Anaplastic astrocytoma

Anaplastic astrocytoma
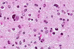
Micrograph of an anaplastic astrocytoma. H&E stain.
SpecialtyNeuro-oncology, Neurosurgery

Anaplastic astrocytoma is a rare WHO grade III type of astrocytoma, which is a type of cancer of the brain. In the United States, the annual incidence rate for anaplastic astrocytoma is 0.44 per 100,000 people.[1]

Signs and symptoms

Initial presenting symptoms most commonly are headache, depressed mental status, focal neurological deficits, and/or seizures.[2] The growth rate and mean interval between onset of symptoms and diagnosis is approximately 1.5–2 years but is highly variable,[2] being intermediate between that of low-grade astrocytomas and glioblastomas.[2] Seizures are less common among patients with anaplastic astrocytomas compared to low-grade lesions.[2]

Causes

Most high-grade gliomas occur sporadically or without identifiable cause.[3] However, a small proportion (less than 5%) of persons with malignant astrocytoma has a definite or suspected hereditary predisposition.[4] The main hereditary predispositions are mainly neurofibromatosis type I, Li-Fraumeni syndrome, hereditary nonpolyposis colorectal cancer and tuberous sclerosis.[3] Anaplastic astrocytomas have also been associated with previous exposure to vinyl chloride and to high doses of radiation therapy to the brain.[3]

Pathology

Ki 67 proliferative index 10% per 10 HPF in anaplastic astrocytoma.

Anaplastic astrocytomas fall under the category of high grade gliomas (WHO grade III-IV), which are pathologically undifferentiated gliomas that carry a poor clinical prognosis. Unlike glioblastomas (WHO grade IV), anaplastic astrocytomas lack vascular proliferation and necrosis on pathologic evaluation.[5] Compared to grade II tumors, anaplastic astrocytomas are more cellular, demonstrate more atypia, and mitoses are seen.

Diagnosis

The diagnosis of this condition is done via the following:[6]

  • Clinical evaluation
  • Medical history
  • Imaging techniques

Treatment

The standard initial treatment is to remove as much of the tumor as possible without worsening neurologic deficits. Radiation therapy has been shown to prolong survival and is a standard component of treatment. There is no proven benefit to adjuvant chemotherapy or supplementing other treatments for this kind of tumor. Although temozolomide is effective for treating recurrent anaplastic astrocytoma, its role as an adjuvant to radiation therapy has not been fully tested.[7]

Quality of life after treatment depends heavily on the area of the brain that housed the tumor. In many cases, patients with anaplastic astrocytoma may experience various types of paralysis, speech impediments, difficulties planning and skewed sensory perception. Most cases of paralysis and speech difficulties can be rehabilitated with speech, occupational, physical, and vision therapy.

Prognosis

The age-standardized 5-year relative survival rate is 23.6%.[8] Patients with this tumor are 46 times more likely to die than matched members of the general population.[8] It is important to note that prognosis across age groups is different especially during the first three years post-diagnosis. When the elderly population is compared with young adults, the excess hazard ratio (a hazard ratio that is corrected for differences in mortality across age groups) decreases from 10.15 to 1.85 at 1 to 3 years, meaning that the elderly population are much more likely to die in the first year post-diagnosis when compared to young adults (aged 15 to 40), but after three years, this difference is reduced markedly.[8] Typical median survival for anaplastic astrocytoma is 2–3 years. Secondary progression to glioblastoma multiforme is common. Radiation, younger age, female sex, treatment after 2000, and surgery were associated with improved survival in AA patients.[9]

References

  1. Dropcho EJ (2011). "Malignant astrocytomas - Epidemiology". MedMerits Corporation. Archived from the original on 1 September 2014.
  2. 1 2 3 4 Kennedy BC, Bruce JN, Shepard RC (8 December 2020). Talavera F, Engelhard HH (eds.). "Astrocytoma". Medscape. WebMD, LLC. Archived from the original on 6 April 2020. Retrieved 14 January 2022.
  3. 1 2 3 "Anaplastic Astrocytoma". Children's Hospital Boston. Archived from the original on 7 July 2010. Retrieved 1 August 2010.
  4. Dropcho EJ (December 7, 2009) [November 11, 1996]. "Malignant astrocytomas". medlink.com.{{cite web}}: CS1 maint: url-status (link)
  5. DeWitt J (14 January 2020). Zynger DL (ed.). "Anaplastic astrocytoma". PathologyOutlines.com, Inc. Archived from the original on 18 November 2019. Retrieved 14 January 2022.
  6. "Anaplastic Astrocytoma". NORD (National Organization for Rare Disorders). Archived from the original on 3 August 2019. Retrieved 21 January 2022.
  7. Strowd RE, Abuali I, Ye X, Lu Y, Grossman SA (March 2016). "The role of temozolomide in the management of patients with newly diagnosed anaplastic astrocytoma: a comparison of survival in the era prior to and following the availability of temozolomide". Journal of Neuro-Oncology. 127 (1): 165–171. doi:10.1007/s11060-015-2028-2. PMC 4787612. PMID 26729269.
  8. 1 2 3 Smoll NR, Hamilton B (October 2014). "Incidence and relative survival of anaplastic astrocytomas". Neuro-Oncology. 16 (10): 1400–1407. doi:10.1093/neuonc/nou053. PMC 4165416. PMID 24723565.
  9. Nuño M, Birch K, Mukherjee D, Sarmiento JM, Black KL, Patil CG (September 2013). "Survival and prognostic factors of anaplastic gliomas". Neurosurgery. 73 (3): 458–65, quiz 465. doi:10.1227/01.neu.0000431477.02408.5e. PMID 23719055.
This article is issued from Wmcloud. The text is licensed under Creative Commons - Attribution - Sharealike. Additional terms may apply for the media files.