Abiraterone acetate

Abiraterone acetate
Names
Pronunciationa" bir a' ter one
Trade namesZytiga, Yonsa, others
Other namesCB-7630; JNJ-212082; 17-(3-Pyridinyl)androsta-5,16-dien-3β-ol acetate, abiraterone (BAN UK), abiraterone acetate (JAN JP), abiraterone acetate (USAN US)
IUPAC name
  • [(3S,8R,9S,10R,13S,14S)-10,13-dimethyl-17-pyridin-3-yl-2,3,4,7,8,9,11,12,14,15-decahydro-1H-cyclopenta[a]phenanthren-3-yl] acetate
Clinical data
Drug classAntineoplastic
Main usesProstate cancer[1]
Side effectsTiredness, vomiting, headache, joint pain, high blood pressure, swelling, low blood potassium, high blood sugar, hot flashes, diarrhea, cough[1]
WHO AWaReUnlinkedWikibase error: ⧼unlinkedwikibase-error-statements-entity-not-set⧽
Pregnancy
category
  • AU: D[2]
  • US: N (Not classified yet)[2]
    Routes of
    use
    By mouth (tablets)[3][4]
    Defined daily doseNot established[5]
    External links
    AHFS/Drugs.comMonograph
    MedlinePlusa611046
    Legal
    License data
    Legal status
    Pharmacokinetics
    BioavailabilityUnknown, but may be 50% at most on empty stomach[8]
    Protein bindingAbiraterone: ~99.8% (to albumin and α1-AGp)[8][3][9]
    MetabolismEsterases, CYP3A4, SULT2A1[9]
    MetabolitesAbiraterone, others[3][8]
    Elimination half-lifeAbiraterone: 12–24 hours[3][8][4]
    ExcretionFeces: 88%[3][9]
    Urine: 5%[3][9][4]
    Chemical and physical data
    FormulaC26H33NO2
    Molar mass391.555 g·mol−1
    3D model (JSmol)
    Melting point144 to 145 °C (291 to 293 °F) [10]
    SMILES
    • CC(=O)O[C@H]1CC[C@@]2([C@H]3CC[C@]4([C@H]([C@@H]3CC=C2C1)CC=C4C5=CN=CC=C5)C)C
    InChI
    • InChI=1S/C26H33NO2/c1-17(28)29-20-10-12-25(2)19(15-20)6-7-21-23-9-8-22(18-5-4-14-27-16-18)26(23,3)13-11-24(21)25/h4-6,8,14,16,20-21,23-24H,7,9-13,15H2,1-3H3/t20-,21-,23-,24-,25-,26+/m0/s1 checkY
    • Key:UVIQSJCZCSLXRZ-UBUQANBQSA-N checkY

    Abiraterone acetate, sold under the brand name Zytiga among others, is a medication used to treat prostate cancer.[1] Specifically it is used together with a corticosteroid for metastatic castration-resistant prostate cancer (mCRPC) and metastatic high-risk castration-sensitive prostate cancer (mCSPC).[3][4] It should either be used following removal of the testicles or along with a gonadotropin-releasing hormone (GnRH) analog.[3] It is taken by mouth.[1]

    Common side effects include tiredness, vomiting, headache, joint pain, high blood pressure, swelling, low blood potassium, high blood sugar, hot flashes, diarrhea, and cough.[1][3] Other severe side effects may include liver failure and adrenocortical insufficiency.[3] In males whose partners can become pregnant, birth control is recommended.[3] Supplied as abiraterone acetate it is converted in the body to abiraterone.[3] Abiraterone acetate works by suppressing the production of androgens – specifically it inhibits CYP17A1 – and thereby decreases the production of testosterone.[1] In doing so, it prevents the effects of these hormones in prostate cancer.[1]

    Abiraterone acetate was described in 1995, and approved for medical use in the United States and Europe in 2011.[11][3] It is on the World Health Organization's List of Essential Medicines.[12] In the United Kingdom it costs the NHS £2,700 a month as of 2018.[13] In the United States this amount costs US$3,300 as of 2019.[14] The medication is marketed widely throughout the world.[15]

    Medical uses

    Prostate cancer

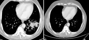
    Individual with metastatic castration-resistant prostate cancer after initiation of abiraterone result in response 6 months after starting

