Acute beryllium poisoning

Acute beryllium poisoning
Beryllium
SpecialtyOccupational medicine

Acute beryllium poisoning is acute chemical pneumonia resulting from the toxic effect of beryllium in its elemental form or in various chemical compounds, and is distinct from berylliosis (also called chronic beryllium disease). After occupational safety procedures were put into place following the realization that the metal caused berylliosis around 1950, acute beryllium poisoning became extremely rare.[1]

Signs and symptoms

Generally associated with exposure to beryllium levels at or above 100 μg/m3,[1] it produces severe cough, sore nose and throat, weight loss, labored breathing, anorexia, and increased fatigue.[2]:46

In addition to beryllium's toxicity when inhaled, when brought into contact with skin at relatively low doses, beryllium can cause local irritation and contact dermatitis, and contact with skin that has been scraped or cut may cause rashes or ulcers.[3] Beryllium dust or powder can irritate the eyes.[4]

Risk factors

Beryllium ore

Acute beryllium poisoning is an occupational disease.[1]

Relevant occupations are those where beryllium is mined, processed or converted into metal alloys, or where machining of metals containing beryllium or recycling of scrap alloys occurs.[5]

Metallographic preparation equipment and laboratory work surfaces must be damp-wiped occasionally to inhibit buildup of particles. Cutting, grinding, and polishing procedures that generate dust or fumes must be handled within sufficiently vented coverings supplied with particulate filters.[6]

Diagnosis

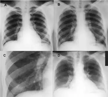
a)Normal b) episode of acute work-related illness -nodular infiltrate c) close-up d)reduced lung volumes

The diagnosis for this condition is based on the following:[7]

  • Chest X-ray
  • Pulmonary function test
  • Medical history
  • Physical findings

Management

Therapy is supportive and includes removal from further beryllium exposure.[1] For very severe cases mechanical ventilation may be required.[8]

Prognosis

The signs and symptoms of acute beryllium pneumonitis usually resolve over several weeks to months, but may be fatal in 10 percent of cases,[1] and about 15–20% of cases may progress to chronic beryllium disease.[9]

Acute beryllium poisoning approximately doubles the risk of lung cancer.[10] The mechanism by which beryllium is carcinogenic is unclear, but may be due to ionic beryllium binding to nucleic acids; it is not mutagenic.[10]

History

Acute beryllium disease was first reported in Europe in 1933 and in the United States in 1943.[11]

References

  1. 1 2 3 4 5 OSHA Beryllium Health Effects Archived 12 October 2016 at the Wayback Machine Page accessed March 29, 2016
  2. Agency for Toxic Substances and Disease Registry. September 2002 Toxicological Profile: Beryllium Archived 10 May 2016 at the Wayback Machine. See also 2009 Addendum Archived 20 March 2021 at the Wayback Machine
  3. Agency for Toxic Substances and Disease Registry via the CDC. TOX FAQs: Beryllium Archived 4 February 2021 at the Wayback Machine Page last reviewed: March 3, 2011. Page last updated: June 3, 2015
  4. NIOSH International Chemical Safety Cards: Beryllium Archived 23 November 2017 at the Wayback Machine Page last reviewed: July 22, 2015. Page last updated: July 1, 2014
  5. ATSDR. ToxGuide for Beryllium Archived 28 October 2020 at the Wayback Machine September 2002
  6. Batich, Ray and James M. Marder. (1985) Beryllium In (Ed. 9), Metals Handbook: Metallography and Microstructures (pp. 389-391). Metals Park, Ohio: American Society for Metals.
  7. "Berylliosis". NORD (National Organization for Rare Disorders). Archived from the original on 28 April 2021. Retrieved 23 November 2021.
  8. Newman, LS for the Merck Manual. Beryllium Disease Archived 5 March 2021 at the Wayback Machine Last full review/revision May 2014
  9. Hardy, HL (1965). "Beryllium poisoning--lessons in control of man-made disease". The New England Journal of Medicine. 273 (22): 1188–99. doi:10.1056/NEJM196511252732205. PMID 5847559.
  10. 1 2 National Toxicology Program, Department of Health and Human Services. Report on Carcinogens, Thirteenth Edition Beryllium and Beryllium Compounds
  11. Lang, Leslie (June–July 1994). "Beryllium: A Chronic Problem". Environmental Health Perspectives. 102 (6–7): 526–31. doi:10.1289/ehp.94102526. PMC 1569745. PMID 9679108.

 This article incorporates public domain material from the Occupational Safety and Health Administration document: "Beryllium". Retrieved 28 March 2016.  This article incorporates public domain material from the United States Department of Health and Human Services website http://www.atsdr.cdc.gov/toxguides/toxguide-4.pdf.

Classification
This article is issued from Wmcloud. The text is licensed under Creative Commons - Attribution - Sharealike. Additional terms may apply for the media files.