Amoebic liver abscess
| Amoebic hepatic abscess | |
|---|---|
![]() | |
| Gross pathology of liver containing amoebic abscess | |
A amoebic liver abscess is a type of liver abscess caused by amebiasis.[1] It is the involvement of liver tissue by trophozoites of the organism Entamoeba histolytica and of its abscess due to necrosis.
Signs and symptoms
Approximately 90% of patients with E histolytica are asymptomatic.[2] The two most common manifestations of E histolytica include colitis (bloody stool with mucus, abdominal pain, and/or diarrhea), and discovery of a liver abscess on imaging.[2]Liver abscess' commonly present as right upper quadrant abdominal pain and fever, with worsening features associated with abscess rupture.[2]
- Pain right hypochondrium referred to the right shoulder
- Pyrexia (100.4 F)
- Profuse sweating and rigors
- Loss of weight
- Earthy complexion
- Pallor
- Tenderness and rigidity in right hypochondrium
- Palpable liver
- Intercostal tenderness
- Basal lung signs
Diagnosis
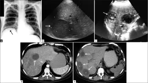
a) Amoebic liver abscess showing the elevation of the right hemi-diaphragm b)single large amoebic abscess and c) three amoebic hepatic abscesses. d) Contrasted computed tomography (CT) scan of a single abscess and e) three clear amoebic liver abscesses
Magnetic resonance cholangiopancreatography (MRC) image showing a voluminous and heterogeneous collection in the left liver lobe (amoebic abscess)
Diagnosis is primarily made by identifying stool ova and parasites on stool antigen testing in the presence of colitis, or E histolytica serology.[2]
- Blood ceruloplasmin
- Haemoglobin estimation
- Stools examination (trophozoites and cysts)
- Radiography
- Aspiration exploratory
- Medical ultrasonography and CT scanning
- Sigmoidoscopy
- Liver function tests
- Serological tests
Treatment
The management of Amoebic liver abscrss is based on Metronidazole at a dose of 500 to 750 mg orally 3 times/day; treatment should be followed by Paromomycin 500 mg 3 times/day (7 days)[3]
Rodent models

Due to the difficulty of exploring host and amebic factors involved in the pathogenesis of amebic liver abscess in humans, most studies have been conducted with animal models (e.g., mice, gerbils, and hamsters). Histopathological findings revealed that the chronic phase of amebic liver abscess in humans corresponds to lytic or liquefactive necrosis, whereas in rodent models there is granulomatous inflammation. However, the use of animal models has provided important information on molecules and mechanisms of the host/parasite interaction in amebic liver abscess.[4]
References
- ↑ Nespola, Benoît; Betz, Valérie; Brunet, Julie; Gagnard, Jean-Charles; Krummel, Yves; Hansmann, Yves; Hannedouche, Thierry; Christmann, Daniel; Pfaff, Alexander W.; Filisetti, Denis; Pesson, Bernard; Abou-Bacar, Ahmed; Candolfi, Ermanno (2015). "First case of amebic liver abscess 22 years after the first occurrence". Parasite. 22: 20. doi:10.1051/parasite/2015020. ISSN 1776-1042. PMC 4472968. PMID 26088504.

- 1 2 3 4 Wuerz, T; Kane, JB; Boggild, AK; Krajden, S; Keystone, JS; Fuksa, M; Kain, KC; Warren, R; Kempston, J; Anderson, J (October 2012). "A review of amoebic liver abscess for clinicians in a nonendemic setting". Canadian Journal of Gastroenterology. 26 (10): 729–33. doi:10.1155/2012/852835. PMC 3472914. PMID 23061067.
- ↑ Jackson-Akers, Jasmine Y.; Prakash, Vidhya; Oliver, Tony I. (2022). "Amebic Liver Abscess". StatPearls. StatPearls Publishing. Archived from the original on 2022-08-07. Retrieved 2022-08-05.
- 1 2 Campos-Rodríguez, Rafael; Gutiérrez-Meza, Manuel; Jarillo-Luna, Rosa Adriana; Drago-Serrano, María Elisa; Abarca-Rojano, Edgar; Ventura-Juárez, Javier; Cárdenas-Jaramillo, Luz María; Pacheco-Yepez, Judith (2016). "A review of the proposed role of neutrophils in rodent amebic liver abscess models". Parasite. 23: 6. doi:10.1051/parasite/2016006. ISSN 1776-1042. PMC 4754534. PMID 26880421.
External links
| Classification | |
|---|---|
| External resources |