    Abiraterone acetate is used in combination with prednisone, a corticosteroid, as a treatment for mCRPC (previously called hormone-resistant or hormone-refractory prostate cancer).[3][16][7][6] This is a form of prostate cancer that is not responding to first-line androgen deprivation therapy or treatment with androgen receptor antagonists. Abiraterone acetate has received Food and Drug Administration (FDA) (28 April 2011), European Medicines Agency (EMA) (23 September 2011), Medicines and Healthcare products Regulatory Agency (MHRA) (5 September 2011) and Therapeutic Goods Administration (TGA) (1 March 2012) approval for this indication.[3][16][7][6] In Australia it is covered by the Pharmaceutical Benefits Scheme when being used to treat castration-resistant prostate cancer and given in combination with prednisone/prednisolone (subject to the conditions that the patient is not currently receiving chemotherapy, is either resistant or intolerant of docetaxel, has a WHO performance status of <2, and his disease has not since become progressive since treatment with PBS-subsidised abiraterone acetate has commenced).[17]

    Abiraterone acetate may be useful for prevention of the testosterone flare at the initiation of GnRH agonist therapy in men with prostate cancer.[18]

    In people previously treated with docetaxel survival is increased by 3.9 months (14.8 months versus 10.9 months for placebo).[19]

    In people with castration-refractory prostate cancer but who had not received chemotherapy those who received abiraterone acetate had a progression-free survival of 16.5 months rather than 8.3 months with placebo. After a median follow-up period of 22.2 months, overall survival was better with abiraterone acetate.[20]

    Dosage

    The defined daily dose is not established.[21][5]

    Contraindications

    Contraindications include hypersensitivity to abiraterone acetate. Although documents state that it should not be taken by women who are or who may become pregnant,[16][22] there is no medical reason that any woman should take it. Women who are pregnant should not even touch the pills unless they are wearing gloves.[22] Other cautions include severe baseline hepatic impairment, mineralocorticoid excess, cardiovascular disease including heart failure and hypertension, uncorrected hypokalemia, and adrenocorticoid insufficiency.[23]

    Side effects

    Side effects by frequency:[3][16][7][6][23]

    Very common (>10% frequency):

    Common (1-10% frequency):

    Uncommon (0.1-1% frequency):

    Rare (<0.1% frequency):

    Overdose

    Experience with overdose of abiraterone acetate is limited.[3] There is no specific antidote for abiraterone acetate overdose, and treatment should consist of general supportive measures, including monitoring of cardiac and liver function.[3]

    Interactions

    Abiraterone acetate is a CYP3A4 substrate and hence should not be administered concurrently with strong CYP3A4 inhibitors such as ketoconazole, itraconazole, clarithromycin, atazanavir, nefazodone, saquinavir, telithromycin, ritonavir, indinavir, nelfinavir, voriconazole) or inducers such as phenytoin, carbamazepine, rifampin, rifabutin, rifapentine, phenobarbital.[23][22] It also inhibits CYP1A2, CYP2C9, and CYP3A4 and likewise should not be taken concurrently with substrates of any of these enzymes that have a narrow therapeutic index.[23][22]

    Spironolactone generally exerts anti-androgenic effects, but experimental evidence exists that it acts as an androgen receptor agonist in an androgen-depleted environment, capable of inducing prostate cancer proliferation.[24] This is supported by the observations described in several case reports.[25] Therefore, spironolactone should be avoided in prostate cancer people with treatment-associated mineralocorticoid side effects of abiraterone acetate.

    Pharmacology

    Pharmacodynamics

    Abiraterone, the active metabolite of abiraterone acetate.

    Antiandrogenic activity

    Abiraterone, the active metabolite of abiraterone acetate, inhibits CYP17A1, which manifests as two enzymes, 17α-hydroxylase (IC50 = 2.5 nM) and 17,20-lyase (IC50 = 15 nM) (approximately 6-fold more selective for inhibition of 17α-hydroxylase over 17,20-lyase)[26][27] that are expressed in testicular, adrenal, and prostatic tumor tissues. CYP17A1 catalyzes two sequential reactions: (a) the conversion of pregnenolone and progesterone to their 17α-hydroxy derivatives by its 17α-hydroxylase activity, and (b) the subsequent formation of dehydroepiandrosterone (DHEA) and androstenedione, respectively, by its 17,20-lyase activity.[28] DHEA and androstenedione are androgens and precursors of testosterone. Inhibition of CYP17A1 activity by abiraterone acetate thus decreases circulating levels of androgens such as DHEA, testosterone, and dihydrotestosterone (DHT). Abiraterone acetate, via abiraterone, has the capacity to lower circulating testosterone levels to less than 1 ng/dL (i.e., undetectable) when added to castration.[26][29] These concentrations are considerably lower than those achieved by castration alone (~20 ng/dL).[29] The addition of abiraterone acetate to castration was found to reduce levels of DHT by 85%, DHEA by 97 to 98%, and androstenedione by 77 to 78% relative to castration alone.[29] In accordance with its antiandrogenic action, abiraterone acetate decreases the weights of the prostate gland, seminal vesicles, and testes.[30]

