter prospective study is warranted to establish optimal therapy for children with aplastic anemia.
  25. Flexner, Stuart; Hauck, Leonore, eds. (1993). Random House Unabridged Dictionary (2nd ed.). New York City: Random House. p. 98. ISBN 0-679-42917-4.
  26. Flexner, Stuart; Hauck, Leonore, eds. (1993). Random House Unabridged Dictionary (2nd ed.). New York City: Random House. p. 78. ISBN 0-679-42917-4.
  27. 1 2 "What is aplastic anaemia?". Archived from the original on 2019-11-18.
  28. 1 2 3 4 5 "December Is National Aplastic Anemia Awareness Month" (PDF). Archived (PDF) from the original on 2019-12-06.
  29. 1 2 3 Issaragrisil, Surapol; Kaufman, David W.; Anderson, Theresa; Chansung, Kanchana; Leaverton, Paul E.; Shapiro, Samuel; Young, Neal S. (2006-02-15). "The epidemiology of aplastic anemia in Thailand". Blood. 107 (4): 1299–1307. doi:10.1182/blood-2005-01-0161. ISSN 0006-4971. PMC 1895423. PMID 16254144.
  30. 1 2 3 Moore, Christine A.; Krishnan, Koyamangalath (2019), "Aplastic Anemia", StatPearls, StatPearls Publishing, PMID 30480951, archived from the original on 2020-03-07, retrieved 2019-12-05
  31. 1 2 "Aplastic Anemia". Archived from the original on 2019-10-21.
  32. Rollyson, Carl (2004). Marie Curie: Honesty In Science. iUniverse. p. x. ISBN 978-0-595-34059-0.
  33. "AMA Motorcycle Museum Hall of Fame | Donny Schmit". www.motorcyclemuseum.org. Archived from the original on 2018-01-19. Retrieved 2019-06-20.
  34. "Oncologist Discusses Advancements In Treatment And The Ongoing War On Cancer". NPR.org. October 28, 2015. Archived from the original on December 3, 2018. Retrieved June 28, 2019.
  35. Pavese, Antonella (22 October 2006). "The life and times of Demetrio Stratos". AntonellaPavese.com. Archived from the original on 27 July 2011. Retrieved 19 August 2019.
  36. Danchev, Alex (1991). "The Strange Case of Field Marshal Sir John Dill" (PDF). cambridge.org.com. Archived (PDF) from the original on 27 July 2018. Retrieved 15 October 2019.
Classification
External resources
This article is issued from Wmcloud. The text is licensed under Creative Commons - Attribution - Sharealike. Additional terms may apply for the media files.