    Abiraterone also acts as a partial antagonist of the androgen receptor (AR), and as an inhibitor of the enzymes 3β-hydroxysteroid dehydrogenase (3β-HSD), CYP11B1 (steroid 11β-hydroxylase), CYP21A2 (Steroid 21-hydroxylase), and other CYP450s (e.g., CYP1A2, CYP2C9, and CYP3A4).[23][31][32][33] In addition to abiraterone itself, part of the activity of the drug has been found to be due to a more potent active metabolite, δ4-abiraterone (D4A), which is formed from abiraterone by 3β-HSD.[34] D4A is an inhibitor of CYP17A1, 3β-hydroxysteroid dehydrogenase/Δ5-4 isomerase, and 5α-reductase, and has also been found to act as a competitive antagonist of the AR reportedly comparable to the potent antagonist enzalutamide.[34] However, the initial 5α-reduced metabolite of D4A, 3-keto-5α-abiraterone, is an agonist of the AR, and promotes prostate cancer progression.[35] Its formation can be blocked by the coadministration of dutasteride, a potent and selective 5α-reductase inhibitor.[35]

    Estrogenic activity

    There has been interest in the use of abiraterone acetate for the treatment of breast cancer due to its ability to lower estrogen levels.[36] However, abiraterone has been found to act as a direct agonist of the estrogen receptor, and induces proliferation of human breast cancer cells in vitro.[36] If abiraterone acetate is used in the treatment of breast cancer, it should be combined with an estrogen receptor antagonist like fulvestrant.[36] In spite of its antiandrogenic and estrogenic properties, abiraterone acetate does not appear to produce gynecomastia as a side effect.[37]

    Other activities

    Due to inhibition of glucocorticoid biosynthesis, abiraterone acetate can cause glucocorticoid deficiency, mineralocorticoid excess, and associated adverse effects.[38] This is why the medication is combined with prednisone, a corticosteroid, which serves as a means of glucocorticoid replacement and prevents mineralocorticoid excess.[39]

    Abiraterone acetate, along with galeterone, has been identified as an inhibitor of sulfotransferases (SULT2A1, SULT2B1b, SULT1E1), which are involved in the sulfation of DHEA and other endogenous steroids and compounds, with Ki values in the sub-micromolar range.[40]

    Pharmacokinetics

    After oral administration, abiraterone acetate, the prodrug form in the commercial preparation, is converted into the active form, abiraterone. This conversion is likely to be esterase-mediated and not CYP-mediated. Administration with food increases absorption of the drug and thus has the potential to result in increased and highly variable exposures; the drug should be consumed on an empty stomach at least one hour before or two hours after food. The drug is highly protein bound (>99%), and is metabolised in the liver by CYP3A4 and SULT2A1 to inactive metabolites. The drug is excreted in feces (~88%) and urine (~5%), and has a terminal half-life of 12 ± 5 hours.[22]

    Chemistry

    Abiraterone acetate, also known as 17-(3-pyridinyl)androsta-5,16-dien-3β-ol acetate, is a synthetic androstane steroid and a derivative of androstadienol (androsta-5,16-dien-3β-ol), an endogenous androstane pheromone.[41] It is specifically a derivative of androstadienol with a pyridine ring attached at the C17 position and an acetate ester attached to the C3β hydroxyl group.[41] Abiraterone acetate is the C3β acetate ester of abiraterone.[41]

    History

    In the early 1990s, Mike Jarman, Elaine Barrie, and Gerry Potter of the Cancer Research UK Centre for Cancer Therapeutics in the Institute of Cancer Research in London set out to develop drug treatments for prostate cancer. With the nonsteroidal androgen synthesis inhibitor ketoconazole as a model, they developed abiraterone acetate, filing a patent in 1993 and publishing the first paper describing it the following year.[11][42] Rights for commercialization of the drug were assigned to BTG, a UK-based specialist healthcare company. BTG then licensed the product to Cougar Biotechnology, which began development of the commercial product.[43] In 2009, Cougar was acquired by Johnson & Johnson, which developed and sells the commercial product, and is conducting ongoing clinical trials to expand its clinical uses.[44]

    Abiraterone acetate was approved by the United States Food and Drug Administration on 28 April 2011 for mCRPC.[45][46] The FDA press release made reference to a phase III clinical trial in which abiraterone acetate use was associated with a median survival of 14.8 months versus 10.9 months with placebo; the study was stopped early because of the successful outcome.[47] Abiraterone acetate was also licensed by the European Medicines Agency.[48] Until May 2012 the National Institute for Health and Clinical Excellence (NICE) did not recommend use of the drug within the NHS on cost-effectiveness grounds. This position was reversed when the manufacturer submitted revised costs.[49] The use is currently limited to men who have already received one docetaxel-containing chemotherapy regimen.[50][51] It was subsequently approved for the treatment of mCSPC in 2018.[52]

    Society and culture

    Names

    Abiraterone is the INN and BAN of abiraterone acetate's major active metabolite abiraterone.[15][53] Abiraterone acetate is the USAN, BANM, and JAN of abiraterone acetate.[15] It is also known by its developmental code names CB-7630 and JNJ-212082, while CB-7598 was the developmental code name of abiraterone.[15][54]

    Abiraterone acetate is marketed by Janssen Biotech (a subsidiary of Johnson & Johnson) under the brand name Zytiga,[15] and by Sun Pharmaceutical under the brand name Yonsa.[15]

    Generic versions of abiraterone acetate have been approved in the United States.[55] Generic versions of Yonsa are not available as of November 2019.[56] In May 2019, the United States Court of Appeals for the Federal Circuit upheld a Patent Trial and Appeal Board decision invalidating a patent by Johnson & Johnson on abiraterone acetate.[57]

    Intas Pharmaceuticals markets the drug under the brand name Abiratas, Cadila Pharmaceuticals markets the drug as Abretone, and Glenmark Pharmaceuticals as Abirapro. It is marketed as Yonsa by Sun Pharmaceutical Industries (licensed from Churchill Pharmaceuticals).[58][59]

    Available forms

    Abiraterone acetate is available in the form of 250 mg and 500 mg film-coated oral tablets and 250 mg uncoated oral tablets.[3] It is used at a dosage of 1,000 mg by mouth once per day an empty stomach, in conjunction with castration (via GnRH analogue therapy or orchiectomy) and in combination with 5 mg prednisone orally twice per day.[3]

    Abiraterone acetate is also available in the form of micronized 125 mg tablets used once per day at 500 mg in combination with methylprednisolone 4 mg taken twice per day with or without food.[4]

    Abiraterone acetate is marketed widely throughout the world, including in the United States, Canada, the United Kingdom, Ireland, elsewhere in Europe, Australia, New Zealand, Latin America, Asia, and Israel.[15]

    Cost

    In the United Kingdom it costs the NHS GB£2,735 per month as of 2018.[13] In the United States this amount costs US$3,276 as of 2019.[14] A generic version is available in India at a price of $238 a month as of 2019.[60] The National Centre for Pharmacoeconomics initially found abiraterone acetate to not be cost effective based on prices in 2012, however following an agreement to supply at a lower price it was accepted in 2014.[60][61] A generic Zytiga version is available in India at a price of under $230 a month as of 2020.[62]

    Research

    Abiraterone acetate is under development for the treatment of breast cancer and ovarian cancer and as of March 2018, is in phase II clinical trials for these indications.[54] It was also under investigation for the treatment of congenital adrenal hyperplasia, but no further development has been reported for this potential use.[54]

    References

    1. 1 2 3 4 5 6 7 "Abiraterone Acetate Monograph for Professionals". Drugs.com. Archived from the original on 6 May 2012. Retrieved 15 November 2019.
    2. 1 2 "Abiraterone Use During Pregnancy". Drugs.com. 13 March 2020. Archived from the original on 25 November 2020. Retrieved 8 June 2020.
    3. 1 2 3 4 5 6 7 8 9 10 11 12 13 14 15 16 17 18 19 20 21 "Zytiga- abiraterone acetate tablet, film coated". DailyMed. 13 June 2019. Archived from the original on 13 November 2014. Retrieved 15 November 2019.
    4. 1 2 3 4 5 "Yonsa- abiraterone acetate tablet". DailyMed. 5 June 2018. Archived from the original on 13 August 2020. Retrieved 15 November 2019.
    5. 1 2 "WHOCC - ATC/DDD Index". www.whocc.no. Archived from the original on 1 July 2021. Retrieved 10 September 2020.
    6. 1 2 3 4 "Zytiga abiraterone acetate product information" (PDF). TGA eBusiness Services. Janssen-Cilag Pty Ltd. 1 March 2012. Archived from the original on 24 November 2020. Retrieved 24 January 2014.
    7. 1 2 3 4 "Zytiga 500 mg film-coated tablets - Summary of Product Characteristics (SmPC)". electronic medicines compendium (emc). Datapharm. 4 March 2019. Archived from the original on 15 November 2019. Retrieved 15 November 2019.
    8. 1 2 3 4 Benoist GE, Hendriks RJ, Mulders PF, Gerritsen WR, Somford DM, Schalken JA, van Oort IM, Burger DM, van Erp NP (November 2016). "Pharmacokinetic Aspects of the Two Novel Oral Drugs Used for Metastatic Castration-Resistant Prostate Cancer: Abiraterone Acetate and Enzalutamide". Clin Pharmacokinet. 55 (11): 1369–1380. doi:10.1007/s40262-016-0403-6. PMC 5069300. PMID 27106175.
    9. 1 2 3 4 "Meeting Library - Meeting Library". meetinglibrary.asco.org. Archived from the original on 20 September 2016. Retrieved 9 September 2016.
    10. Potter, Gerard A.; Barrie, S. Elaine; Jarman, Michael; Rowlands, Martin G. (1995). "Novel Steroidal Inhibitors of Human Cytochrome P45017 alpha (17.alpha.-Hydroxylase-C17,20-lyase): Potential Agents for the Treatment of Prostatic Cancer". Journal of Medicinal Chemistry. 38 (13): 2463–2471. doi:10.1021/jm00013a022. ISSN 0022-2623. PMID 7608911.
    11. 1 2 Scowcroft H (21 September 2011). "Where did abiraterone come from?". Cancer Research UK. Archived from the original on 25 September 2011. Retrieved 28 September 2011.
    12. World Health Organization (2019). World Health Organization model list of essential medicines: 21st list 2019. Geneva: World Health Organization. hdl:10665/325771. WHO/MVP/EMP/IAU/2019.06. License: CC BY-NC-SA 3.0 IGO.
    13. 1 2 British national formulary : BNF 76 (76 ed.). Pharmaceutical Press. 2018. p. 921. ISBN 9780857113382.
    14. 1 2 "Abiraterone Prices, Coupons & Patient Assistance Programs". Drugs.com. Archived from the original on 9 October 2019. Retrieved 15 November 2019.
    15. 1 2 3 4 5 6 7 "Abiraterone". Drugs.com. Archived from the original on 30 November 2014. Retrieved 14 April 2018.
    16. 1 2 3 4 "Zytiga EPAR". European Medicines Agency (EMA). 13 March 2019. Archived from the original on 27 December 2020. Retrieved 15 November 2019.
    17. "Pharmaceutical Benefits Scheme - Abiraterone". Pharmaceutical Benefits Scheme. Archived from the original on 2 December 2020. Retrieved 24 January 2014.
    18. Pokuri VK, Nourkeyhani H, Betsy B, Herbst L, Sikorski M, Spangenthal E, Fabiano A, George S (July 2015). "Strategies to Circumvent Testosterone Surge and Disease Flare in Advanced Prostate Cancer: Emerging Treatment Paradigms". J Natl Compr Canc Netw. 13 (7): e49–55. doi:10.6004/jnccn.2015.0109. PMID 26150586.
    19. de Bono JS, Logothetis CJ, Molina A, Fizazi K, North S, Chu L, Chi KN, Jones RJ, Goodman OB, Saad F, Staffurth JN, Mainwaring P, Harland S, Flaig TW, Hutson TE, Cheng T, Patterson H, Hainsworth JD, Ryan CJ, Sternberg CN, Ellard SL, Fléchon A, Saleh M, Scholz M, Efstathiou E, Zivi A, Bianchini D, Loriot Y, Chieffo N, Kheoh T, Haqq CM, Scher HI (May 2011). "Abiraterone and increased survival in metastatic prostate cancer". The New England Journal of Medicine. 364 (21): 1995–2005. doi:10.1056/NEJMoa1014618. PMC 3471149. PMID 21612468.
    20. Ryan CJ, Smith MR, de Bono JS, Molina A, Logothetis CJ, de Souza P, Fizazi K, Mainwaring P, Piulats JM, Ng S, Carles J, Mulders PF, Basch E, Small EJ, Saad F, Schrijvers D, Van Poppel H, Mukherjee SD, Suttmann H, Gerritsen WR, Flaig TW, George DJ, Yu EY, Efstathiou E, Pantuck A, Winquist E, Higano CS, Taplin ME, Park Y, Kheoh T, Griffin T, Scher HI, Rathkopf DE (January 2013). "Abiraterone in metastatic prostate cancer without previous chemotherapy". The New England Journal of Medicine. 368 (2): 138–48. doi:10.1056/NEJMoa1209096. PMC 3683570. PMID 23228172.
    21. "Search Results By Name – International Medical Products Price Guide". mshpriceguide. Archived from the original on 26 November 2020. Retrieved 18 August 2020.
    22. 1 2 3 4 5 "Zytiga prescribing information" (PDF). Janssen Biotech. May 2012. Archived from the original (PDF) on 13 November 2014. Retrieved 4 March 2016.
    23. 1 2 3 4 5 "Zytiga (abiraterone) dosing, indications, interactions, adverse effects, and more". Medscape Reference. WebMD. Archived from the original on 2 February 2014. Retrieved 24 January 2014.
    24. Luthy IA, Begin DJ, Labrie F (November 1988). "Androgenic activity of synthetic progestins and spironolactone in androgen-sensitive mouse mammary carcinoma (Shionogi) cells in culture". Journal of Steroid Biochemistry. 31 (5): 845–52. doi:10.1016/0022-4731(88)90295-6. PMID 2462135.
    25. Dhondt B, Buelens S, Van Besien J, Beysens M, De Bleser E, Ost P, Lumen N (2019). "Abiraterone and spironolactone in prostate cancer: a combination to avoid". Acta Clinica Belgica. 74 (6): 439–444. doi:10.1080/17843286.2018.1543827. PMID 30477405.
    26. 1 2 Neidle, Stephen (30 September 2013). Cancer Drug Design and Discovery. Academic Press. pp. 341–342. ISBN 978-0-12-397228-6.
    27. Fernández-Cancio M, Camats N, Flück CE, Zalewski A, Dick B, Frey BM, Monné R, Torán N, Audí L, Pandey AV (April 2018). "Mechanism of the Dual Activities of Human CYP17A1 and Binding to Anti-Prostate Cancer Drug Abiraterone Revealed by a Novel V366M Mutation Causing 17,20 Lyase Deficiency". Pharmaceuticals. 11 (2): 37. doi:10.3390/ph11020037. PMC 6027421. PMID 29710837.
    28. Attard G, Belldegrun AS, de Bono JS (December 2005). "Selective blockade of androgenic steroid synthesis by novel lyase inhibitors as a therapeutic strategy for treating metastatic prostate cancer". BJU International. 96 (9): 1241–6. doi:10.1111/j.1464-410X.2005.05821.x. PMID 16287438.
    29. 1 2 3 Small EJ (November 2014). "Can targeting the androgen receptor in localized prostate cancer provide insights into why men with metastatic castration-resistant prostate cancer die?". Journal of Clinical Oncology. 32 (33): 3689–91. doi:10.1200/JCO.2014.57.8534. PMID 25311216. Abiraterone acetate is a prodrug for abiraterone, a CYP17 inhibitor, which has the capacity to lower serum testosterone levels to less than 1 ng/dL (compared with levels closer to 20 ng/dL that are achieved with conventional ADT).19 [...] Relative to LHRHa alone, the addition of abiraterone resulted in an 85% decline in dihydrotestosterone (DHT) levels, a 97% to 98% decline in dehydroepiandrosterone (DHEA) levels, and a 77% to 78% decline in androstenedione levels.
    30. Tindall, Donald J.; James, Mohler (20 April 2009). Androgen Action in Prostate Cancer. Springer Science & Business Media. pp. 748–. ISBN 978-0-387-69179-4.
    31. Yin L, Hu Q (January 2014). "CYP17 inhibitors--abiraterone, C17,20-lyase inhibitors and multi-targeting agents". Nature Reviews. Urology. 11 (1): 32–42. doi:10.1038/nrurol.2013.274. PMID 24276076.
    32. Malikova J, Brixius-Anderko S, Udhane SS, Parween S, Dick B, Bernhardt R, Pandey AV (November 2017). "CYP17A1 inhibitor abiraterone, an anti-prostate cancer drug, also inhibits the 21-hydroxylase activity of CYP21A2". The Journal of Steroid Biochemistry and Molecular Biology. 174: 192–200. doi:10.1016/j.jsbmb.2017.09.007. PMID 28893623.
    33. Udhane SS, Dick B, Hu Q, Hartmann RW, Pandey AV (September 2016). "Specificity of anti-prostate cancer CYP17A1 inhibitors on androgen biosynthesis". Biochemical and Biophysical Research Communications. 477 (4): 1005–1010. doi:10.1016/j.bbrc.2016.07.019. PMID 27395338.
    34. 1 2 Li Z, Bishop AC, Alyamani M, Garcia JA, Dreicer R, Bunch D, Liu J, Upadhyay SK, Auchus RJ, Sharifi N (July 2015). "Conversion of abiraterone to D4A drives anti-tumour activity in prostate cancer". Nature. 523 (7560): 347–51. doi:10.1038/nature14406. PMC 4506215. PMID 26030522.
    35. 1 2 Li Z, Alyamani M, Li J, Rogacki K, Abazeed M, Upadhyay SK, Balk SP, Taplin ME, Auchus RJ, Sharifi N (May 2016). "Redirecting abiraterone metabolism to fine-tune prostate cancer anti-androgen therapy" (PDF). Nature. 533 (7604): 547–51. doi:10.1038/nature17954. PMC 5111629. PMID 27225130. Archived (PDF) from the original on 4 November 2018. Retrieved 4 November 2018.
    36. 1 2 3 Capper CP, Larios JM, Sikora MJ, Johnson MD, Rae JM (May 2016). "The CYP17A1 inhibitor abiraterone exhibits estrogen receptor agonist activity in breast cancer". Breast Cancer Research and Treatment. 157 (1): 23–30. doi:10.1007/s10549-016-3774-3. PMID 27083183.
    37. Alesini D, Iacovelli R, Palazzo A, Altavilla A, Risi E, Urbano F, Manai C, Passaro A, Magri V, Cortesi E (2013). "Multimodality treatment of gynecomastia in patients receiving antiandrogen therapy for prostate cancer in the era of abiraterone acetate and new antiandrogen molecules". Oncology. 84 (2): 92–9. doi:10.1159/000343821. PMID 23128186.
    38. Figg, William D.; Chau, Cindy H.; Small, Eric J. (14 September 2010). Drug Management of Prostate Cancer. Springer Science & Business Media. p. 97. ISBN 978-1-60327-829-4. Archived from the original on 22 February 2021. Retrieved 14 April 2018.
    39. Rosenthal, Laura; Burchum, Jacqueline (17 February 2017). Lehne's Pharmacotherapeutics for Advanced Practice Providers - E-Book. Elsevier Health Sciences. p. 936. ISBN 978-0-323-44779-9. Archived from the original on 22 February 2021. Retrieved 14 April 2018.
    40. Yip CK, Bansal S, Wong SY, Lau AJ (April 2018). "Identification of Galeterone and Abiraterone as Inhibitors of Dehydroepiandrosterone Sulfonation Catalyzed by Human Hepatic Cytosol, SULT2A1, SULT2B1b, and SULT1E1". Drug Metabolism and Disposition. 46 (4): 470–482. doi:10.1124/dmd.117.078980. PMID 29436390.
    41. 1 2 3 William Andrew Publishing (22 October 2013). Pharmaceutical Manufacturing Encyclopedia, 3rd Edition. Elsevier. pp. 12–. ISBN 978-0-8155-1856-3. Archived from the original on 8 June 2020. Retrieved 8 June 2020.
    42. "A new way to treat prostate cancer: The story of abiraterone". The Institute of Cancer Research. 10 September 2012. Archived from the original on 9 July 2012. Retrieved 12 November 2012.
    43. "Abiraterone Acetate (CB7630)". Cougar Biotechnology. Archived from the original on 7 September 2008. Retrieved 20 August 2008.
    44. "Johnson & Johnson Announces Definitive Agreement to Acquire Cougar Biotechnology, Inc" (Press release). Cougar Biotechnology. 11 May 2009. Archived from the original on 29 May 2009. Retrieved 3 June 2009.
    45. "Drugs@FDA - FDA Approved Drug Products - Zytiga". U.S. Food and Drug Administration (FDA). Archived from the original on 1 May 2017. Retrieved 4 March 2016.
    46. "FDA approves Zytiga for late-stage prostate cancer" (Press release). Food and Drug Administration (FDA). 28 April 2011. Archived from the original on 12 January 2017.
    47. "FDA Approval for Abiraterone Acetate". U.S. Department of Health and Human Services, National Institutes of Health, National Cancer Institute. Archived from the original on 28 July 2011. Retrieved 4 September 2011.
    48. "EMA assessment of Zytiga (abiraterone)". European Medicines Agency. Archived from the original on 20 June 2018. Retrieved 15 March 2022.
    49. "Prostate cancer (metastatic, castration resistant) - abiraterone (following cytoxic therapy): final appraisal determination guidance" (PDF). NICE guidance. 15 May 2012. Archived from the original (PDF) on 19 February 2013.
    50. "NICE technology appraisal guidance [TA259]". NICE guidance. June 2012. Archived from the original on 19 February 2015. Retrieved 6 March 2015.
    51. "NICE appraisal of earlier treatment with abiraterone for prostate cancer". NICE press release. 14 August 2014. Archived from the original on 2 April 2015. Retrieved 6 March 2015.
    52. NCI Staff. "Abiraterone Approved for Earlier Use in Men with Metastatic Prostate Cancer". National Cancer Institute (NCI). Archived from the original on 14 April 2018. Retrieved 14 April 2018.
    53. "abiraterone". mednet-communities.net. Archived from the original on 29 August 2021. Retrieved 15 November 2019.
    54. 1 2 3 "Abiraterone acetate - Johnson & Johnson". Adis Insight. Archived from the original on 20 December 2016. Retrieved 4 December 2016.
    55. "Generic Zytiga Availability". Drugs.com. Archived from the original on 14 April 2018. Retrieved 14 April 2018.
    56. "Generic Yonsa Availability". Drugs.com. Archived from the original on 18 November 2019. Retrieved 18 November 2019.
    57. "BTG International Limited v. Amneal Pharmaceuticals LLC". United States Court of Appeals for the Federal Circuit. 14 May 2019. 19-1147. Archived from the original on 29 August 2021. Retrieved 17 November 2019.
    58. "Sun Pharma Gets FDA Go-Ahead for Yonsa for Prostate Cancer". BioSpace. Archived from the original on 11 April 2019. Retrieved 16 May 2019.
    59. "Sun Pharma Announces USFDA Approval of YONSA (abiraterone acetate) To Treat Metastatic Castration-Resistant Prostate Cancer In Combination With Methylprednisolone" (Press release). Sun Pharmaceutical Industries Limited/Churchill Pharmaceuticals. 23 May 2018. Archived from the original on 15 November 2019. Retrieved 14 November 2019 via Business Wire.
    60. 1 2 "Proposal For The Inclusion Of Enzalutamide And Abiraterone Acetate In The Who Model List Of Essential Medicines For The Treatment Of Metastatic Castration Resistant Prostate Cancer" (PDF). pp. 22, 25. Archived (PDF) from the original on 29 August 2021. Retrieved 26 November 2019.
    61. "Zytiga Generic (Abiraterone) - $250 Per Month Total Cost". Medixocentre.com. Archived from the original on 28 September 2020. Retrieved 1 August 2020.
    62. "Abiraterone cost". India Medixo Centre. Archived from the original on 28 September 2020. Retrieved 1 August 2020.
    Identifiers:
    • "Abiraterone acetate". Drug Information Portal. U.S. National Library of Medicine. Archived from the original on 15 November 2019. Retrieved 15 November 2019.
    This article is issued from Wmcloud. The text is licensed under Creative Commons - Attribution - Sharealike. Additional terms may apply for the media files.